Suppr超能文献

腹腔放线菌病导致难以诊断的腹腔肿块:一例报告。

Intraabdominal actinomycosis resulting in a difficult to diagnose intraperitoneal mass: A case report.

作者信息

Tsujimura Naoto, Takemoto Hiroyoshi, Nakahara Yujiro, Wakasugi Masaki, Matsumoto Takashi, Nishioka Kiyonori, Takachi Kou, Oshima Satoshi, Yoshida Kyotaro

机构信息

Department of Gastroenterological Surgery, Graduate School of Medicine, Osaka University, Osaka, Japan.

Department of Surgery, Kinki Central Hospital, Hyogo, Japan.

出版信息

Int J Surg Case Rep. 2018;45:101-103. doi: 10.1016/j.ijscr.2018.03.024. Epub 2018 Mar 21.

Abstract

INTRODUCTION

Actinomycosis is a chronic suppurative granulomatous disease caused by Actinomyces israelii. Preoperative confirmed diagnosis is very difficult, so most cases are diagnosed preoperatively as malignant tumors. We report a case of intraabdominal actinomycosis which was difficult to diagnose preoperatively.

PRESENTATION OF THE CASE

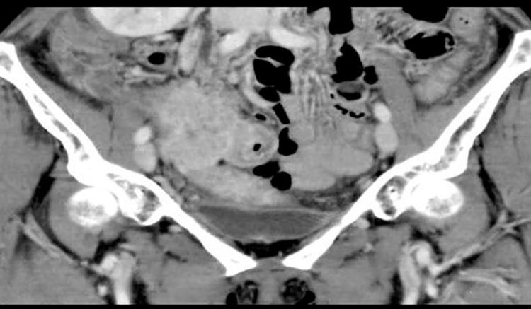
A woman, 60 years old, experienced discomfort in her lower right abdomen. She complained of nausea and anorexia and visited our hospital. Laboratory blood tests, abdominal CT, and abdominal MRI led to a diagnosis of a uterine sarcoma or primary intestinal mass, and she underwent surgery. Her histopathological diagnosis was intraabdominal actinomycosis.

DISCUSSION

Actinomycosis is a chronic purulent granulomatous inflammation caused by Actinomyces israelii. No clinical symptoms or laboratory findings are characteristic of abdominal actinomycosis, so this disorder is very difficult to diagnose preoperatively. Therefore, many cases are diagnosed as malignant tumors and undergo surgery. After surgery, long-term antibiotic treatment (penicillin) is usually administered.

CONCLUSIONS

We reported a case of intraabdominal actinomycosis that resulted in a difficult to diagnose intraperitoneal mass. When a large intraperitoneal mass is found, actinomycosis needs to be included as one of differential diagnoses.

摘要

引言

放线菌病是一种由以色列放线菌引起的慢性化脓性肉芽肿性疾病。术前确诊非常困难,因此大多数病例在术前被诊断为恶性肿瘤。我们报告一例术前难以诊断的腹腔放线菌病病例。

病例介绍

一名60岁女性,右下腹部不适。她主诉恶心和厌食,遂来我院就诊。实验室血液检查、腹部CT和腹部MRI检查后诊断为子宫肉瘤或原发性肠道肿物,随后她接受了手术。其组织病理学诊断为腹腔放线菌病。

讨论

放线菌病是由以色列放线菌引起的慢性化脓性肉芽肿性炎症。没有临床症状或实验室检查结果具有腹腔放线菌病的特征,因此这种疾病术前很难诊断。所以,许多病例被诊断为恶性肿瘤并接受了手术。术后通常给予长期抗生素治疗(青霉素)。

结论

我们报告了一例导致腹腔肿物难以诊断的腹腔放线菌病病例。当发现较大的腹腔肿物时,放线菌病需要作为鉴别诊断之一予以考虑。

https://cdn.ncbi.nlm.nih.gov/pmc/blobs/4d38/6000908/f6f6c46762b5/gr1.jpg

文献检索

告别复杂PubMed语法,用中文像聊天一样搜索,搜遍4000万医学文献。AI智能推荐,让科研检索更轻松。

立即免费搜索

文件翻译

保留排版,准确专业,支持PDF/Word/PPT等文件格式,支持 12+语言互译。

免费翻译文档

深度研究

AI帮你快速写综述,25分钟生成高质量综述,智能提取关键信息,辅助科研写作。

立即免费体验