Suppr超能文献

不要忘记髋关节!伪装成膝关节疼痛的髋关节关节炎。

Don't forget the hip! Hip arthritis masquerading as knee pain.

作者信息

Dibra Florian F, Prieto Hernan A, Gray Chancellor F, Parvataneni Hari K

机构信息

Department of Orthopaedic Surgery and Rehabilitation, University of Florida, Gainesville, FL, USA.

出版信息

Arthroplast Today. 2017 Aug 12;4(1):118-124. doi: 10.1016/j.artd.2017.06.008. eCollection 2018 Mar.

Abstract

BACKGROUND

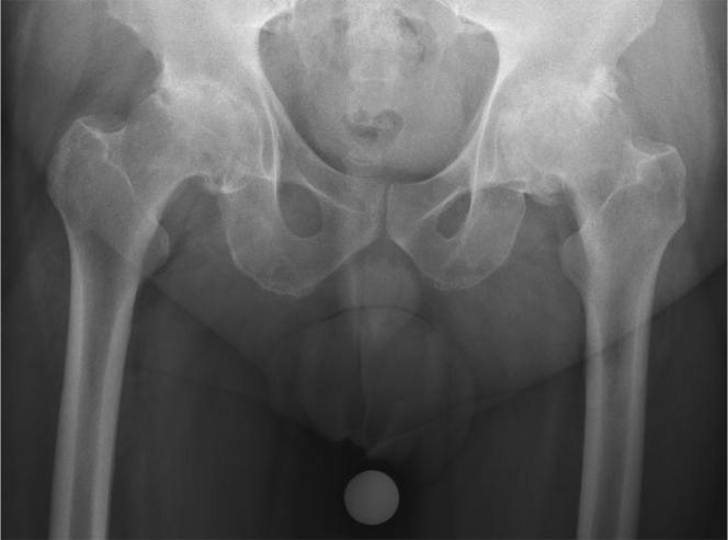
Hip osteoarthritis typically manifests with groin or thigh pain. Other atypical pain patterns, including knee pain, have been described. Except for 2 case reports, there is no literature on this subject.

METHODS

From our institutional database, between 2011 and 2016, we identified 21 patients who were referred for treatment of knee pain but ultimately diagnosed with hip pathology as the cause of their pain. This group was evaluated for duration of symptoms prior to diagnosis, previous interventions, presence of walking aids, and symptom resolution after treatment of the hip pathology.

RESULTS

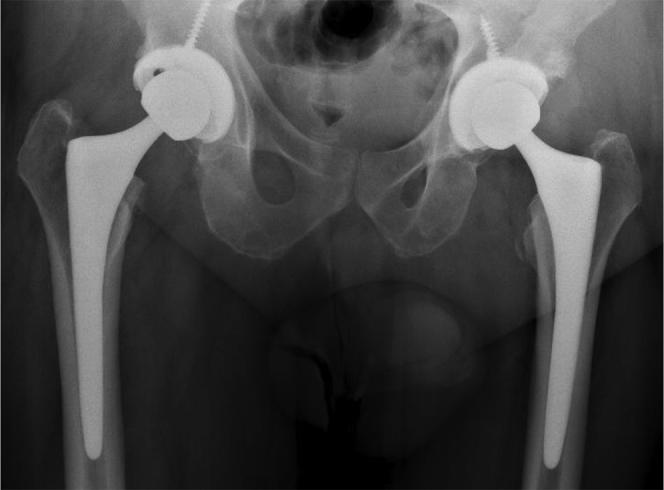
Fifteen of the 21 patients were referred from musculoskeletal providers (12 from orthopaedic surgeons). Prior to diagnosis of the hip etiology, 16 patients were reduced to major assistive devices including wheelchairs. Twelve of 21 patients had undergone surgical knee interventions, including total knee arthroplasty, with minimal to no relief of their pain. Seventeen of 21 referred patients underwent total hip arthroplasty at our institution. Fourteen patients had complete resolution of knee pain after total hip arthroplasty.

CONCLUSIONS

Although knee pain referred from hip disease may be considered a basic and common knowledge, it continues to be an overlooked phenomenon. Most of the cases were misdiagnosed by musculoskeletal providers including orthopaedic surgeons and this highlights the need for continued education and awareness of this clinical scenario.

摘要

背景

髋关节骨关节炎通常表现为腹股沟或大腿疼痛。其他非典型疼痛模式,包括膝关节疼痛,也有相关描述。除了2例病例报告外,关于这个主题没有相关文献。

方法

从我们机构的数据库中,在2011年至2016年期间,我们确定了21例因膝关节疼痛前来就诊但最终被诊断为髋关节病变是其疼痛原因的患者。对该组患者进行了诊断前症状持续时间、先前干预措施、是否使用助行器以及髋关节病变治疗后症状缓解情况的评估。

结果

21例患者中有15例是由肌肉骨骼疾病专家转诊而来(12例来自骨科医生)。在诊断出髋关节病因之前,16例患者需要使用包括轮椅在内的主要辅助器械。21例患者中有12例接受了膝关节手术干预,包括全膝关节置换术,但疼痛缓解甚微或没有缓解。21例转诊患者中有17例在我们机构接受了全髋关节置换术。14例患者在全髋关节置换术后膝关节疼痛完全缓解。

结论

尽管髋关节疾病引起的膝关节疼痛可能被认为是基本知识,但它仍然是一个被忽视的现象。大多数病例被包括骨科医生在内的肌肉骨骼疾病专家误诊,这凸显了对这种临床情况进行持续教育和提高认识的必要性。

https://cdn.ncbi.nlm.nih.gov/pmc/blobs/c029/5859208/5b6a6f7bcce9/gr1.jpg

文献AI研究员

20分钟写一篇综述,助力文献阅读效率提升50倍。

立即体验

用中文搜PubMed

大模型驱动的PubMed中文搜索引擎

马上搜索

文档翻译

学术文献翻译模型,支持多种主流文档格式。

立即体验