• 文献检索
  • 文档翻译
  • 深度研究
  • 学术资讯
  • Suppr Zotero 插件Zotero 插件
  • 邀请有礼
  • 套餐&价格
  • 历史记录
应用&插件
Suppr Zotero 插件Zotero 插件浏览器插件Mac 客户端Windows 客户端微信小程序
定价
高级版会员购买积分包购买API积分包
服务
文献检索文档翻译深度研究API 文档MCP 服务
关于我们
关于 Suppr公司介绍联系我们用户协议隐私条款
关注我们

Suppr 超能文献

核心技术专利:CN118964589B侵权必究
粤ICP备2023148730 号-1Suppr @ 2026

文献检索

告别复杂PubMed语法,用中文像聊天一样搜索,搜遍4000万医学文献。AI智能推荐,让科研检索更轻松。

立即免费搜索

文件翻译

保留排版,准确专业,支持PDF/Word/PPT等文件格式,支持 12+语言互译。

免费翻译文档

深度研究

AI帮你快速写综述,25分钟生成高质量综述,智能提取关键信息,辅助科研写作。

立即免费体验

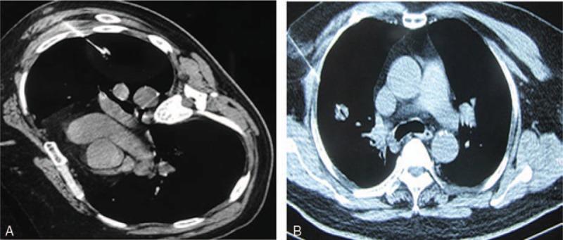
计算机断层扫描引导下经皮穿刺针吸活检术用于直径小于20毫米的孤立性肺结节

Computed tomography-guided percutaneous transthoracic needle biopsy for solitary pulmonary nodules in diameter less than 20 mm.

作者信息

Xu Chunhua, Yuan Qi, Chi Chuanzhen, Zhang Qian, Wang Yuchao, Wang Wei, Yu Like, Zhan Ping, Lin Yong

机构信息

Endoscopic Center of Nanjing Chest Hospital Clinical Center of Nanjing Respiratory Diseases and Imaging Department of Respiratory Medicine, Nanjing Jiangning Hospital, Nanjing, Jiangsu, China.

出版信息

Medicine (Baltimore). 2018 Apr;97(14):e0154. doi: 10.1097/MD.0000000000010154.

DOI:10.1097/MD.0000000000010154
PMID:29620630
原文链接:https://pmc.ncbi.nlm.nih.gov/articles/PMC5902292/
Abstract

To evaluate the diagnostic value of computed tomography (CT)-guided percutaneous lung biopsy for solitary pulmonary nodules (SPN) < 20 mm.A total of 248 patients who were diagnosed a SPN of < 20 mm underwent CT-guided percutaneous transthoracic needle biopsy were reviewed.Specimens of 248 patients were obtained successfully. Around 174 cases were proved to be malignancies and 74 cases of benign lesions by biopsy. About 178 malignancies (71.8%) and 70 benign lesions were proved by surgery and clinical course. The diagnostic accuracy was 96.8%. The diagnostic accuracy of large nodules group (>10 and < 20 mm) was 99.3%, higher than 93.5% of small nodules group (≤10 mm) with statistical significance. The incidence of phenmothorax and hemorrhage was 16.1% and 6.8%, respectively. No death-related complications happened. The incidence of phenmothorax was related to puncture times (P = .013) and the length of puncture needle in lung tissues (P = .019).CT-guided percutaneous lung biopsy for SPN of < 20 mm is an efficient and safe diagnostic method.

摘要

评估计算机断层扫描(CT)引导下经皮肺穿刺活检对直径<20mm的孤立性肺结节(SPN)的诊断价值。回顾性分析248例诊断为直径<20mm的SPN患者接受CT引导下经皮经胸针吸活检的情况。成功获取了248例患者的标本。活检证实174例为恶性病变,74例为良性病变。手术及临床病程证实178例恶性病变(71.8%)和70例良性病变。诊断准确率为96.8%。大结节组(>10且<20mm)的诊断准确率为99.3%,高于小结节组(≤10mm)的93.5%,差异有统计学意义。气胸和出血的发生率分别为16.1%和6.8%。未发生与死亡相关的并发症。气胸的发生率与穿刺次数(P = 0.013)及穿刺针在肺组织中的长度(P = 0.019)有关。CT引导下经皮肺穿刺活检对直径<20mm的SPN是一种高效、安全的诊断方法。

https://cdn.ncbi.nlm.nih.gov/pmc/blobs/4111/5902292/e12b558ef941/medi-97-e0154-g002.jpg
https://cdn.ncbi.nlm.nih.gov/pmc/blobs/4111/5902292/673478aafb63/medi-97-e0154-g001.jpg
https://cdn.ncbi.nlm.nih.gov/pmc/blobs/4111/5902292/e12b558ef941/medi-97-e0154-g002.jpg
https://cdn.ncbi.nlm.nih.gov/pmc/blobs/4111/5902292/673478aafb63/medi-97-e0154-g001.jpg
https://cdn.ncbi.nlm.nih.gov/pmc/blobs/4111/5902292/e12b558ef941/medi-97-e0154-g002.jpg

相似文献

1
Computed tomography-guided percutaneous transthoracic needle biopsy for solitary pulmonary nodules in diameter less than 20 mm.计算机断层扫描引导下经皮穿刺针吸活检术用于直径小于20毫米的孤立性肺结节
Medicine (Baltimore). 2018 Apr;97(14):e0154. doi: 10.1097/MD.0000000000010154.
2
Diagnostic Accuracy of CT-Guided Transthoracic Needle Biopsy for Solitary Pulmonary Nodules.CT引导下经胸针吸活检对孤立性肺结节的诊断准确性
PLoS One. 2015 Jun 25;10(6):e0131373. doi: 10.1371/journal.pone.0131373. eCollection 2015.
3
Efficacy and Safety Analysis of Multislice Spiral CT-Guided Transthoracic Lung Biopsy in the Diagnosis of Pulmonary Nodules of Different Sizes.多层螺旋 CT 引导下经胸肺活检术对不同大小肺结节的诊断效能及安全性分析。
Comput Math Methods Med. 2022 Aug 25;2022:8192832. doi: 10.1155/2022/8192832. eCollection 2022.
4
CT-guided transthoracic needle aspiration biopsy of small (< or = 20 mm) solitary pulmonary nodules.CT引导下经胸针吸活检术用于小(≤20毫米)的孤立性肺结节。
AJR Am J Roentgenol. 2003 Jun;180(6):1665-9. doi: 10.2214/ajr.180.6.1801665.
5
The nodule-pleura relationship affects pneumothorax in CT-guided percutaneous transthoracic needle biopsy: avoiding to cross pleural tail sign may reduce the incidence of pneumothorax.结节-胸膜关系影响 CT 引导下经皮经胸穿刺活检中的气胸:避免穿过胸膜尾征可能会降低气胸的发生率。
BMC Pulm Med. 2024 Oct 7;24(1):490. doi: 10.1186/s12890-024-03307-z.
6
[Clinical role of CT-guided transthoracic needle biopsy in the diagnosis of solitary pulmonary nodules].[CT引导下经胸针吸活检在孤立性肺结节诊断中的临床作用]
Radiol Med. 1998 Apr;95(4):329-37.
7
Clinical application of planar puncture template-assisted computed tomography-guided percutaneous biopsy for small pulmonary nodules.平板穿刺模板辅助计算机断层扫描引导下经皮肺穿刺活检在小肺结节中的临床应用
J Cancer Res Ther. 2018;14(7):1632-1637. doi: 10.4103/jcrt.JCRT_1017_17.
8
Transthoracic CT-guided biopsy with multiplanar reconstruction image improves diagnostic accuracy of solitary pulmonary nodules.经胸CT引导下活检联合多平面重建图像可提高孤立性肺结节的诊断准确性。
Eur J Radiol. 2004 Aug;51(2):160-8. doi: 10.1016/S0720-048X(03)00216-X.
9
Computed tomography-guided biopsy for sub-centimetre lung nodules: Technical success and diagnostic accuracy.计算机断层扫描引导下的亚厘米肺结节活检:技术成功率和诊断准确性。
Clin Respir J. 2020 Jul;14(7):605-610. doi: 10.1111/crj.13172. Epub 2020 Feb 28.
10
Computed tomography-guided percutaneous cutting needle biopsy for small (≤ 20 mm) lung nodules.计算机断层扫描引导下经皮切割针活检用于小(≤20毫米)肺结节
Medicine (Baltimore). 2017 Nov;96(46):e8703. doi: 10.1097/MD.0000000000008703.

引用本文的文献

1
Systematic review and meta-analysis of low-dose CT-driven biopsy for pulmonary nodules.低剂量CT引导下肺结节活检的系统评价与Meta分析
Wideochir Inne Tech Maloinwazyjne. 2023 Dec;18(4):603-611. doi: 10.5114/wiitm.2023.131563. Epub 2023 Sep 25.
2
Computed Tomography-Guıded Tru-Cut Bıopsy in the Dıagnosıs of Lung Lesıons; Our Clınıcal Experience.计算机断层扫描引导经皮肺穿刺活检在肺部病变诊断中的应用:我们的临床经验。
Asian Pac J Cancer Prev. 2023 Sep 1;24(9):3059-3064. doi: 10.31557/APJCP.2023.24.9.3059.
3
Combined measurement of circulating tumor cell counts and serum tumor marker levels enhances the screening efficiency for malignant versus benign pulmonary nodules.

本文引用的文献

1
Complication rates of CT-guided transthoracic lung biopsy: meta-analysis.CT引导下经胸肺活检的并发症发生率:荟萃分析
Eur Radiol. 2017 Jan;27(1):138-148. doi: 10.1007/s00330-016-4357-8. Epub 2016 Apr 23.
2
Evaluation of the Solitary Pulmonary Nodule.孤立性肺结节的评估
Am Fam Physician. 2015 Dec 15;92(12):1084-91.
3
The Solitary Pulmonary Nodule.孤立性肺结节
联合检测循环肿瘤细胞计数和血清肿瘤标志物水平可提高良恶性肺结节的筛查效率。
Thorac Cancer. 2022 Dec;13(23):3393-3401. doi: 10.1111/1759-7714.14702. Epub 2022 Oct 25.
4
Efficacy and Safety Analysis of Multislice Spiral CT-Guided Transthoracic Lung Biopsy in the Diagnosis of Pulmonary Nodules of Different Sizes.多层螺旋 CT 引导下经胸肺活检术对不同大小肺结节的诊断效能及安全性分析。
Comput Math Methods Med. 2022 Aug 25;2022:8192832. doi: 10.1155/2022/8192832. eCollection 2022.
5
Transthoracic lung biopsy for pulmonary nodules ≤20 mm in routine clinical care.常规临床护理中对直径≤20 mm的肺结节进行经胸肺活检。
ERJ Open Res. 2022 Jan 24;8(1). doi: 10.1183/23120541.00562-2021. eCollection 2022 Jan.
6
Complications and diagnostic accuracy of CT-guided 18G tru-cut versus end-cut percutaneous core needle biopsy of solitary solid lung nodules.CT 引导下 18G tru-cut 与 end-cut 经皮核心针活检孤立性实性肺结节的并发症和诊断准确性。
Diagn Interv Radiol. 2022 Jan;28(1):58-64. doi: 10.5152/DIR.2021.20462.
7
Diagnostic Value of Virtual Bronchoscopic Navigation Combined With Endobronchial Ultrasound Guided Transbronchial Lung Biopsy for Peripheral Pulmonary Lesions.虚拟支气管镜导航联合支气管内超声引导经支气管肺活检对周围性肺部病变的诊断价值。
Technol Cancer Res Treat. 2021 Jan-Dec;20:1533033821989992. doi: 10.1177/1533033821989992.
Respiration. 2015;90(2):160-72. doi: 10.1159/000430996. Epub 2015 Jun 26.
4
Diagnostic Accuracy of CT-Guided Transthoracic Needle Biopsy for Solitary Pulmonary Nodules.CT引导下经胸针吸活检对孤立性肺结节的诊断准确性
PLoS One. 2015 Jun 25;10(6):e0131373. doi: 10.1371/journal.pone.0131373. eCollection 2015.
5
Early diagnosis of solitary pulmonary nodules.孤立性肺结节的早期诊断
J Thorac Dis. 2013 Dec;5(6):830-40. doi: 10.3978/j.issn.2072-1439.2013.11.19.
6
Percutaneous transthoracic CT guided biopsies of lung lesions; fine needle aspiration biopsy versus core biopsy.经皮经胸 CT 引导下肺病变活检;细针抽吸活检与核心活检。
Radiol Oncol. 2012 Mar;46(1):19-22. doi: 10.2478/v10019-012-0004-4. Epub 2012 Jan 2.
7
Investigating the solitary pulmonary nodule.孤立性肺结节的研究
BMJ. 2012 Apr 19;344:e2759. doi: 10.1136/bmj.e2759.
8
Lung cancer screening.肺癌筛查
J Natl Compr Canc Netw. 2012 Feb;10(2):240-65. doi: 10.6004/jnccn.2012.0022.
9
Prospective randomised trial of endobronchial ultrasound-guide sheath versus computed tomography-guided percutaneous core biopsies for peripheral lung lesions.经支气管超声引导鞘与 CT 引导经皮肺穿刺活检术用于周围型肺部病变的前瞻性随机对照研究。
Intern Med J. 2012 Aug;42(8):894-900. doi: 10.1111/j.1445-5994.2011.02707.x.
10
Management of lung nodules detected by volume CT scanning.容积CT扫描检测出的肺结节的管理
N Engl J Med. 2010 Feb 25;362(8):757-8; author reply 758-9.