Bech Niels Hendrik, Haverkamp Daniel
Slotervaart Center of Research and Education, The Netherlands.
EFORT Open Rev. 2018 Feb 21;3(2):30-38. doi: 10.1302/2058-5241.3.160068. eCollection 2018 Feb.
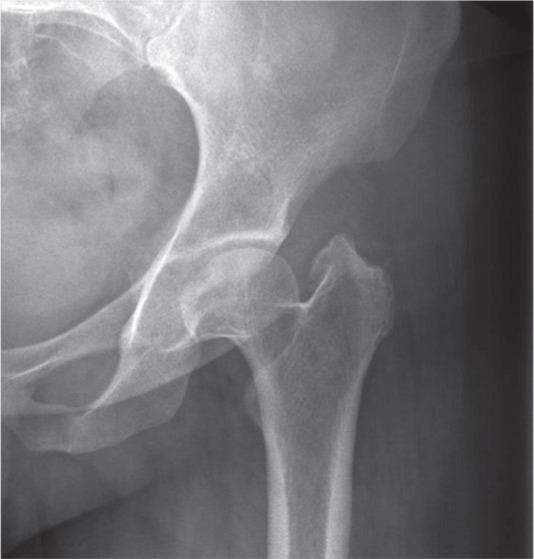
In this review, we bring to the attention of the reader three relatively unknown types of hip impingement. We explain the concept of low anterior inferior iliac spine (AIIS) impingement, also known as sub-spine impingement, ischio-femoral impingement (IFI) and pelvi-trochanteric impingement. For each type of impingement, we performed a search of relevant literature.We searched the PubMed, Medline (Ovid) and Embase databases from 1960 to March 2016. For each different type of impingement, a different search strategy was conducted.In total, 19 studies were included and described. No data analysis was performed since there was not much comparable data between studies.An overview of symptoms, clinical tests and possible surgical treatment options for the three different types of extra-articular impingement is provided.Several disorders around the hip can cause similar complaints. Therefore, we plead for a standardized classification. In young and athletic patients, in particular, there is much to gain if hip impingement is diagnosed early. Cite this article: 2018;3:30-38. DOI: 10.1302/2058-5241.3.160068.
在本综述中,我们提请读者注意三种相对不为人知的髋关节撞击类型。我们解释了低位髂前下棘(AIIS)撞击的概念,也称为棘下撞击、坐骨股骨撞击(IFI)和骨盆转子撞击。对于每种撞击类型,我们都检索了相关文献。我们检索了1960年至2016年3月的PubMed、Medline(Ovid)和Embase数据库。对于每种不同类型的撞击,采用了不同的检索策略。总共纳入并描述了19项研究。由于各研究之间没有太多可比较的数据,因此未进行数据分析。本文提供了三种不同类型关节外撞击的症状、临床检查及可能的手术治疗选择概述。髋关节周围的几种病症可能会引起类似的症状。因此,我们呼吁进行标准化分类。特别是在年轻的运动患者中,如果能早期诊断出髋关节撞击,将会大有裨益。引用本文:2018;3:30 - 38。DOI:10.1302/2058 - 5241.3.160068。