Sweeney Michael F, Sonnenschein Carlos, Soto Ana M
1Sackler School of Graduate Biomedical Sciences, Tufts University, 136 Harrison Avenue, Boston, MA 02111 USA.
2Tufts University School of Medicine, 136 Harrison Avenue, Boston, MA 02111 USA.
Cancer Cell Int. 2018 Mar 20;18:43. doi: 10.1186/s12935-018-0534-y. eCollection 2018.
Three-dimensional cultures of mammary epithelial cells allow for biologically-relevant studies of the development of the mammary gland in rodents and humans under normal and pathological conditions, like carcinogenesis. Under these conditions, mammotropic hormones play significant roles in tissue morphogenesis. Therefore, a system that recreates the normal, hormonally responsive epithelium would be a valuable tool to study the normal state and its transition to carcinogenesis. MCF-12A cells have been claimed to be non-tumorigenic mammary epithelial cells with reported sensitivity to estrogens. In this study, we aimed at characterizing MCF-12A cells for use in a hormone-responsive 3D culture system to determine their usefulness as a tool to identify normal and abnormal microenvironmental cues.
MCF-12A cells were single-cell cloned in order to investigate their heterogeneous makeup. The parental cells were then treated with estradiol to investigate proliferative and transcriptional responses through the estrogen receptor alpha. Finally, parental cells and epithelial-like cell-derived clones were seeded in rat-tail collagen I to profile the morphogenesis of multicellular 3D structures. The resultant structures were then analyzed using unsupervised morphometric analysis.
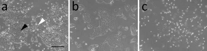
MCF-12A cells consist of epithelial-like colonies which shed elongated, freely growing cells on the colony's edges. The cells express E-cadherin as well as mesenchymal vimentin but do not express markers associated with myoepithelial cells or fibroblasts. Treatment with estradiol does not affect either the proliferation rate or the induction of gene expression in MCF-12A cells. Parental MCF-12A cells form acini, solid spheres and elongated branching ducts when grown in rat-tail collagen type I matrix, the geometries and distribution of which are altered following the removal of fibroblast-like cells.
MCF-12A cells are a heterogeneous pseudo-epithelial cell line capable of forming a variety of multicellular structures in 3D culture. We found no indication that the cells display estrogen-responsive characteristics, thus refuting previous studies which reported estrogen responsiveness. We report that MCF-12A cells are not suited for use in studies in which differential behaviors of "normal" and "cancerous" estrogen-responsive cells are to be compared.
乳腺上皮细胞的三维培养能够在正常和病理条件下(如致癌过程)对啮齿动物和人类乳腺发育进行生物学相关研究。在这些条件下,促乳激素在组织形态发生中发挥重要作用。因此,一个能够重现正常的、对激素有反应的上皮组织的系统将是研究正常状态及其向癌变转变的有价值工具。MCF - 12A细胞被认为是对雌激素敏感的非致瘤性乳腺上皮细胞。在本研究中,我们旨在对MCF - 12A细胞进行特性鉴定,以用于激素反应性三维培养系统,确定其作为识别正常和异常微环境线索工具的实用性。
对MCF - 12A细胞进行单细胞克隆以研究其异质性组成。然后用雌二醇处理亲代细胞,通过雌激素受体α研究增殖和转录反应。最后,将亲代细胞和上皮样细胞衍生的克隆接种到大鼠尾I型胶原中,以描绘多细胞三维结构的形态发生。然后使用无监督形态计量分析对所得结构进行分析。
MCF - 12A细胞由上皮样集落组成,这些集落在集落边缘脱落细长的、自由生长的细胞。这些细胞表达E - 钙黏蛋白以及间充质波形蛋白,但不表达与肌上皮细胞或成纤维细胞相关的标志物。用雌二醇处理不会影响MCF - 12A细胞的增殖速率或基因表达诱导。当在大鼠尾I型胶原基质中生长时,亲代MCF - 12A细胞形成腺泡、实心球体和细长分支导管,去除成纤维细胞样细胞后,其几何形状和分布会发生改变。
MCF - 12A细胞是一种异质性假上皮细胞系,能够在三维培养中形成多种多细胞结构。我们没有发现细胞表现出雌激素反应特性的迹象,从而反驳了先前报道雌激素反应性特征的研究。我们报告MCF - 12A细胞不适合用于比较“正常”和“癌性”雌激素反应性细胞差异行为的研究。