Suppr超能文献

1型神经纤维瘤病患儿、青少年及成人的颅颌面形态改变:巴西样本的锥形束计算机断层扫描分析

Craniomaxillofacial morphology alterations in children, adolescents and adults with neurofibromatosis 1: A cone beam computed tomography analysis of a Brazilian sample.

作者信息

Luna E-B, Janini M-E-R, Lima F, Pontes R-R-A, Guedes F-R, Geller M, da Silva L-E, Motta A-T, Cunha K-S

机构信息

School of Medicine, Hospital Universitário Antônio Pedro, Universidade Federal Fluminense, Av. Marquês do Paraná, 303, 4o andar, sala 01, Centro, Niterói, RJ, Brazil, Zip code: 24033-900,

出版信息

Med Oral Patol Oral Cir Bucal. 2018 Mar 1;23(2):e168-e179. doi: 10.4317/medoral.22155.

Abstract

BACKGROUND

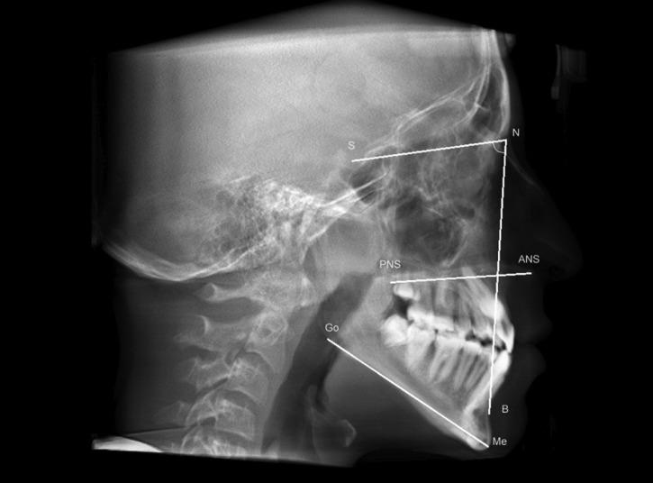
Oral manifestations are common in neurofibromatosis 1 (NF1), and include jaws and teeth alterations. Our aim was to investigate the craniomaxillofacial morphology of Brazilian children, adolescents and adults with NF1 using cone beam computed tomography.

MATERIAL AND METHODS

This study was conducted with 36 Brazilian individuals with NF1 with ages ranging from 4 to 75. The participants were submitted to anamnesis, extra and intraoral exam and cephalometric analysis using cone beam computed tomography. Height of the NF1 individuals was compared to the length of jaws and skull base. The results of the cephalometric measurements of the NF1 group were compared with a control group paired by age, gender and skin color.

RESULTS

Individuals with NF1 had lower maxillary length (p<0.0001), lower mandibular length (p<0.0001), lower skull base length (p<0.0001). In children and adolescents, the mandible was more posteriorly positioned (p=0.01), when compared with the control group. There was no association between jaws and skull base length with the height of the individuals with NF1.

CONCLUSIONS

Brazilian children, adolescents and adults with NF1 have short mandible, maxilla and skull base. Moreover, children and adolescents present mandibular retrusion.

摘要

背景

口腔表现常见于1型神经纤维瘤病(NF1),包括颌骨和牙齿改变。我们的目的是使用锥形束计算机断层扫描来研究巴西NF1儿童、青少年和成人的颅颌面形态。

材料与方法

本研究对36名年龄在4至75岁之间的巴西NF1患者进行。参与者接受了问诊、口腔内外检查,并使用锥形束计算机断层扫描进行头影测量分析。将NF1患者的身高与颌骨和颅底长度进行比较。将NF1组的头影测量结果与按年龄、性别和肤色配对的对照组进行比较。

结果

NF1患者的上颌长度较短(p<0.0001),下颌长度较短(p<0.0001),颅底长度较短(p<0.0001)。与对照组相比,儿童和青少年的下颌位置更靠后(p=0.01)。NF1患者的颌骨和颅底长度与身高之间没有关联。

结论

巴西NF1儿童、青少年和成人的下颌骨、上颌骨和颅底较短。此外,儿童和青少年存在下颌后缩。

https://cdn.ncbi.nlm.nih.gov/pmc/blobs/bbc2/5911357/232535e0ad4b/medoral-23-e168-g001.jpg

文献AI研究员

20分钟写一篇综述,助力文献阅读效率提升50倍。

立即体验

用中文搜PubMed

大模型驱动的PubMed中文搜索引擎

马上搜索

文档翻译

学术文献翻译模型,支持多种主流文档格式。

立即体验