Suppr超能文献

奥-韦-伦综合征中的充血性肝硬化:一例罕见病例报告。

Congestive cirrhosis in Osler-Weber-Rendu syndrome: A rare case report.

作者信息

Leitão Patrícia, Carvalho André, Guerra Conceição, Gonçalves José, Ramos Isabel

机构信息

Radiology Department, Centro Hospitalar São João, Porto, Portugal.

Centro Hospitalar São João, Alameda Prof. Hernâni Monteiro, Porto, 4200-319, Portugal.

出版信息

Radiol Case Rep. 2017 Nov 6;13(1):51-54. doi: 10.1016/j.radcr.2017.10.011. eCollection 2018 Feb.

Abstract

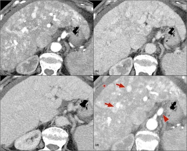
Hereditary hemorrhagic telangiectasia or Osler-Weber-Rendu syndrome is a rare autosomal dominant vascular disorder characterized by epistaxis, mucocutaneous telangiectasias, and arteriovenous malformations affecting various organs and systems. The liver is a commonly involved organ (74% of patients with hereditary hemorrhagic telangiectasia), although symptomatic liver disease is quite infrequent. In symptomatic cases, clinical manifestations relate most commonly to the predominant type of vascular shunting present (arteriovenous, arterioportal, or portovenous). Clinically, liver disease can manifest as a high-output cardiac failure, portal hypertension, or biliary disease. Imaging plays an important role in diagnosis, characterization, and follow-up of liver involvement, with ultrasound, computed tomography, magnetic resonance imaging, and angiography being useful in this context. We present a case of congestive cirrhosis with florid liver findings in a patient with Osler-Weber-Rendu syndrome. Imaging findings that clinched the diagnosis are reviewed. A brief literature review is also provided.

摘要

遗传性出血性毛细血管扩张症或奥斯勒-韦伯-伦杜综合征是一种罕见的常染色体显性血管疾病,其特征为鼻出血、黏膜皮肤毛细血管扩张以及影响多个器官和系统的动静脉畸形。肝脏是常受累的器官(74%的遗传性出血性毛细血管扩张症患者),尽管有症状的肝脏疾病相当少见。在有症状的病例中,临床表现最常与存在的主要血管分流类型(动静脉、动脉门静脉或门静脉)有关。临床上,肝脏疾病可表现为高输出量心力衰竭、门静脉高压或胆道疾病。影像学在肝脏受累的诊断、特征描述及随访中起着重要作用,超声、计算机断层扫描、磁共振成像和血管造影在此方面均有用处。我们报告一例奥斯勒-韦伯-伦杜综合征患者出现充血性肝硬化且肝脏表现明显的病例。回顾了确诊该诊断的影像学表现。还提供了简要的文献综述。

https://cdn.ncbi.nlm.nih.gov/pmc/blobs/18bd/5851303/d9763331db31/radcr369-fig-0001.jpg

文献检索

告别复杂PubMed语法,用中文像聊天一样搜索,搜遍4000万医学文献。AI智能推荐,让科研检索更轻松。

立即免费搜索

文件翻译

保留排版,准确专业,支持PDF/Word/PPT等文件格式,支持 12+语言互译。

免费翻译文档

深度研究

AI帮你快速写综述,25分钟生成高质量综述,智能提取关键信息,辅助科研写作。

立即免费体验