Suppr超能文献

DNA 修复蛋白 XPA 在结直肠癌中表达差异,并预测更好的预后。

DNA repair protein XPA is differentially expressed in colorectal cancer and predicts better prognosis.

机构信息

Tumor Etiology and Screening Department of Cancer Institute and General Surgery, The First Hospital of China Medical University, Shenyang, 110001, China.

Liaoning Provincial Education Department, Key Laboratory of Cancer Etiology and Prevention, China Medical University, Shenyang, 110001, China.

出版信息

Cancer Med. 2018 Jun;7(6):2339-2349. doi: 10.1002/cam4.1480. Epub 2018 Apr 19.

Abstract

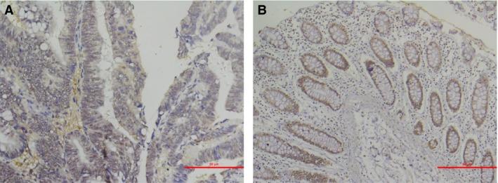
As an indispensable factor in DNA damage recognition step of nucleotide excision repair, XPA interacts with a series of proteins to initiate repair process. The expression characteristics of XPA in colorectal cancer (CRC) and its influence on CRC prognosis remain elusive. Tissue specimens of CRC and nontumor adjacent tissues from 283 patients were collected. XPA protein expressions were detected by immunohistochemistry staining. Nonparametric test was used to investigate the difference of XPA expression between CRC and nontumor adjacent tissues, as well as the correlation between XPA expression and clinicopathological parameters of CRC. Univariate and multivariate Cox proportional hazards models were applied to estimate the relationship between XPA expression and CRC prognosis. Meanwhile, we analyzed TCGA data to investigate the relation between XPA mRNA expression and survival of CRC. XPA protein expression was significantly decreased in CRC tissues compared with nontumor adjacent tissues (P = 0.001). Subgroup analysis indicated consistently significant down-regulation of XPA in CRC tissues in age > 60 (P = 0.026), age ≤ 60 (P = 0.008), colon cancer (P = 0.009), and rectal cancer (P = 0.015) patients and males (P = 0.004). For clinicopathological parameters, CRC patients with drinking habits revealed XPA overexpression than nondrinkers (P = 0.032). For prognosis, CRC patients with high XPA protein expression had longer overall survival (OS) (HR = 0.62, 95%CI: 0.39-0.97, P = 0.037). Stratified analysis suggested a better prognosis in relation to high XPA protein expression in patients over 60 years (adjusted HR = 0.48, P = 0.021), with rectal cancer (HR = 0.56, P = 0.037), without distant metastasis (HR = 0.58, P = 0.033), without tumor deposits (HR = 0.40, P = 0.006; adjusted HR = 0.44, P = 0.028), and with tumor diameter over 4 cm (HR = 0.49, P = 0.023). DNA repair protein XPA is significantly decreased in colorectal cancer tissues than in adjacent nontumor tissues. High expression of XPA protein showed significant relationship with better survival of CRC, especially rectal cancer. XPA might be a novel biomarker but might not be an independent factor to predict prognosis of CRC patients.

摘要

作为核苷酸切除修复中 DNA 损伤识别步骤的不可或缺因素,XPA 与一系列蛋白质相互作用以启动修复过程。XPA 在结直肠癌(CRC)中的表达特征及其对 CRC 预后的影响仍不清楚。收集了 283 例患者的 CRC 和非肿瘤相邻组织的组织标本。通过免疫组织化学染色检测 XPA 蛋白的表达。使用非参数检验来研究 XPA 表达在 CRC 和非肿瘤相邻组织之间的差异,以及 XPA 表达与 CRC 临床病理参数之间的相关性。应用单变量和多变量 Cox 比例风险模型来估计 XPA 表达与 CRC 预后之间的关系。同时,我们分析了 TCGA 数据以研究 XPA mRNA 表达与 CRC 患者生存之间的关系。与非肿瘤相邻组织相比,CRC 组织中 XPA 蛋白表达明显降低(P=0.001)。亚组分析表明,在年龄>60 岁(P=0.026)、年龄≤60 岁(P=0.008)、结肠癌(P=0.009)和直肠癌(P=0.015)患者以及男性(P=0.004)中,XPA 表达一致明显下调。对于临床病理参数,有饮酒习惯的 CRC 患者与不饮酒者相比,XPA 呈过表达(P=0.032)。对于预后,高 XPA 蛋白表达的 CRC 患者总生存期(OS)更长(HR=0.62,95%CI:0.39-0.97,P=0.037)。分层分析表明,对于年龄>60 岁(调整 HR=0.48,P=0.021)、直肠癌(HR=0.56,P=0.037)、无远处转移(HR=0.58,P=0.033)、无肿瘤沉积(HR=0.40,P=0.006;调整 HR=0.44,P=0.028)和肿瘤直径>4cm(HR=0.49,P=0.023)的患者,高 XPA 蛋白表达与更好的预后相关。DNA 修复蛋白 XPA 在结直肠癌组织中的表达明显低于相邻非肿瘤组织。XPA 蛋白的高表达与 CRC 的生存显著相关,尤其是直肠癌。XPA 可能是一种新的生物标志物,但可能不是预测 CRC 患者预后的独立因素。

https://cdn.ncbi.nlm.nih.gov/pmc/blobs/5094/6010851/802ebb0407ed/CAM4-7-2339-g001.jpg

文献检索

告别复杂PubMed语法,用中文像聊天一样搜索,搜遍4000万医学文献。AI智能推荐,让科研检索更轻松。

立即免费搜索

文件翻译

保留排版,准确专业,支持PDF/Word/PPT等文件格式,支持 12+语言互译。

免费翻译文档

深度研究

AI帮你快速写综述,25分钟生成高质量综述,智能提取关键信息,辅助科研写作。

立即免费体验