Suppr超能文献

IgG4相关性动脉疾病

IgG4-Related Arterial Disease.

作者信息

Kasashima Fuminori, Kawakami Kengo, Matsumoto Yasushi, Endo Masamitsu, Kasashima Satomi, Kawashima Atsuhiro

机构信息

Department of Cardiovascular Surgery, National Hospital Organization, Kanazawa Medical Center, Kanazawa, Ishikawa, Japan.

Department of Pathology, National Hospital Organization, Kanazawa Medical Center, Kanazawa, Ishikawa, Japan.

出版信息

Ann Vasc Dis. 2018 Mar 25;11(1):72-77. doi: 10.3400/avd.ra.18-00012.

Abstract

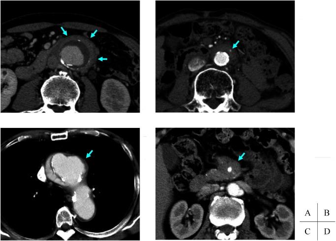
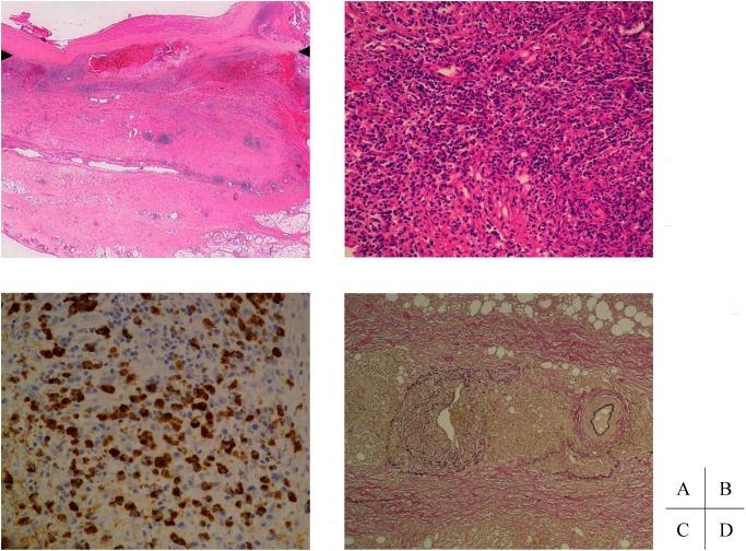
Immunoglobulin G4-related diseases (IgG4-RD) are systemic inflammatory conditions, characterized by high serum IgG4 concentrations, and pathologically IgG4-positive plasmacytes infiltrations and storiform fibrosis. We described IgG4-related inflammatory abdominal aortic aneurysm in 2008, and revealed the existence of vascular lesions. IgG4-related vascular lesions frequently occur in the aorta and branching medium-sized arteries with or without aneurysmal change. The inflammatory lesion mainly involves in the adventitia, indicating remarkable adventitial fibrous thickening with infiltration of inflammatory cells. Clinical symptoms associated with IgG4-related vascular lesions might be fever, abdominal pain, hydronephrosis, or few subjective symptoms. Comprehensive diagnostic criteria is applied according to image findings of thickening lesions, high serum IgG4 levels, and histopathological findings. As a treatment, open surgical repair or endovascular aneurysm repair is performed for the aneurysmal cases, and steroid administration is used for the cases with strong inflammation. This disease can lead to a lethal situation due to the rupture following aneurysmal formation, thus special attention is needed unlike IgG4-RD occupying in the other organs. (This is a translation of Jpn J Vasc Surg 2017; 26: 129-134.).

摘要

免疫球蛋白G4相关疾病(IgG4-RD)是一种全身性炎症性疾病,其特征为血清IgG4浓度升高,病理表现为IgG4阳性浆细胞浸润和席纹状纤维化。我们在2008年描述了IgG4相关的炎性腹主动脉瘤,并揭示了血管病变的存在。IgG4相关血管病变常发生于主动脉和分支中等大小动脉,可伴有或不伴有动脉瘤样改变。炎性病变主要累及外膜,表现为外膜显著纤维增厚并伴有炎性细胞浸润。与IgG4相关血管病变相关的临床症状可能为发热、腹痛、肾积水或仅有少数主观症状。根据增厚病变的影像学表现、血清IgG4水平升高及组织病理学表现应用综合诊断标准。对于动脉瘤病例,治疗方法为开放手术修复或血管腔内动脉瘤修复,对于炎症较重的病例则使用类固醇药物治疗。由于动脉瘤形成后破裂可导致致命情况,因此与占据其他器官的IgG4-RD不同,对此病需要特别关注。(本文翻译自《日本血管外科学杂志》2017年;26: 129 - 134.)

https://cdn.ncbi.nlm.nih.gov/pmc/blobs/2751/5882362/e8211eab2c08/avd-11-1-ra.18-00012-figure01.jpg

文献AI研究员

20分钟写一篇综述,助力文献阅读效率提升50倍。

立即体验

用中文搜PubMed

大模型驱动的PubMed中文搜索引擎

马上搜索

文档翻译

学术文献翻译模型,支持多种主流文档格式。

立即体验