• 文献检索
  • 文档翻译
  • 深度研究
  • 学术资讯
  • Suppr Zotero 插件Zotero 插件
  • 邀请有礼
  • 套餐&价格
  • 历史记录
应用&插件
Suppr Zotero 插件Zotero 插件浏览器插件Mac 客户端Windows 客户端微信小程序
定价
高级版会员购买积分包购买API积分包
服务
文献检索文档翻译深度研究API 文档MCP 服务
关于我们
关于 Suppr公司介绍联系我们用户协议隐私条款
关注我们

Suppr 超能文献

核心技术专利:CN118964589B侵权必究
粤ICP备2023148730 号-1Suppr @ 2026

文献检索

告别复杂PubMed语法,用中文像聊天一样搜索,搜遍4000万医学文献。AI智能推荐,让科研检索更轻松。

立即免费搜索

文件翻译

保留排版,准确专业,支持PDF/Word/PPT等文件格式,支持 12+语言互译。

免费翻译文档

深度研究

AI帮你快速写综述,25分钟生成高质量综述,智能提取关键信息,辅助科研写作。

立即免费体验

巨大胃憩室病例报告并文献复习

A case report of large gastric diverticulum with literature review.

作者信息

Marianne Chee, Ur Rehman Mutee, Min Hoe Chew

机构信息

Department of General Surgery, Sengkang Health Pte Ltd., 378 Alexandra Road, Singapore 159964, Singapore.

Department of Surgery, Sengkang Health Pte Ltd., 378 Alexandra Road, Singapore 159964, Singapore.

出版信息

Int J Surg Case Rep. 2018;44:82-84. doi: 10.1016/j.ijscr.2018.02.024. Epub 2018 Feb 19.

DOI:10.1016/j.ijscr.2018.02.024
PMID:29482080
原文链接:https://pmc.ncbi.nlm.nih.gov/articles/PMC5856661/
Abstract

INTRODUCTION

A gastric diverticulum is a rare form of diverticular disease due to outpouching of the gastric wall. It is equally presented within both sexes and commonly occurs in fifth and sixth decades of life. Patients mostly asymptomatic but may present with mild gastric symptoms. Surgical treatment is largely dependent on the patient's symptoms, and a laparoscopic approach is usually recommended for surgery.

CASE PRESENTATION

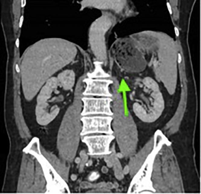
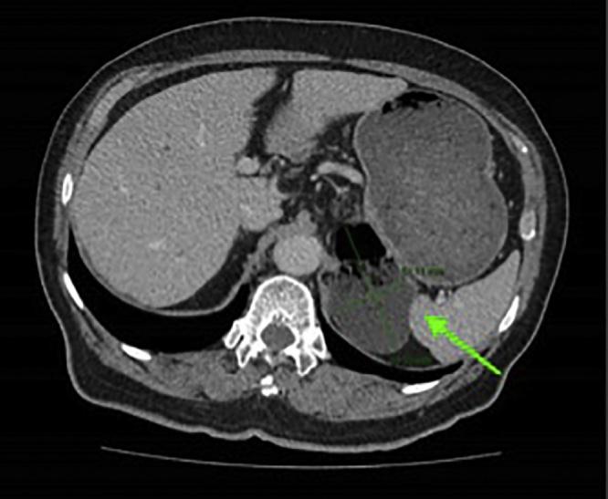
A 77-year-old gentleman presented to the outpatient clinic with a one-month history of passing black stools. He was arranged for an oesophagogastroduodenoscopy (OGD) which revealed a gastric body polyp and a diverticulum in the fundus of the stomach.

DISCUSSION

Gastric diverticulum is defined as an outpouching of the gastric wall. They are uncommon, with an incidence between 0.01-0.11%. Predisposing factors include: areas of weakness caused by splitting of the longitudinal muscle fibres, an absence of peritoneal membrane and perforating arterioles. The management of patients with gastric diverticulum depend largely on their symptoms. There is no specific treatment required for an asymptomatic diverticulum.

CONCLUSION

Gastric diverticula are rare conditions which are largely asymptomatic but may present with varying signs and symptoms and may require surgical intervention.

摘要

引言

胃憩室是憩室病的一种罕见形式,由于胃壁向外突出形成。男女发病率相同,常见于50至60岁。大多数患者无症状,但可能出现轻微胃部症状。手术治疗很大程度上取决于患者症状,通常建议采用腹腔镜手术方法。

病例介绍

一名77岁男性到门诊就诊,有一个月排黑便病史。他接受了食管胃十二指肠镜检查(OGD),结果显示胃体部有息肉,胃底部有一个憩室。

讨论

胃憩室定义为胃壁向外突出。它们并不常见,发病率在0.01 - 0.11%之间。诱发因素包括:纵向肌纤维分裂导致的薄弱区域、腹膜缺失和穿通小动脉。胃憩室患者的管理很大程度上取决于其症状。无症状憩室无需特殊治疗。

结论

胃憩室是罕见疾病,大多无症状,但可能出现不同的体征和症状,可能需要手术干预。

https://cdn.ncbi.nlm.nih.gov/pmc/blobs/1cf8/5856661/61bae0f7bfbc/gr4.jpg
https://cdn.ncbi.nlm.nih.gov/pmc/blobs/1cf8/5856661/ef7c3b8fb57d/gr1.jpg
https://cdn.ncbi.nlm.nih.gov/pmc/blobs/1cf8/5856661/ecd2b6363469/gr2.jpg
https://cdn.ncbi.nlm.nih.gov/pmc/blobs/1cf8/5856661/d668840f9541/gr3.jpg
https://cdn.ncbi.nlm.nih.gov/pmc/blobs/1cf8/5856661/61bae0f7bfbc/gr4.jpg
https://cdn.ncbi.nlm.nih.gov/pmc/blobs/1cf8/5856661/ef7c3b8fb57d/gr1.jpg
https://cdn.ncbi.nlm.nih.gov/pmc/blobs/1cf8/5856661/ecd2b6363469/gr2.jpg
https://cdn.ncbi.nlm.nih.gov/pmc/blobs/1cf8/5856661/d668840f9541/gr3.jpg
https://cdn.ncbi.nlm.nih.gov/pmc/blobs/1cf8/5856661/61bae0f7bfbc/gr4.jpg

相似文献

1
A case report of large gastric diverticulum with literature review.巨大胃憩室病例报告并文献复习
Int J Surg Case Rep. 2018;44:82-84. doi: 10.1016/j.ijscr.2018.02.024. Epub 2018 Feb 19.
2
Prepyloric gastric diverticulum case report: A rare anatomic abnormality with limited clinical consequences.幽门前胃憩室病例报告:一种罕见的解剖学异常,临床后果有限。
Ann Med Surg (Lond). 2022 Jan 26;74:103288. doi: 10.1016/j.amsu.2022.103288. eCollection 2022 Feb.
3
Large symptomatic gastric diverticula: two case reports and a brief review of literature.大型有症状胃憩室:两例病例报告并文献复习。
World J Gastroenterol. 2013 Sep 28;19(36):6114-7. doi: 10.3748/wjg.v19.i36.6114.
4
Asymptomatic gastric diverticulum as incidental radiographic finding after surgery for strangulated inguinal hernia: Report of a case.绞窄性腹股沟疝手术后偶然影像学检查发现的无症状胃憩室:病例报告
Int J Surg Case Rep. 2018;45:121-125. doi: 10.1016/j.ijscr.2018.03.027. Epub 2018 Mar 22.
5
Incidental gastric diverticulum in a young female with chronic gastritis: A case report.一名患有慢性胃炎的年轻女性的偶然发现的胃憩室:病例报告。
Int J Surg Case Rep. 2020;66:63-67. doi: 10.1016/j.ijscr.2019.11.030. Epub 2019 Nov 27.
6
Symptomatic Gastric Diverticulum in the Antrum: A Case Report.胃窦部有症状的胃憩室:一例报告
Cureus. 2024 Jan 17;16(1):e52449. doi: 10.7759/cureus.52449. eCollection 2024 Jan.
7
Gastric Diverticulum: A Comprehensive Review.胃憩室:全面综述
Inflamm Intest Dis. 2019 Apr;3(4):161-166. doi: 10.1159/000495463. Epub 2019 Jan 10.
8
Laparoscopic management of gastric diverticula.胃憩室的腹腔镜治疗
J Laparoendosc Adv Surg Tech A. 1999 Oct;9(5):405-10. doi: 10.1089/lap.1999.9.405.
9
Chronic gastritis in a gastric diverticulum misdiagnosed as a left adrenal mass.胃憩室内的慢性胃炎被误诊为左肾上腺肿块。
Indian J Surg. 2015 Apr;77(Suppl 1):150-2. doi: 10.1007/s12262-015-1210-2. Epub 2015 Jan 21.
10
Laparoscopic resection of gastric diverticulum.腹腔镜下胃憩室切除术
J Laparoendosc Adv Surg Tech A. 1999 Feb;9(1):87-91. doi: 10.1089/lap.1999.9.87.

引用本文的文献

1
Diverticulum of the buccal mucosa: A case report.颊黏膜憩室:一例报告。
World J Clin Cases. 2020 Feb 26;8(4):820-824. doi: 10.12998/wjcc.v8.i4.820.

本文引用的文献

1
The SCARE Statement: Consensus-based surgical case report guidelines.SCARE 声明:基于共识的外科手术病例报告指南。
Int J Surg. 2016 Oct;34:180-186. doi: 10.1016/j.ijsu.2016.08.014. Epub 2016 Sep 7.
2
A review on gastric diverticulum.胃憩室研究综述。
World J Emerg Surg. 2012 Jan 18;7(1):1. doi: 10.1186/1749-7922-7-1.
3
Gastric diverticulum.胃憩室
CMAJ. 2010 Mar 23;182(5):E226. doi: 10.1503/cmaj.090832. Epub 2010 Jan 25.
4
Laparoscopic resection of a symptomatic gastric diverticulum: a minimally invasive solution.腹腔镜切除有症状的胃憩室:一种微创解决方案。
JSLS. 2006 Oct-Dec;10(4):525-7.
5
Gastric diverticulosis.
Am Fam Physician. 1973 Mar;7(3):114-7.