Suppr超能文献

儿童脑静脉窦血栓形成的罕见表现

Rare Presentation of Cerebral Venous Sinus Thrombosis in a Child.

作者信息

Taksande Amar, Meshram Rewat, Yadav Purnima, Lohakare Amol

机构信息

Department of Pediatrics, Jawaharlal Nehru Medical College, Sawangi Meghe, Wardha, Maharashtra, India.

出版信息

J Pediatr Neurosci. 2017 Oct-Dec;12(4):389-392. doi: 10.4103/jpn.JPN_109_17.

Abstract

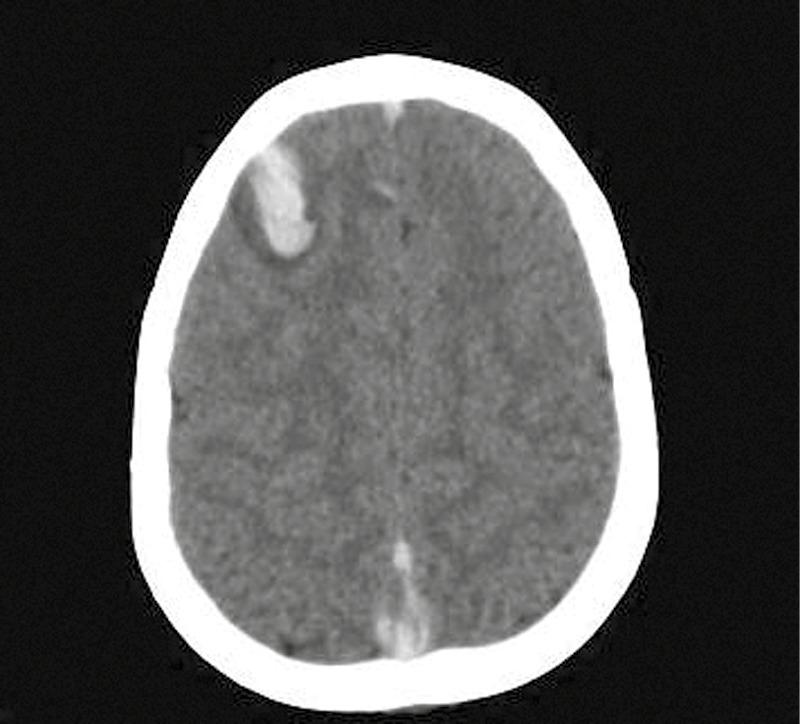
Cerebral venous sinus thrombosis (CVST) is a critical condition with significant morbidity and mortality. It primarily affects the young and healthy. CVST presents a diagnostic challenge due to its varied presentation patterns. We report the case of a 11-year-old boy diagnosed with CVST after presenting with a long history of continuous headache. He improved following anticoagulation therapy. Despite thorough investigation, no discernible underlying cause could be identified.

摘要

脑静脉窦血栓形成(CVST)是一种具有较高发病率和死亡率的严重疾病。它主要影响年轻人和健康人群。由于其临床表现多样,CVST在诊断上具有挑战性。我们报告了一例11岁男孩的病例,该男孩在出现长期持续性头痛后被诊断为CVST。抗凝治疗后病情有所改善。尽管进行了全面检查,但未发现明显的潜在病因。

https://cdn.ncbi.nlm.nih.gov/pmc/blobs/a604/5890567/b50dc51d0941/JPN-12-389-g001.jpg

文献检索

告别复杂PubMed语法,用中文像聊天一样搜索,搜遍4000万医学文献。AI智能推荐,让科研检索更轻松。

立即免费搜索

文件翻译

保留排版,准确专业,支持PDF/Word/PPT等文件格式,支持 12+语言互译。

免费翻译文档

深度研究

AI帮你快速写综述,25分钟生成高质量综述,智能提取关键信息,辅助科研写作。

立即免费体验