Liver Cancer Institute, Zhongshan Hospital, Fudan University, 200032, Shanghai, China.
Key Laboratory of Carcinogenesis and Cancer Invasion (Fudan University), Ministry of Education, 200032, Shanghai, China.
Cell Death Dis. 2018 Apr 1;9(4):428. doi: 10.1038/s41419-018-0435-y.
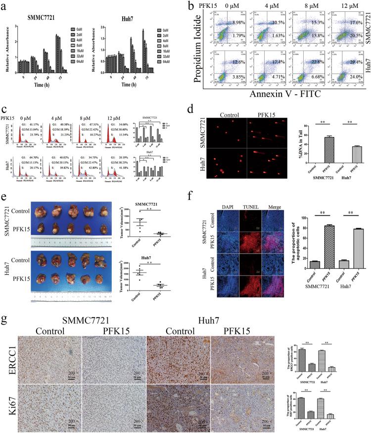
Overexpression of 6-phosphofructo-2-kinase/fructose-2,6-biphosphatase 3 (PFKFB3), a key molecule of glucose metabolism in cytoplasm, has been found in various tumors. Emerging evidence has suggested that PFKFB3 is also located in the nucleus and apparent in regulatory functions other than glycolysis. In this study, we found that PFKFB3 expression is associated with hepatocellular carcinoma (HCC) growth and located mainly in the nucleus of tumor cells. PFKFB3 overexpression was associated with large tumor size (p = 0.04) and poor survival of patients with HCC (p = 0.027). Knockdown of PFKFB3 inhibited HCC growth, not only by reducing glucose consumption but also by damaging the DNA repair function, leading to G2/M phase arrest and apoptosis. In animal studies, overexpression of PFKFB3 is associated with increased tumor growth. Mechanistically, PFKFB3 silencing decreased AKT phosphorylation and reduced the expression of ERCC1, which is an important DNA repair protein. Moreover, PFK15, a selective PFKFB3 inhibitor, significantly inhibited tumor growth in a xenograft model of human HCC. PFKFB3 is a potential novel target in the treatment of HCC.
6-磷酸果糖-2-激酶/果糖-2,6-二磷酸酶 3(PFKFB3)的过表达,作为细胞质中葡萄糖代谢的关键分子,已在各种肿瘤中被发现。新出现的证据表明,PFKFB3 也位于细胞核内,并具有除糖酵解以外的调节功能。在本研究中,我们发现 PFKFB3 的表达与肝细胞癌(HCC)的生长有关,并且主要位于肿瘤细胞的细胞核内。PFKFB3 的过表达与大肿瘤大小(p=0.04)和 HCC 患者的不良生存相关(p=0.027)。PFKFB3 的敲低不仅通过减少葡萄糖消耗,而且通过损害 DNA 修复功能,导致 G2/M 期停滞和细胞凋亡,从而抑制 HCC 的生长。在动物研究中,PFKFB3 的过表达与肿瘤生长的增加有关。在机制上,PFKFB3 的沉默降低了 AKT 的磷酸化,并降低了 ERCC1 的表达,ERCC1 是一种重要的 DNA 修复蛋白。此外,PFKFB3 的选择性抑制剂 PFK15 在人 HCC 的异种移植模型中显著抑制了肿瘤生长。PFKFB3 是治疗 HCC 的一个潜在的新靶点。