Lee Ahry, Jung Youjin, Kwon Hee-Kyu, Pyun Sung-Bom
Department of Physical Medicine and Rehabilitation, Korea University Anam Hospital, Seoul, Korea.
Brain Convergence Research Center, Korea University Anam Hospital, Seoul, Korea.
Ann Rehabil Med. 2018 Feb;42(1):175-179. doi: 10.5535/arm.2018.42.1.175. Epub 2018 Feb 28.
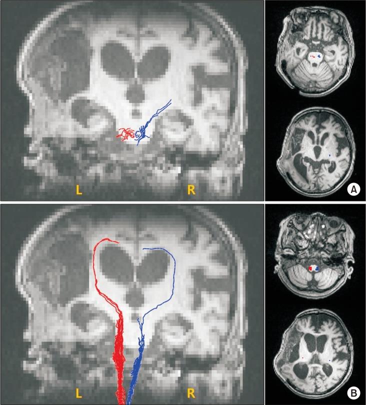
Complex regional pain syndrome (CRPS) type I in stroke patients is usually known to affect the hemiplegic upper limb. We report a case of CRPS presented in an ipsilesional arm of a 72-year-old female patient after an ischemic stroke at the left middle cerebral artery territory. Clinical signs such as painful range of motion and hyperalgesia of her left upper extremity, swollen left hand, and dystonic posture were suggestive of CRPS. A three-phase bone scintigraphy showed increased uptake in all phases in the ipsilesional arm. Diffusion tensor tractography showed significantly decreased fiber numbers of the corticospinal tract and the spinothalamic tract in both unaffected and affected hemispheres. Pain and range of motion of the left arm of the patient improved after oral steroids with a starting dose of 50 mg/day.
复杂区域疼痛综合征(CRPS)I型在中风患者中通常已知会影响偏瘫上肢。我们报告一例CRPS病例,发生在一名72岁女性患者左侧大脑中动脉区域缺血性中风后的同侧手臂。临床体征,如左侧上肢活动时疼痛和痛觉过敏、左手肿胀以及肌张力障碍姿势,提示为CRPS。三相骨闪烁显像显示同侧手臂各期摄取均增加。弥散张量纤维束成像显示,在未受影响和受影响的半球中,皮质脊髓束和脊髓丘脑束的纤维数量均显著减少。患者口服起始剂量为50 mg/天的类固醇后,左臂疼痛和活动范围得到改善。