Suppr超能文献

模拟结肠腺癌的结肠阿米巴瘤

Ameboma of Colon Simulating Colonic Adenocarcinoma.

作者信息

Kataria Hanish, Seth Abhinav, Attri Ashok Kumar, Singh Punia Raj Pal

机构信息

Department of General Surgery, Government Medical College and Hospital, Chandigarh, India.

Department of Renal Transplant Surgery, Postgraduate Institute of Medical Education and Research, Chandigarh, India.

出版信息

Int J Appl Basic Med Res. 2018 Jan-Mar;8(1):42-44. doi: 10.4103/ijabmr.IJABMR_285_17.

Abstract

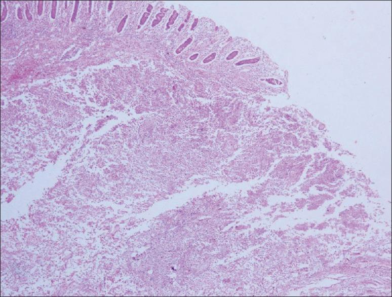
Amebiasis is common in tropical and developing countries with variable symptoms. Ameboma of the colon occurs rarely due to the annular growth of granulation tissue and can present as mass lesion simulating colonic carcinoma in elderly individuals. Due to diagnostic dilemma or in case of complications, for example, acute intestinal obstruction, perforation, or bleeding per rectum, the patient requires urgent surgical exploration and final diagnosis is made on histopathological examination.

摘要

阿米巴病在热带和发展中国家很常见,症状多样。结肠阿米巴肿由于肉芽组织呈环形生长而很少见,在老年人中可表现为类似结肠癌的肿块病变。由于诊断困难或出现并发症,例如急性肠梗阻、穿孔或直肠出血,患者需要紧急进行手术探查,最终诊断通过组织病理学检查做出。

https://cdn.ncbi.nlm.nih.gov/pmc/blobs/4c8c/5846219/36240311038d/IJABMR-8-42-g001.jpg

文献AI研究员

20分钟写一篇综述,助力文献阅读效率提升50倍。

立即体验

用中文搜PubMed

大模型驱动的PubMed中文搜索引擎

马上搜索

文档翻译

学术文献翻译模型,支持多种主流文档格式。

立即体验