• 文献检索
  • 文档翻译
  • 深度研究
  • 学术资讯
  • Suppr Zotero 插件Zotero 插件
  • 邀请有礼
  • 套餐&价格
  • 历史记录
应用&插件
Suppr Zotero 插件Zotero 插件浏览器插件Mac 客户端Windows 客户端微信小程序
定价
高级版会员购买积分包购买API积分包
服务
文献检索文档翻译深度研究API 文档MCP 服务
关于我们
关于 Suppr公司介绍联系我们用户协议隐私条款
关注我们

Suppr 超能文献

核心技术专利:CN118964589B侵权必究
粤ICP备2023148730 号-1Suppr @ 2026

文献检索

告别复杂PubMed语法,用中文像聊天一样搜索,搜遍4000万医学文献。AI智能推荐,让科研检索更轻松。

立即免费搜索

文件翻译

保留排版,准确专业,支持PDF/Word/PPT等文件格式,支持 12+语言互译。

免费翻译文档

深度研究

AI帮你快速写综述,25分钟生成高质量综述,智能提取关键信息,辅助科研写作。

立即免费体验

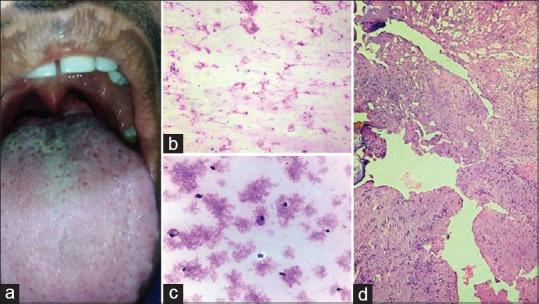
Cystic Schwannoma of Tongue Masquerading as Mucocele: A Cytological Pitfall.

作者信息

Nair Vivek, Dey Biswajit, Deshpande Archana H, Nigam Jitendra S

机构信息

Department of Pathology, Andaman and Nicobar Islands Institute of Medical Sciences, Port Blair, India.

出版信息

J Cytol. 2018 Apr-Jun;35(2):125-126. doi: 10.4103/JOC.JOC_50_17.

DOI:10.4103/JOC.JOC_50_17
PMID:29643663
原文链接:https://pmc.ncbi.nlm.nih.gov/articles/PMC5885602/
Abstract
摘要
https://cdn.ncbi.nlm.nih.gov/pmc/blobs/0ea6/5885602/6603c9761d5b/JCytol-35-125-g001.jpg
https://cdn.ncbi.nlm.nih.gov/pmc/blobs/0ea6/5885602/6603c9761d5b/JCytol-35-125-g001.jpg
https://cdn.ncbi.nlm.nih.gov/pmc/blobs/0ea6/5885602/6603c9761d5b/JCytol-35-125-g001.jpg

相似文献

1
Cystic Schwannoma of Tongue Masquerading as Mucocele: A Cytological Pitfall.伪装成黏液囊肿的舌部囊性施万瘤:细胞学诊断陷阱
J Cytol. 2018 Apr-Jun;35(2):125-126. doi: 10.4103/JOC.JOC_50_17.
2
[Congenital mucocele of the ventral face of the tongue].[先天性舌腹黏液囊肿]
Arch Pediatr. 2016 Mar;23(3):287-91. doi: 10.1016/j.arcped.2015.12.018. Epub 2016 Feb 2.
3
Atypical presentation of cystic schwannoma of the sphenoid sinus: a nonsolitary mass with osseous, intracranial and cavernous sinus invasion.蝶窦囊性神经鞘瘤的非典型表现:一种侵犯骨质、颅内及海绵窦的非孤立性肿块。
Pan Afr Med J. 2018 Dec 19;31:233. doi: 10.11604/pamj.2018.31.233.16515. eCollection 2018.
4
Congenital mucocele of the tongue: a case report and review of the literature.先天性舌黏液囊肿:一例报告并文献复习
Turk J Pediatr. 2014 Mar-Apr;56(2):199-202.
5
Intraparotid Schwannoma Masquerading as Primary Spindle Cell Tumour of Parotid: A Diagnostic Pitfall.腮腺内伪装成腮腺原发性梭形细胞瘤的施万瘤:诊断陷阱
J Cytol. 2017 Oct-Dec;34(4):221-223. doi: 10.4103/JOC.JOC_147_15.
6
Fine-needle aspiration cytology of mucous retention cyst of the tongue: distinction from other cystic lesions of the tongue.
Diagn Cytopathol. 2000 May;22(5):308-12. doi: 10.1002/(sici)1097-0339(200005)22:5<308::aid-dc10>3.0.co;2-h.
7
Ethmoidal air cell schwannoma presented as a fronto-ethmoidal mucocele.筛窦气房神经鞘瘤表现为额筛窦黏液囊肿。
Orbit. 2013 Jun;32(3):187-9. doi: 10.3109/01676830.2013.771678. Epub 2013 Mar 12.
8
Cytological features of the cystic fluid of pancreatic schwannoma with cystic degeneration. A case report.胰腺神经鞘瘤囊性变囊液的细胞学特征。病例报告。
JOP. 2008 Mar 8;9(2):203-8.
9
Middle turbinate primary mucocele in a child masquerading as a nasal tumour.
B-ENT. 2016 Aug;12(2):159-163.
10
Mucoceles of the anterior ventral surface of the tongue and the glands of Blandin-Nuhn: 5 cases.舌前腹面黏液囊肿和 Blandin-Nuhn 腺:5 例。
J Stomatol Oral Maxillofac Surg. 2019 Dec;120(6):509-512. doi: 10.1016/j.jormas.2019.04.005. Epub 2019 Apr 11.

引用本文的文献

1
The Diagnostic Considerations and Clinical Management of Lower Lip Swellings in Adolescents: A Narrative Review.青少年下唇肿胀的诊断考量与临床处理:一项叙述性综述
Cureus. 2024 Oct 17;16(10):e71707. doi: 10.7759/cureus.71707. eCollection 2024 Oct.
2
Mucocele of the Lower Lip and Its Surgical Management.下唇黏液囊肿及其手术治疗
Cureus. 2024 Oct 5;16(10):e70874. doi: 10.7759/cureus.70874. eCollection 2024 Oct.
3
A subcutaneous firm nodule on scrotal skin: Cytological considerations.阴囊皮肤的皮下实性结节:细胞学考量

本文引用的文献

1
A case of cystic schwannoma in the neck masquerading as branchial cleft cyst.一例颈部囊性神经鞘瘤伪装成鳃裂囊肿。
Rare Tumors. 2014 Aug 4;6(3):5355. doi: 10.4081/rt.2014.5355. eCollection 2014 Jul 30.
2
Cystic schwannoma in neck: fallacious diagnosis arrived on fine needle aspiration cytology.颈部囊性神经鞘瘤:细针穿刺细胞学检查出现误诊。
Diagn Cytopathol. 2011 Nov;39(11):866-7. doi: 10.1002/dc.21565. Epub 2010 Oct 26.
3
Midline cystic lesion of the floor of the mouth.口腔底部中线囊性病变。
Cytojournal. 2022 Jul 16;19:46. doi: 10.25259/Cytojournal_27_2021. eCollection 2022.
4
Schwannoma of the uterine cervix: a rare case report.子宫颈神经鞘瘤:一例罕见病例报告。
Obstet Gynecol Sci. 2019 Mar;62(2):134-137. doi: 10.5468/ogs.2019.62.2.134. Epub 2019 Jan 28.
J Oral Maxillofac Surg. 1998 Jan;56(1):70-4. doi: 10.1016/s0278-2391(98)90919-3.