Suppr超能文献

基因状态与人类结直肠癌中羧酸酯酶 2 表达的关系。

The Relationship between Gene Status and Carboxylesterase 2 Expression in Human Colorectal Cancer.

机构信息

Department of Biochemistry, Juntendo University School of Medicine, Tokyo, Japan.

Division of Human Genetics, National Institute of Genetics, Shizuoka, Japan.

出版信息

Dis Markers. 2018 Jan 31;2018:5280736. doi: 10.1155/2018/5280736. eCollection 2018.

Abstract

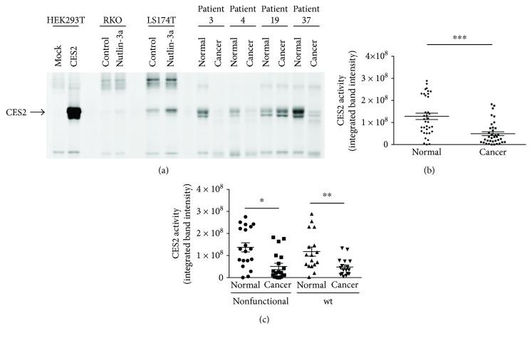
Irinotecan (CPT-11) is an anticancer prodrug that is activated by the carboxylesterase CES2 and has been approved for the treatment of many types of solid tumors, including colorectal cancer. Recent studies with cell lines show that CES2 expression is regulated by the tumor suppressor protein p53. However, clinical evidence for this regulatory mechanism in cancer is lacking. In this study, we examined the relationship between gene status and CES2 expression in human colorectal cancer. Most colorectal cancer specimens (70%; 26 of 37) showed lower CES2 mRNA levels (≥1.5-fold lower) than the adjacent normal tissue, and only 30% (12 of 37) showed similar (<1.5-fold lower) or higher CES2 mRNA levels. However, gene sequencing revealed no relationship between CES2 downregulation and mutational status. Moreover, while colorectal cancer cells expressing wild-type p53 exhibited p53-dependent upregulation of CES2, PRIMA-1, a drug that restores the transcriptional activity of mutant p53, failed to upregulate CES2 expression in cells with missense mutations. These results, taken together, suggest that CES2 mRNA expression is decreased in human colorectal cancer independently of p53.

摘要

伊立替康(CPT-11)是一种抗癌前体药物,可被羧酸酯酶 CES2 激活,已被批准用于治疗多种实体瘤,包括结直肠癌。最近的细胞系研究表明,CES2 的表达受肿瘤抑制蛋白 p53 调节。然而,癌症中这种调节机制的临床证据尚缺乏。在这项研究中,我们研究了人类结直肠癌中 基因状态与 CES2 表达之间的关系。大多数结直肠癌标本(70%;37 例中的 26 例)的 CES2 mRNA 水平(低≥1.5 倍)低于相邻正常组织,只有 30%(37 例中的 12 例)的 CES2 mRNA 水平相似(低 1.5 倍)或更高。然而,基因测序显示 CES2 下调与 突变状态之间没有关系。此外,尽管表达野生型 p53 的结直肠癌细胞表现出 p53 依赖性 CES2 上调,但 PRIMA-1,一种恢复突变型 p53 转录活性的药物,未能上调具有错义突变的细胞中 CES2 的表达。这些结果表明,人类结直肠癌中 CES2 mRNA 的表达降低独立于 p53。

https://cdn.ncbi.nlm.nih.gov/pmc/blobs/dc7b/5831679/b8f4389af397/DM2018-5280736.001.jpg

文献AI研究员

20分钟写一篇综述,助力文献阅读效率提升50倍。

立即体验

用中文搜PubMed

大模型驱动的PubMed中文搜索引擎

马上搜索

文档翻译

学术文献翻译模型,支持多种主流文档格式。

立即体验