Suppr超能文献

万通活血膏可抑制糖尿病周围神经病变大鼠模型背根神经节中疼痛相关分子PLC-3的减少。

WenTong HuoXue Cream Can Inhibit the Reduction of the Pain-Related Molecule PLC-3 in the Dorsal Root Ganglion of a Rat Model of Diabetic Peripheral Neuropathy.

作者信息

Feng Chengcheng, Xu Lijuan, Guo Shiyun, Chen Qian, Shen Yuguo, Zang Deng, Ma Li

机构信息

Traditional Chinese Medicine Hospital, Xinjiang Medical University, Ürümqi, China.

Xinjiang Medical University, Ürümqi, China.

出版信息

Evid Based Complement Alternat Med. 2018 Feb 11;2018:3416936. doi: 10.1155/2018/3416936. eCollection 2018.

Abstract

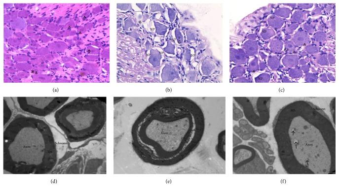
WenTong HuoXue Cream (WTHX-Cream) has been shown to effectively alleviate clinical symptoms of diabetic peripheral neuropathy (DPN). This study investigated the gene and protein expression of the pain-related molecule PLC-3 in the dorsal root ganglion (DRG) of DPN rats. 88 specific pathogen-free male Wistar rats were randomly divided into placebo (10 rats) and DPN model (78 rats) groups, and the 78 model rats were used to establish the DPN model by intraperitoneal injection of streptozotocin and were then fed a high-fat diet for 8 weeks. These rats were randomly divided into the model group, the high-, medium-, and low-dose WTHX-Cream + metformin groups, the metformin group, the capsaicin cream group, and the capsaicin cream + metformin group. After 4 weeks of continuous drug administration, the blood glucose, body weight, behavioral indexes, and sciatic nerve conduction velocity were measured. The pathological structure of the DRG and the sciatic nerve were observed. PLC-3 mRNA and protein levels in the DRG of rats were measured. Compared with the model group, the high-dose WTHX-Cream group showed increased sciatic nerve conduction velocity, improved sciatic nerve morphological changes, and increased expression of PLC-3 mRNA and protein in the DRG. This study showed that WTHX-Cream improves hyperalgesia symptoms of DPN by inhibiting the reduction of PLC-3 mRNA and protein expression in the diabetic DRG of DPN rats.

摘要

温通活血乳膏(WTHX - 乳膏)已被证明能有效缓解糖尿病周围神经病变(DPN)的临床症状。本研究调查了DPN大鼠背根神经节(DRG)中疼痛相关分子PLC - 3的基因和蛋白表达。88只无特定病原体的雄性Wistar大鼠随机分为安慰剂组(10只大鼠)和DPN模型组(78只大鼠),78只模型大鼠通过腹腔注射链脲佐菌素建立DPN模型,然后给予高脂饮食8周。这些大鼠随机分为模型组、高、中、低剂量WTHX - 乳膏 + 二甲双胍组、二甲双胍组、辣椒素乳膏组和辣椒素乳膏 + 二甲双胍组。连续给药4周后,测量血糖、体重、行为指标和坐骨神经传导速度。观察DRG和坐骨神经的病理结构。测量大鼠DRG中PLC - 3 mRNA和蛋白水平。与模型组相比,高剂量WTHX - 乳膏组坐骨神经传导速度增加,坐骨神经形态学改变改善,DRG中PLC - 3 mRNA和蛋白表达增加。本研究表明,WTHX - 乳膏通过抑制DPN大鼠糖尿病DRG中PLC - 3 mRNA和蛋白表达的降低来改善DPN的痛觉过敏症状。

https://cdn.ncbi.nlm.nih.gov/pmc/blobs/788c/5828334/c016eb6db09e/ECAM2018-3416936.001.jpg

文献AI研究员

20分钟写一篇综述,助力文献阅读效率提升50倍。

立即体验

用中文搜PubMed

大模型驱动的PubMed中文搜索引擎

马上搜索

文档翻译

学术文献翻译模型,支持多种主流文档格式。

立即体验