Suppr超能文献

局部他克莫司治疗过敏性结膜肉芽肿成功:临床病理病例报告。

Successful treatment of allergic conjunctival granuloma by topical tacrolimus: A clinicopathologic case report.

机构信息

Eye Research Center, Rassoul Akram Hospital, Iran University of Medical Sciences, Tehran, Iran.

出版信息

Indian J Ophthalmol. 2018 Apr;66(4):578-580. doi: 10.4103/ijo.IJO_490_16.

Abstract

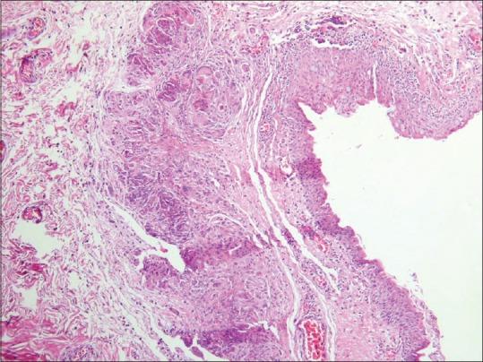
Allergic conjunctival granuloma is a rare cause of conjunctival ocular lesions. The aim of this case report was to present a successful treatment of an allergic conjunctival granuloma with topical tacrolimus eye drops. A 20-year-old female presented with bilateral multiple yellow nodules of the bulbar conjunctival epithelium and conjunctival injection. The patient had tearing, photophobia, itching, foreign body sensation, and red eye. The patient's signs and symptoms progressed despite the use of topical steroids. The patient was treated by application of tacrolimus eye drop (0.005%) in her right eye every 6 h while the left eye was put on placebo. Her signs and symptoms were recorded at each visit. After 3 weeks' therapy with topical tacrolimus eye drop, the patient became asymptomatic in her right eye and conjunctival granulomas fully resolved. Topical tacrolimus seems to be an effective therapeutic option for the treatment of allergic conjunctival granulomas.

摘要

过敏性结膜肉芽肿是一种罕见的结膜眼部病变原因。本病例报告的目的是介绍使用他克莫司眼药水成功治疗过敏性结膜肉芽肿。一名 20 岁女性因双侧球结膜上皮和结膜充血出现多发性黄色小结节就诊。患者有流泪、畏光、瘙痒、异物感和眼红。尽管使用了局部类固醇,但患者的体征和症状仍在加重。患者右眼每 6 小时使用他克莫司眼药水(0.005%)治疗,左眼使用安慰剂。每次就诊时都会记录患者的体征和症状。在使用他克莫司眼药水治疗 3 周后,患者右眼无症状,结膜肉芽肿完全消退。局部使用他克莫司似乎是治疗过敏性结膜肉芽肿的有效治疗选择。

https://cdn.ncbi.nlm.nih.gov/pmc/blobs/2c23/5892069/e85d77c43b9a/IJO-66-578-g001.jpg

文献AI研究员

20分钟写一篇综述,助力文献阅读效率提升50倍。

立即体验

用中文搜PubMed

大模型驱动的PubMed中文搜索引擎

马上搜索

文档翻译

学术文献翻译模型,支持多种主流文档格式。

立即体验