Suppr超能文献

成人肾母细胞瘤:病例报告。

Adult Wilms tumor: Case report.

作者信息

Morabito V, Guglielmo N, Melandro F, Mazzesi G, Alesini F, Bosco S, Berloco P B

机构信息

Department "Paride Stefanini", General Surgery and Organ Transplant, Sapienza University of Rome, Italy.

Department of CardioSurgery and Heart Transplant, Sapienza University of Rome, Italy.

出版信息

Int J Surg Case Rep. 2015;6C:273-6. doi: 10.1016/j.ijscr.2014.06.021. Epub 2014 Dec 8.

Abstract

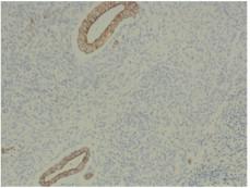
Wilms tumor (WT) occurs infrequently in adults. Even rarer is adult WT with extension by direct intravascular spread into the right side of the heart. The present report describes a WT with intracaval and intracardiac extension in a 38-year-young man. In addition, thrombus extension above the infrahepatic IVC represents a major technical topic for surgeons because of the possible occurrence of uncontrollable hemorrhages and tumor fragmentation. We report the results of a surgical approach to caval thrombosis including the isolation of the IVC from the liver as routinely performed during liver harvesting. The morphologic and immune-histochemical findings confirmed the diagnosis.

摘要

肾母细胞瘤(WT)在成人中很少见。成人WT通过直接血管内蔓延至心脏右侧更为罕见。本报告描述了一名38岁男性患有腔静脉内和心腔内蔓延的WT。此外,肝下下腔静脉上方的血栓延伸是外科医生面临的一个主要技术难题,因为可能会发生无法控制的出血和肿瘤破碎。我们报告了一种治疗腔静脉血栓形成的手术方法的结果,包括在肝脏切取过程中常规进行的下腔静脉与肝脏的分离。形态学和免疫组织化学检查结果证实了诊断。

https://cdn.ncbi.nlm.nih.gov/pmc/blobs/c35b/4334994/887df6d40ed4/gr1.jpg

文献检索

告别复杂PubMed语法,用中文像聊天一样搜索,搜遍4000万医学文献。AI智能推荐,让科研检索更轻松。

立即免费搜索

文件翻译

保留排版,准确专业,支持PDF/Word/PPT等文件格式,支持 12+语言互译。

免费翻译文档

深度研究

AI帮你快速写综述,25分钟生成高质量综述,智能提取关键信息,辅助科研写作。

立即免费体验