Suppr超能文献

绵羊子宫中一种独特淋巴细胞亚群的鉴定。

Identification of a unique lymphocyte subpopulation in the sheep uterus.

作者信息

Lee C S, Gogolin-Ewens K, Brandon M R

机构信息

Department of Veterinary Preclinical Sciences, University of Melbourne, Parkville, Victoria, Australia.

出版信息

Immunology. 1988 Jan;63(1):157-64.

Abstract

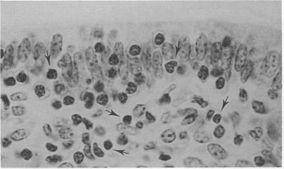
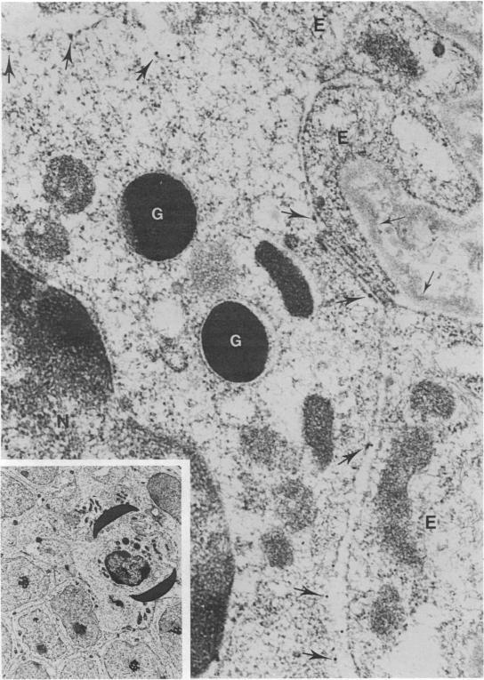
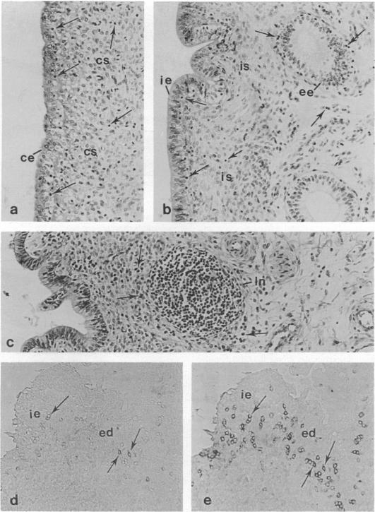
A panel of monoclonal antibodies was used to define the lymphocyte subpopulations in the sheep uterus at various stages of the oestrous cycle. A striking finding was that the majority of lymphocytes in the uterine and endometrial glandular epithelia belonged to a unique lymphocyte subpopulation that expressed the CD45R antigen but was negative for major histocompatibility complex (MHC) class II molecules and expressed low or undetectable levels of the CD5 antigen. When examined under the electron microscope using the immunogold technique, the CD45R+ lymphocytes were found to have one to three membrane-bound granules in their cytoplasm. Other lymphocyte subpopulations found in the uterus at various stages of the oestrous cycle were localized mainly in the caruncular and intercaruncular stroma. The unique CD45R+ granular lymphocyte subpopulation may be equivalent to the 'natural killer' cells reported in mouse and man, and may have an important role in local immunity of the female reproductive tract.

摘要

一组单克隆抗体被用于确定发情周期不同阶段绵羊子宫中的淋巴细胞亚群。一个显著的发现是,子宫和子宫内膜腺上皮中的大多数淋巴细胞属于一个独特的淋巴细胞亚群,该亚群表达CD45R抗原,但主要组织相容性复合体(MHC)II类分子呈阴性,且CD5抗原表达水平低或检测不到。当使用免疫金技术在电子显微镜下检查时,发现CD45R+淋巴细胞的细胞质中有一到三个膜结合颗粒。在发情周期不同阶段子宫中发现的其他淋巴细胞亚群主要位于肉阜和肉阜间基质中。独特的CD45R+颗粒淋巴细胞亚群可能等同于在小鼠和人类中报道的“自然杀伤”细胞,并且可能在女性生殖道的局部免疫中发挥重要作用。

https://cdn.ncbi.nlm.nih.gov/pmc/blobs/dd7c/1454691/fff8a4ce302d/immunology00158-0154-a.jpg

文献检索

告别复杂PubMed语法,用中文像聊天一样搜索,搜遍4000万医学文献。AI智能推荐,让科研检索更轻松。

立即免费搜索

文件翻译

保留排版,准确专业,支持PDF/Word/PPT等文件格式,支持 12+语言互译。

免费翻译文档

深度研究

AI帮你快速写综述,25分钟生成高质量综述,智能提取关键信息,辅助科研写作。

立即免费体验