Suppr超能文献

后叶发育不全或缺失:成人二尖瓣罕见的先天性异常——病例系列

Hypoplasia or Absence of Posterior Leaflet: A Rare Congenital Anomaly of The Mitral Valve in Adulthood - Case Series.

作者信息

Parato Vito Maurizio, Masia Stefano Lucio

机构信息

Cardiology Unit of Emergency Department, Madonna Del Soccorso Hospital, San Benedetto Del Tronto, Sassari, Italy.

Cardiac Rehabilitation Unit, SS. Annunziata University Hospital, Sassari, Italy.

出版信息

J Cardiovasc Echogr. 2018 Jan-Mar;28(1):45-47. doi: 10.4103/jcecho.jcecho_73_17.

Abstract

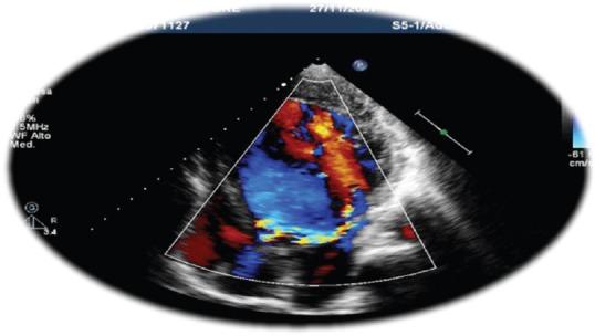
We present a case series of two adult patients with almost complete absence of the posterior mitral valve leaflet and who are asymptomatic or mildly symptomatic, with two different degrees of mitral regurgitation.

摘要

我们报告了一系列两个成年患者的病例,他们几乎完全没有二尖瓣后叶,且无症状或仅有轻微症状,伴有两种不同程度的二尖瓣反流。

https://cdn.ncbi.nlm.nih.gov/pmc/blobs/a03d/5875135/52996e415531/JCE-28-45-g001.jpg

文献检索

告别复杂PubMed语法,用中文像聊天一样搜索,搜遍4000万医学文献。AI智能推荐,让科研检索更轻松。

立即免费搜索

文件翻译

保留排版,准确专业,支持PDF/Word/PPT等文件格式,支持 12+语言互译。

免费翻译文档

深度研究

AI帮你快速写综述,25分钟生成高质量综述,智能提取关键信息,辅助科研写作。

立即免费体验