Suppr超能文献

中风后中枢性疼痛患者的白质改变

Alteration of White Matter in Patients with Central Post-Stroke Pain.

作者信息

Park Jung Geun, Hong Bo Young, Park Hae-Yeon, Yoo Yeun Jie, Yoon Mi-Jeong, Kim Joon-Sung, Lim Seong Hoon

机构信息

Department of Rehabilitation Medicine, St. Vincent's Hospital, College of Medicine, The Catholic University of Korea, 93 Jungbu-daero, Paldal-gu, Suwon 16247, Korea.

Department of Rehabilitation Medicine, Seoul St. Mary's Hospital, College of Medicine, The Catholic University of Korea, Seoul 06591, Korea.

出版信息

J Pers Med. 2021 May 15;11(5):417. doi: 10.3390/jpm11050417.

Abstract

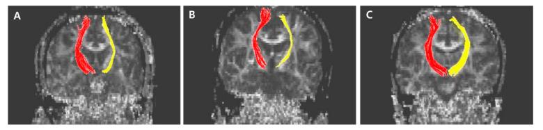
A stroke may be followed by central post-stroke pain (CPSP), which is characterized by chronic neuropathic pain. The exact mechanism has not yet been fully uncovered. We investigated alterations in the white matters in patients with CPSP, compared with stroke patients without CPSP and normal controls. Our retrospective cross-sectional, case-control study participants were assigned to three groups: CPSP (stroke patients with CPSP ( = 17)); stroke control (stroke patients without CPSP ( = 26)); and normal control (normal subjects ( = 34)). The investigation of white matter for CPSP was focused on the values of fiber numbers (FN) and fractional anisotrophy (FA) for spinothalamic tract (STT), anterior thalamic radiation (ATR), superior thalamic radiation (STR) and posterior thalamic radiation (PTR), and corticospinal tract (CST) was measured. The FA for the STT and STR of the CPSP group were lower than those for the stroke control and normal control groups. The FA of CST and ATR did not differ between the CPSP and stroke groups, but both differed from the normal control. The FA of PTR in the stroke control group differed from the normal control group, but not from the CPSP group. The FN of CST, STT, ATR, and STR for the CPSP and stroke control groups did not differ from each other, but both differed from those of normal controls. FN of PTR did not differ between the CPSP and normal control groups. The alterations in the spinothalamic tract and superior thalamic radiation after stroke would play a role in the pathogenesis of CPSP.

摘要

中风后可能会出现中枢性中风后疼痛(CPSP),其特征为慢性神经性疼痛。确切机制尚未完全揭示。我们对CPSP患者的白质变化进行了研究,并与无CPSP的中风患者及正常对照进行比较。我们的回顾性横断面病例对照研究参与者被分为三组:CPSP组(患有CPSP的中风患者( = 17));中风对照组(无CPSP的中风患者( = 26));以及正常对照组(正常受试者( = 34))。对CPSP白质的研究重点在于脊髓丘脑束(STT)、丘脑前辐射(ATR)、丘脑上辐射(STR)和丘脑后辐射(PTR)的纤维数量(FN)值和分数各向异性(FA),并测量了皮质脊髓束(CST)。CPSP组的STT和STR的FA低于中风对照组和正常对照组。CPSP组和中风组之间CST和ATR的FA没有差异,但两者均与正常对照组不同。中风对照组中PTR的FA与正常对照组不同,但与CPSP组无差异。CPSP组和中风对照组的CST、STT、ATR和STR的FN彼此无差异,但两者均与正常对照组不同。CPSP组和正常对照组之间PTR的FN没有差异。中风后脊髓丘脑束和丘脑上辐射的变化在CPSP的发病机制中起作用。

https://cdn.ncbi.nlm.nih.gov/pmc/blobs/2e47/8156708/0b0b751d5e14/jpm-11-00417-g001.jpg

文献AI研究员

20分钟写一篇综述,助力文献阅读效率提升50倍。

立即体验

用中文搜PubMed

大模型驱动的PubMed中文搜索引擎

马上搜索

文档翻译

学术文献翻译模型,支持多种主流文档格式。

立即体验