• 文献检索
  • 文档翻译
  • 深度研究
  • 学术资讯
  • Suppr Zotero 插件Zotero 插件
  • 邀请有礼
  • 套餐&价格
  • 历史记录
应用&插件
Suppr Zotero 插件Zotero 插件浏览器插件Mac 客户端Windows 客户端微信小程序
定价
高级版会员购买积分包购买API积分包
服务
文献检索文档翻译深度研究API 文档MCP 服务
关于我们
关于 Suppr公司介绍联系我们用户协议隐私条款
关注我们

Suppr 超能文献

核心技术专利:CN118964589B侵权必究
粤ICP备2023148730 号-1Suppr @ 2026

文献检索

告别复杂PubMed语法,用中文像聊天一样搜索,搜遍4000万医学文献。AI智能推荐,让科研检索更轻松。

立即免费搜索

文件翻译

保留排版,准确专业,支持PDF/Word/PPT等文件格式,支持 12+语言互译。

免费翻译文档

深度研究

AI帮你快速写综述,25分钟生成高质量综述,智能提取关键信息,辅助科研写作。

立即免费体验

肝细胞核因子1同源框B基因突变是慢性难治性低镁血症的一个病因。

HNF1 homeobox B mutation as a cause for chronic, treatment-resistant hypomagnesaemia.

作者信息

Stiles C E, Thuraisingham R, Bockenhauer D, Platts L, Kumar A V, Korbonits M

机构信息

Department of EndocrinologyWilliam Harvey Research Institute, Barts and the London School of Medicine, Queen Mary University of London, London, UK.

Department of NephrologyBarts Health NHS Trust, London, UK.

出版信息

Endocrinol Diabetes Metab Case Rep. 2018 Mar 21;2018. doi: 10.1530/EDM-17-0120. eCollection 2018.

DOI:10.1530/EDM-17-0120
PMID:29576871
原文链接:https://pmc.ncbi.nlm.nih.gov/articles/PMC5863246/
Abstract

UNLABELLED

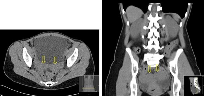
29-year-old female presenting with an 8-year history of unexplained hypomagnesaemia, which was severe enough to warrant intermittent inpatient admission for intravenous magnesium. Urinary magnesium was inappropriately normal in the context of hypomagnesaemia indicating magnesium wasting. Ultrasound imaging demonstrated unilateral renal cysts and computed tomography of kidneys, ureters and bladder showed a bicornuate uterus. Referral to genetic services and subsequent testing revealed a deletion.

LEARNING POINTS

loss-of-function mutations are one of the most common monogenic causes of congenital anomalies of the kidney and urinary tract.Those with mutations may have some of a constellation of features (renal and hepatic cysts, deranged liver function tests, maturity onset diabetes of the young type 5 (MODY5), bicornuate uterus, hyperparathyroidism, hyperuricaemic gout, but presenting features are highly heterogeneous amongst patients and no genotype/phenotype correlation exists. mutations are inherited in an autosomal dominant pattern but up to 50% of cases are mutations can be part of the Chr17q12 deletion syndrome, a contiguous gene deletion syndrome.Inorganic oral magnesium replacements are generally poorly tolerated with side effects of diarrhoea. Organic magnesium compounds, such as magnesium aspartate, are better absorbed oral replacement therapies.

摘要

未标注

一名29岁女性,有8年不明原因低镁血症病史,严重到需要间歇性住院静脉输注镁。在低镁血症情况下,尿镁异常正常,提示镁流失。超声成像显示单侧肾囊肿,肾脏、输尿管和膀胱的计算机断层扫描显示双角子宫。转诊至遗传服务部门并随后进行检测发现一个缺失。

学习要点

功能丧失突变是先天性肾脏和尿路异常最常见的单基因原因之一。有突变的患者可能有一系列特征(肾囊肿和肝囊肿、肝功能检查异常、青少年型5型成年发病型糖尿病(MODY5)、双角子宫、甲状旁腺功能亢进、高尿酸血症痛风),但患者的表现特征高度异质,不存在基因型/表型相关性。突变以常染色体显性模式遗传,但高达50%的病例是新发突变。突变可能是17号染色体q12缺失综合征的一部分,这是一种相邻基因缺失综合征。无机口服镁补充剂通常耐受性差,有腹泻副作用。有机镁化合物,如天冬氨酸镁,是吸收更好的口服替代疗法。

https://cdn.ncbi.nlm.nih.gov/pmc/blobs/c79c/5863246/5060446d6b55/edmcr-2018-170120-g004.jpg
https://cdn.ncbi.nlm.nih.gov/pmc/blobs/c79c/5863246/b70f86dd951a/edmcr-2018-170120-g001.jpg
https://cdn.ncbi.nlm.nih.gov/pmc/blobs/c79c/5863246/0d6aa151041f/edmcr-2018-170120-g002.jpg
https://cdn.ncbi.nlm.nih.gov/pmc/blobs/c79c/5863246/ad634dc742a4/edmcr-2018-170120-g003.jpg
https://cdn.ncbi.nlm.nih.gov/pmc/blobs/c79c/5863246/5060446d6b55/edmcr-2018-170120-g004.jpg
https://cdn.ncbi.nlm.nih.gov/pmc/blobs/c79c/5863246/b70f86dd951a/edmcr-2018-170120-g001.jpg
https://cdn.ncbi.nlm.nih.gov/pmc/blobs/c79c/5863246/0d6aa151041f/edmcr-2018-170120-g002.jpg
https://cdn.ncbi.nlm.nih.gov/pmc/blobs/c79c/5863246/ad634dc742a4/edmcr-2018-170120-g003.jpg
https://cdn.ncbi.nlm.nih.gov/pmc/blobs/c79c/5863246/5060446d6b55/edmcr-2018-170120-g004.jpg

相似文献

1
HNF1 homeobox B mutation as a cause for chronic, treatment-resistant hypomagnesaemia.肝细胞核因子1同源框B基因突变是慢性难治性低镁血症的一个病因。
Endocrinol Diabetes Metab Case Rep. 2018 Mar 21;2018. doi: 10.1530/EDM-17-0120. eCollection 2018.
2
[Clinical phenotypes of hepatocyte nuclear factor 1 homeobox b-associated disease].[肝细胞核因子1同源盒b相关疾病的临床表型]
Zhonghua Er Ke Za Zhi. 2017 Sep 2;55(9):658-662. doi: 10.3760/cma.j.issn.0578-1310.2017.09.006.
3
HNF1B variant without hyperglycaemia as a cause of isolated profound hypomagnesaemia.无高血糖的 HNF1B 变异体是导致孤立性严重低镁血症的原因。
BMJ Case Rep. 2023 Feb 9;16(2):e254274. doi: 10.1136/bcr-2022-254274.
4
Hepatocyte nuclear factor 1B deletion, but not intragenic mutation, might be more susceptible to hypomagnesemia.肝细胞核因子 1B 缺失而非基因内突变可能更容易导致低镁血症。
J Diabetes Investig. 2024 Jan;15(1):121-130. doi: 10.1111/jdi.14084. Epub 2023 Sep 22.
5
A case of MODY5-like manifestations without mutations or deletions in coding and minimal promoter regions of the HNF1B gene.1例具有MODY5样表现但在肝细胞核因子1β(HNF1B)基因编码区和最小启动子区无突变或缺失的病例。
Endocr J. 2020 Sep 28;67(9):981-988. doi: 10.1507/endocrj.EJ20-0038. Epub 2020 May 27.
6
A novel splice-site mutation of the HNF1B gene in a family with maturity onset diabetes of the young type 5 (MODY5).一个患有青年发病型成年糖尿病5型(MODY5)的家族中HNF1B基因的一种新型剪接位点突变。
Endocrinol Diabetes Metab Case Rep. 2020 Sep 23;2020. doi: 10.1530/EDM-20-0092.
7
Unusual manifestations of young woman with MODY5 based on 17q12 recurrent deletion syndrome.基于 17q12 重复缺失综合征的 MODY5 年轻女性患者的不常见表现。
BMC Endocr Disord. 2022 Mar 26;22(1):77. doi: 10.1186/s12902-022-00989-6.
8
The Clinical Characteristics and Gene Mutations of Maturity-Onset Diabetes of the Young Type 5 in Sixty-One Patients.61 例青年发病的成年型糖尿病 5 型的临床特征和基因突变。
Front Endocrinol (Lausanne). 2022 Jun 30;13:911526. doi: 10.3389/fendo.2022.911526. eCollection 2022.
9
Long-lasting response to oral therapy in a young male with monogenic diabetes as part of -related disease.一名患有单基因糖尿病的年轻男性对口服治疗产生持久反应,该疾病为相关疾病的一部分。
Endocrinol Diabetes Metab Case Rep. 2017 Jun 23;2017. doi: 10.1530/EDM-17-0052. eCollection 2017.
10
HNF1B mutations associate with hypomagnesemia and renal magnesium wasting.肝细胞核因子1β(HNF1B)突变与低镁血症及肾性镁流失相关。
J Am Soc Nephrol. 2009 May;20(5):1123-31. doi: 10.1681/ASN.2008060633. Epub 2009 Apr 23.

引用本文的文献

1
Japanese 17q12 Deletion Syndrome with Complex Clinical Manifestations.具有复杂临床表现的日本17q12缺失综合征
Intern Med. 2024;63(5):687-692. doi: 10.2169/internalmedicine.1660-23.
2
Hepatocyte nuclear factor 1B deletion, but not intragenic mutation, might be more susceptible to hypomagnesemia.肝细胞核因子 1B 缺失而非基因内突变可能更容易导致低镁血症。
J Diabetes Investig. 2024 Jan;15(1):121-130. doi: 10.1111/jdi.14084. Epub 2023 Sep 22.
3
Pregnancy outcome with maternal gene mutations and 17q12 deletions.伴有母亲基因突变和17q12缺失的妊娠结局。

本文引用的文献

1
Identification of SLC41A3 as a novel player in magnesium homeostasis.鉴定SLC41A3为镁稳态中的新参与者。
Sci Rep. 2016 Jun 28;6:28565. doi: 10.1038/srep28565.
2
The art of magnesium transport.镁转运的艺术。
Magnes Res. 2015 Jul-Sep;28(3):85-91. doi: 10.1684/mrh.2015.0388.
3
Hypomagnesemia as First Clinical Manifestation of ADTKD-HNF1B: A Case Series and Literature Review.低镁血症作为ADTKD-HNF1B的首发临床表现:病例系列及文献综述
Obstet Med. 2023 Jun;16(2):78-82. doi: 10.1177/1753495X221109734. Epub 2022 Jun 27.
4
The Clinical Characteristics and Gene Mutations of Maturity-Onset Diabetes of the Young Type 5 in Sixty-One Patients.61 例青年发病的成年型糖尿病 5 型的临床特征和基因突变。
Front Endocrinol (Lausanne). 2022 Jun 30;13:911526. doi: 10.3389/fendo.2022.911526. eCollection 2022.
5
From Theory to Reality: Establishing a Successful Kidney Genetics Clinic in the Outpatient Setting.从理论到实践:在门诊环境中建立成功的肾脏遗传学诊所。
Kidney360. 2020 Aug 12;1(10):1099-1106. doi: 10.34067/KID.0004262020. eCollection 2020 Oct 29.
6
Analysis of expression, epigenetic, and genetic changes of HNF1B in 130 kidney tumours.分析 130 例肾肿瘤中 HNF1B 的表达、表观遗传和遗传变化。
Sci Rep. 2020 Oct 13;10(1):17151. doi: 10.1038/s41598-020-74059-z.
7
Maturity-onset diabetes of the young type 5 a MULTISYSTEMIC disease: a CASE report of a novel mutation in the HNF1B gene and literature review.青少年成熟型糖尿病5型——一种多系统疾病:1例HNF1B基因新突变病例报告及文献复习
Clin Diabetes Endocrinol. 2020 Aug 26;6:16. doi: 10.1186/s40842-020-00103-6. eCollection 2020.
Am J Nephrol. 2015;42(1):85-90. doi: 10.1159/000439286.
4
HNF1B-associated clinical phenotypes: the kidney and beyond.与肝细胞核因子1β相关的临床表型:肾脏及其他方面。
Pediatr Nephrol. 2016 May;31(5):707-14. doi: 10.1007/s00467-015-3142-2. Epub 2015 Jul 8.
5
Hnf1b controls pancreas morphogenesis and the generation of Ngn3+ endocrine progenitors.肝细胞核因子1β(Hnf1b)控制胰腺形态发生以及神经生成蛋白3(Ngn3)阳性内分泌祖细胞的产生。
Development. 2015 Mar 1;142(5):871-82. doi: 10.1242/dev.110759.
6
Genome architecture and its roles in human copy number variation.基因组结构及其在人类拷贝数变异中的作用。
Genomics Inform. 2014 Dec;12(4):136-44. doi: 10.5808/GI.2014.12.4.136. Epub 2014 Dec 31.
7
Renal MODY-fier genes.
Am J Physiol Renal Physiol. 2014 Sep 15;307(6):F656-7. doi: 10.1152/ajprenal.00377.2014. Epub 2014 Jul 23.
8
Lhx1 is required in Müllerian duct epithelium for uterine development.Lhx1 在 Müllerian 导管上皮中对于子宫发育是必需的。
Dev Biol. 2014 May 15;389(2):124-36. doi: 10.1016/j.ydbio.2014.01.025. Epub 2014 Feb 21.
9
Single-gene causes of congenital anomalies of the kidney and urinary tract (CAKUT) in humans.人类肾脏和尿路先天性异常(CAKUT)的单基因病因。
Pediatr Nephrol. 2014 Apr;29(4):695-704. doi: 10.1007/s00467-013-2684-4. Epub 2014 Jan 8.
10
Severe prenatal renal anomalies associated with mutations in HNF1B or PAX2 genes.严重的产前肾异常与 HNF1B 或 PAX2 基因突变有关。
Clin J Am Soc Nephrol. 2013 Jul;8(7):1179-87. doi: 10.2215/CJN.10221012. Epub 2013 Mar 28.