Suppr超能文献

乳鼠内毒素血症对成年大鼠胰腺完整性和外分泌功能的影响:一篇综述报告。

Effect of Endotoxemia in Suckling Rats on Pancreatic Integrity and Exocrine Function in Adults: A Review Report.

作者信息

Jaworek Jolanta, Tudek Barbara, Kowalczyk Paweł, Kot Michalina, Szklarczyk Joanna, Leja-Szpak Anna, Pierzchalski Piotr, Bonior Joanna, Dembiński Artur, Ceranowicz Piotr, Warzecha Zygmunt, Nawrot-Porąbka Katarzyna, Gil Krzysztof

机构信息

Department of Medical Physiology, Faculty of Health Sciences, Jagiellonian University Medical College, 12 Michałowskiego Street, 31-126 Cracow, Poland.

Institute of Biochemistry and Biophysics, Polish Academy of Sciences, 5A Pawińskiego Street, 02-106 Warsaw, Poland.

出版信息

Gastroenterol Res Pract. 2018 Jan 14;2018:6915059. doi: 10.1155/2018/6915059. eCollection 2018.

Abstract

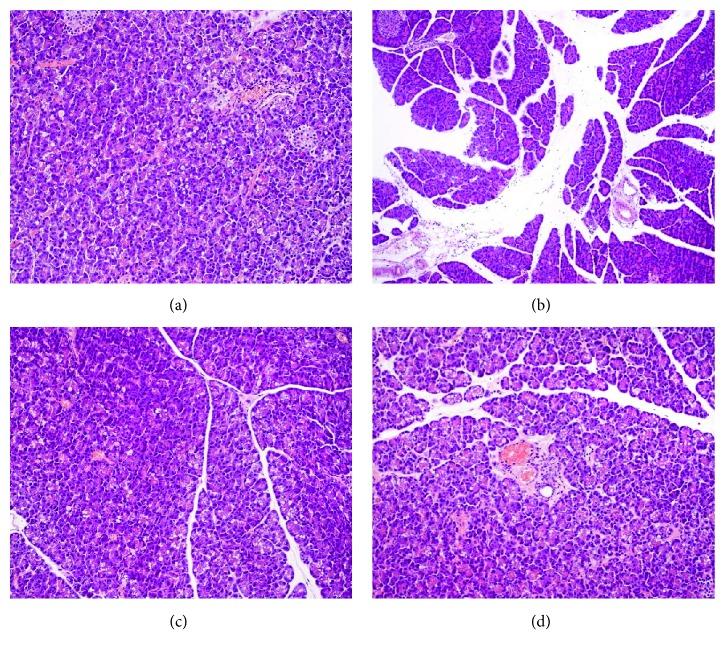
. Endotoxin (LPS), the component of Gram-negative bacteria, is responsible for sepsis and neonatal mortality, but low concentrations of LPS produced tissue protection in experimental studies. The effects of LPS applied to the suckling rats on the pancreas of adult animals have not been previously explored. We present the impact of neonatal endotoxemia on the pancreatic exocrine function and on the acute pancreatitis which has been investigated in the adult animals. Endotoxemia was induced in suckling rats by intraperitoneal application of LPS from or . In the adult rats, pretreated in the early period of life with LPS, histological manifestations of acute pancreatitis have been reduced. Pancreatic weight and plasma lipase activity were decreased, and SOD concentration was reversed and accompanied by a significant reduction of lipid peroxidation products (MDA + 4 HNE) in the pancreatic tissue. In the pancreatic acini, the significant increases in protein signals for toll-like receptor 4 and for heat shock protein 60 were found. Signal for the CCK1 receptor was reduced and pancreatic secretory responses to caerulein were diminished, whereas basal enzyme secretion was unaffected. These pioneer studies have shown that exposition of suckling rats to endotoxin has an impact on the pancreas in the adult organism.

摘要

内毒素(脂多糖)是革兰氏阴性菌的组成成分,可导致败血症和新生儿死亡,但在实验研究中,低浓度的脂多糖具有组织保护作用。此前尚未探究过给乳鼠注射脂多糖对成年动物胰腺的影响。我们阐述了新生儿内毒素血症对成年动物胰腺外分泌功能和急性胰腺炎的影响。通过腹腔注射脂多糖在乳鼠中诱导内毒素血症。在成年大鼠中,若在生命早期用脂多糖预处理,急性胰腺炎的组织学表现会减轻。胰腺重量和血浆脂肪酶活性降低,超氧化物歧化酶浓度恢复正常,同时胰腺组织中脂质过氧化产物(丙二醛+4-羟基壬烯醛)显著减少。在胰腺腺泡中,发现Toll样受体4和热休克蛋白60的蛋白质信号显著增加。胆囊收缩素1型受体的信号减少,胰腺对蛙皮素的分泌反应减弱,而基础酶分泌未受影响。这些开创性研究表明,乳鼠接触内毒素会对成年生物体的胰腺产生影响。

https://cdn.ncbi.nlm.nih.gov/pmc/blobs/e57a/5821989/0a1cc4d48649/GRP2018-6915059.001.jpg

文献AI研究员

20分钟写一篇综述,助力文献阅读效率提升50倍。

立即体验

用中文搜PubMed

大模型驱动的PubMed中文搜索引擎

马上搜索

文档翻译

学术文献翻译模型,支持多种主流文档格式。

立即体验