Suppr超能文献

颊黏膜憩室:一例报告。

Diverticulum of the buccal mucosa: A case report.

作者信息

Zhang Yu, Wang Lin, Liu Ke

机构信息

The State Key Laboratory Breeding Base of Basic Science of Stomatology (Hubei-MOST) & Key Laboratory of Oral Biomedicine Ministry of Education, School & Hospital of Stomatology, Wuhan University, Wuhan 430079, Hubei Province, China.

出版信息

World J Clin Cases. 2020 Feb 26;8(4):820-824. doi: 10.12998/wjcc.v8.i4.820.

Abstract

BACKGROUND

A diverticulum is the medical or biological term for outpouching of a hollow structure in the body. It particularly occurs in the digestive system, but rarely occurs in the oral mucosa.

CASE SUMMARY

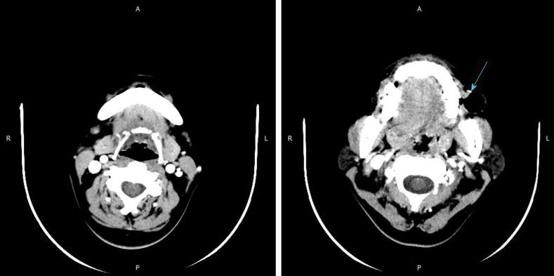
This report describes a rare case of diverticulum presenting in the buccal mucosa in a 44-year-old woman that was initially diagnosed in Stomatology Hospital, Wuhan University. We made our diagnosis under the guidance of imaging data, and the patient underwent surgical resection.

CONCLUSION

This report is the first confirmed case of buccal mucosal diverticulum. in addition, we elucidated that in general, idiopathic developmental abnormalities caused by succinate muscle defects are responsible for diverticulum development.

摘要

背景

憩室是身体中空结构向外突出的医学或生物学术语。它尤其发生在消化系统,但很少发生于口腔黏膜。

病例摘要

本报告描述了一名44岁女性颊黏膜出现憩室的罕见病例,该病例最初在武汉大学口腔医院被诊断。我们在影像学数据的指导下做出诊断,患者接受了手术切除。

结论

本报告是颊黏膜憩室的首例确诊病例。此外,我们阐明,一般来说,由琥珀酸肌缺陷引起的特发性发育异常是憩室形成的原因。

https://cdn.ncbi.nlm.nih.gov/pmc/blobs/ef08/7052545/dd802eac81d9/WJCC-8-820-g001.jpg

文献AI研究员

20分钟写一篇综述,助力文献阅读效率提升50倍。

立即体验

用中文搜PubMed

大模型驱动的PubMed中文搜索引擎

马上搜索

文档翻译

学术文献翻译模型,支持多种主流文档格式。

立即体验