Suppr超能文献

盲肠阿米巴瘤,年轻男性中与抗中性粒细胞胞浆抗体相关血管炎相似的结直肠癌。

Caecal Ameboma, colorectal malignancy mimicker in young male with ANCA-associated vasculitis.

作者信息

Lawati Ali Al, Kashoub Masoud, Busaidi Ibrahim Al, Lal Jawahir, ElBingawi Haitham Mohamed, Osman Mohamed Mohamed

机构信息

Nephrology, SQUH, Oman.

Internal Medicine Porgram, Oman Medical Speciality Board, Oman.

出版信息

IDCases. 2022 Nov 29;31:e01649. doi: 10.1016/j.idcr.2022.e01649. eCollection 2023.

Abstract

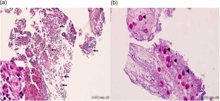
Ameboma refers to the rare development of an inflammatory, ulcerated, exophytic mass in the gastrointestinal tract that can resemble carcinoma. Typically it presents as a right lower quadrant abdominal mass, Patients may also present with diarrhea or constipation and associated systemic symptoms, including weight loss and fever. In this article we present a young man with a background of ANCA associated vasculitis, who presented with fresh lower gastrointestinal bleeding during hospital admission for severe covid-19 pneumonia which turned out to be caecal aemboma. This case is highlighted for its rarity, the diagnostic challenge, and for the major role of colonoscopy as a diagnostic tool for this pathology.

摘要

阿米巴肿是指胃肠道中罕见的一种炎症性、溃疡性、外生性肿块,可类似癌肿。通常表现为右下腹腹部肿块,患者还可能出现腹泻或便秘以及相关的全身症状,包括体重减轻和发热。在本文中,我们介绍了一名有抗中性粒细胞胞浆抗体相关性血管炎病史的年轻男性,他在因重症新冠病毒肺炎住院期间出现新鲜下消化道出血,结果发现是盲肠阿米巴肿。该病例因其罕见性、诊断挑战以及结肠镜检查作为这种病理诊断工具的主要作用而受到关注。

https://cdn.ncbi.nlm.nih.gov/pmc/blobs/c524/9727639/f0da3781e8b2/gr1.jpg

文献检索

告别复杂PubMed语法,用中文像聊天一样搜索,搜遍4000万医学文献。AI智能推荐,让科研检索更轻松。

立即免费搜索

文件翻译

保留排版,准确专业,支持PDF/Word/PPT等文件格式,支持 12+语言互译。

免费翻译文档

深度研究

AI帮你快速写综述,25分钟生成高质量综述,智能提取关键信息,辅助科研写作。

立即免费体验