Suppr超能文献

Massive chronic irreducible rectal prolapse successfully treated with Altemeier's procedure.

作者信息

Koizumi Noriaki, Kobayashi Hiroki, Fukumoto Kanehisa

机构信息

Department of Surgery, Nishijin Hospital, Kamigyo-ku, Kyoto 602-8319, Japan.

出版信息

J Surg Case Rep. 2018 Apr 3;2018(4):rjy064. doi: 10.1093/jscr/rjy064. eCollection 2018 Apr.

Abstract

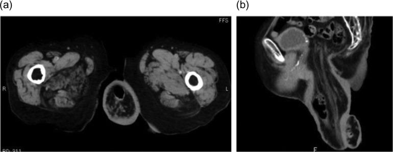
The guideline for the treatment of rectal prolapse recommends that surgeons select appropriate surgical procedures individually based on each patient's overall status. However, in cases of irreducible or incarcerated rectal prolapse, surgical options are quite limited. Here we present a case of an elderly woman with massive chronic irreducible rectal prolapse. An 87-year-old woman presented to our hospital with a complaint of massive rectal prolapse. The prolapsed rectum was over 20 cm long, and completely irreducible. She underwent perineal rectosigmoidectomy with levatorplasty known as Altemeier's procedure. More than 30 cm of rectosigmoid colon was resected. After the operation, rectal prolapse was resolved completely. Her postoperative course was uneventful, and her quality of life and bowel movements improved. She has since been healthy without recurrence for over 2 years. Altemeier's procedure is applicable even in cases of irreducible rectal prolapse and features acceptable safety and a satisfactory outcome.

摘要
https://cdn.ncbi.nlm.nih.gov/pmc/blobs/704c/5888366/5fefdbe2f5b0/rjy064f01.jpg

文献检索

告别复杂PubMed语法,用中文像聊天一样搜索,搜遍4000万医学文献。AI智能推荐,让科研检索更轻松。

立即免费搜索

文件翻译

保留排版,准确专业,支持PDF/Word/PPT等文件格式,支持 12+语言互译。

免费翻译文档

深度研究

AI帮你快速写综述,25分钟生成高质量综述,智能提取关键信息,辅助科研写作。

立即免费体验