• 文献检索
  • 文档翻译
  • 深度研究
  • 学术资讯
  • Suppr Zotero 插件Zotero 插件
  • 邀请有礼
  • 套餐&价格
  • 历史记录
应用&插件
Suppr Zotero 插件Zotero 插件浏览器插件Mac 客户端Windows 客户端微信小程序
定价
高级版会员购买积分包购买API积分包
服务
文献检索文档翻译深度研究API 文档MCP 服务
关于我们
关于 Suppr公司介绍联系我们用户协议隐私条款
关注我们

Suppr 超能文献

核心技术专利:CN118964589B侵权必究
粤ICP备2023148730 号-1Suppr @ 2026

文献检索

告别复杂PubMed语法,用中文像聊天一样搜索,搜遍4000万医学文献。AI智能推荐,让科研检索更轻松。

立即免费搜索

文件翻译

保留排版,准确专业,支持PDF/Word/PPT等文件格式,支持 12+语言互译。

免费翻译文档

深度研究

AI帮你快速写综述,25分钟生成高质量综述,智能提取关键信息,辅助科研写作。

立即免费体验

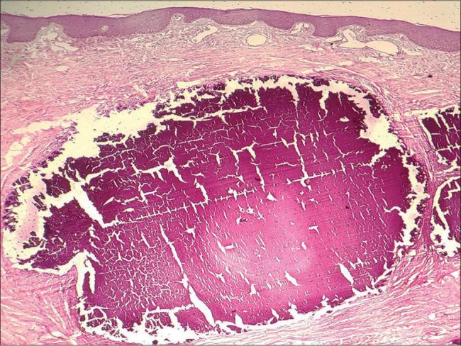
A subcutaneous firm nodule on scrotal skin: Cytological considerations.

作者信息

Dey Biswajit, Pathology M D, Nigam Jitendra Singh, Pathology M D, Singh Ashok, Pathology M D, Bharti Jyotsna Naresh, Pathology M D, Pathology Dnb

机构信息

Department of Pathology, North Eastern Indira Gandhi Regional Institute of Health and Medical Sciences, Shillong, Meghalaya, India.

Department of Pathology and Lab Medicine, All India Institute of Medical Sciences, Bibinagar, Telangana, India.

出版信息

Cytojournal. 2022 Jul 16;19:46. doi: 10.25259/Cytojournal_27_2021. eCollection 2022.

DOI:10.25259/Cytojournal_27_2021
PMID:35928532
原文链接:https://pmc.ncbi.nlm.nih.gov/articles/PMC9345097/
Abstract
摘要
https://cdn.ncbi.nlm.nih.gov/pmc/blobs/2486/9345097/a5098e405fec/Cytojournal-19-46-g002.jpg
https://cdn.ncbi.nlm.nih.gov/pmc/blobs/2486/9345097/bc5b5907801f/Cytojournal-19-46-g001.jpg
https://cdn.ncbi.nlm.nih.gov/pmc/blobs/2486/9345097/a5098e405fec/Cytojournal-19-46-g002.jpg
https://cdn.ncbi.nlm.nih.gov/pmc/blobs/2486/9345097/bc5b5907801f/Cytojournal-19-46-g001.jpg
https://cdn.ncbi.nlm.nih.gov/pmc/blobs/2486/9345097/a5098e405fec/Cytojournal-19-46-g002.jpg

相似文献

1
A subcutaneous firm nodule on scrotal skin: Cytological considerations.阴囊皮肤的皮下实性结节:细胞学考量
Cytojournal. 2022 Jul 16;19:46. doi: 10.25259/Cytojournal_27_2021. eCollection 2022.
2
Scrotal tumors.阴囊肿瘤。
Arch Esp Urol. 2016 Mar;69(2):86-9.
3
Pilomatrixoma - Presented as Hypopigmented Tender Nodule: Diagnosed by FNAC: A Case Report with Review of Literature.毛母质瘤——表现为色素减退性压痛性结节:经细针穿刺抽吸活检确诊:1例病例报告并文献复习
Indian J Dermatol. 2013 Sep;58(5):405. doi: 10.4103/0019-5154.117312.
4
Idiopathic Scrotal Calcinosis: A Case Report and Review of Postoperative Outcomes.特发性阴囊钙化症:一例报告及术后结果回顾
Case Rep Urol. 2020 Sep 14;2020:8877695. doi: 10.1155/2020/8877695. eCollection 2020.
5
Scrotal skin nodule: sebaceous cyst or tuberculosis? A lesson learnt!阴囊皮肤结节:皮脂腺囊肿还是结核?一个经验教训!
Trop Doct. 2018 Jul;48(3):240-242. doi: 10.1177/0049475518768957. Epub 2018 Apr 13.
6
Scrotal subcutaneous temperature is increased by scrotal insulation or whole-body heating, but not by scrotal neck insulation; however, all three heat-stress models decrease sperm quality in bulls and rams.阴囊皮下温度会因阴囊隔热或全身加热而升高,但不会因阴囊颈部隔热而升高;然而,所有这三种热应激模型都会降低公牛和公羊的精子质量。
J Therm Biol. 2021 Aug;100:103064. doi: 10.1016/j.jtherbio.2021.103064. Epub 2021 Aug 2.
7
Cytomorphology of Skin Adnexal Tumors: A Tale of Two Scalp Swellings.皮肤附属器肿瘤的细胞形态学:两个头皮肿物的故事
J Cytol. 2018 Jan-Mar;35(1):60-62. doi: 10.4103/0970-9371.223594.
8
Cytology of a subcutaneous nodule on hand: A rare case.手部皮下结节的细胞学检查:1例罕见病例。
Cytopathology. 2022 Mar;33(2):273-275. doi: 10.1111/cyt.13033. Epub 2021 Jul 27.
9
Changes in both size and cytological features of thyroid nodule after levothyroxine treatment.左甲状腺素治疗后甲状腺结节大小及细胞学特征的变化。
Clin Endocrinol (Oxf). 2003 Sep;59(3):347-53. doi: 10.1046/j.1365-2265.2003.01854.x.
10
Solitary skin metastasis of papillary thyroid carcinoma.甲状腺乳头状癌孤立性皮肤转移。
Endocrinol Metab (Seoul). 2014 Dec 29;29(4):579-83. doi: 10.3803/EnM.2014.29.4.579. Epub 2014 May 27.

本文引用的文献

1
Cystic Schwannoma of Tongue Masquerading as Mucocele: A Cytological Pitfall.伪装成黏液囊肿的舌部囊性施万瘤:细胞学诊断陷阱
J Cytol. 2018 Apr-Jun;35(2):125-126. doi: 10.4103/JOC.JOC_50_17.
2
Idiopathic scrotal calcinosis diagnosed by fine needle aspiration cytology-Report of a rare case.经细针穿刺细胞学诊断的特发性阴囊钙质沉着症——1例罕见病例报告
Diagn Cytopathol. 2017 Oct;45(10):922-924. doi: 10.1002/dc.23757. Epub 2017 Jun 11.
3
Fine-needle aspiration cytology of pilomatrixoma: A short series of three cases.毛母质瘤的细针穿刺细胞学检查:三例短系列病例
Cytojournal. 2014 Nov 14;11:30. doi: 10.4103/1742-6413.144689. eCollection 2014.
4
Idiopathic scrotal calcinosis: A rare entity and a review of the literature.特发性阴囊钙质沉着症:一种罕见病症及文献综述
Can Urol Assoc J. 2013 May-Jun;7(5-6):E439-41. doi: 10.5489/cuaj.1387.
5
Idiopathic scrotal calcinosis: Is cytological diagnosis enough?特发性阴囊钙化症:细胞学诊断足够吗?
Indian Dermatol Online J. 2013 Jan;4(1):58-9. doi: 10.4103/2229-5178.105490.
6
Scrotal calcinosis: a case report and review of pathogenesis and surgical management.阴囊钙质沉着症:一例病例报告及发病机制与手术治疗综述
Case Rep Urol. 2012;2012:475246. doi: 10.1155/2012/475246. Epub 2012 Jul 22.
7
Scrotal calcinosis: idiopathic or dystrophic?阴囊钙质沉着症:特发性还是营养不良性?
Dermatol Online J. 2010 Feb 15;16(2):5.
8
Cytologic features of idiopathic scrotal calcinosis.特发性阴囊钙化症的细胞学特征。
Acta Cytol. 2003 Jan-Feb;47(1):110-1.
9
Cytologic-pathologic correlations: fine needle aspiration of three cases of steatocystoma multiplex.细胞学与病理学相关性:3例多发性皮脂囊肿的细针穿刺抽吸
Ann Diagn Pathol. 1998 Oct;2(5):318-20. doi: 10.1016/s1092-9134(98)80025-7.