Suppr超能文献

与Leber遗传性视神经病变相关的肾动脉动脉瘤

Renal artery aneurysm associated with Leber hereditary optic neuropathy.

作者信息

Jones Ruth Ellen, Lee Jessica, Ali Mujtaba M

机构信息

Department of Surgery, University of Texas Southwestern Medical Center, Dallas, Tex.

University of Texas Southwestern Medical School, Dallas, Tex.

出版信息

J Vasc Surg Cases Innov Tech. 2017 Dec 27;4(1):5-7. doi: 10.1016/j.jvscit.2017.10.001. eCollection 2018 Mar.

Abstract

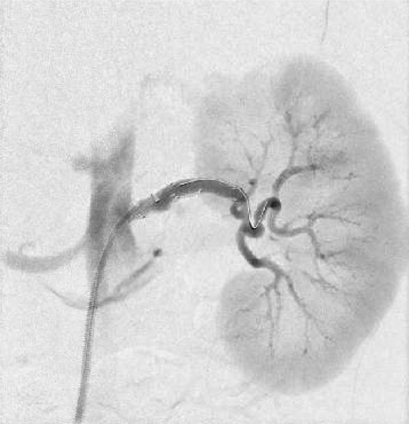
Leber hereditary optic neuropathy is an inherited, rare, mitochondrial metabolic disease that leads to progressive vision loss due to the accumulation of reactive oxygen species. The disorder has been associated with microangiopathy and macroangiopathy. We present a novel case of saccular left renal artery aneurysm in a 27-year-old man with known Leber hereditary optic neuropathy. The lesion was asymptomatic and grew from 1.8 to 2.0 cm during the course of 1 year. We successfully performed an endovascular left renal artery aneurysm repair.

摘要

Leber遗传性视神经病变是一种遗传性、罕见的线粒体代谢疾病,由于活性氧的积累导致进行性视力丧失。该疾病与微血管病变和大血管病变有关。我们报告了一例27岁患有Leber遗传性视神经病变男性的左肾动脉囊状动脉瘤新病例。该病变无症状,在1年的病程中从1.8厘米增大至2.0厘米。我们成功实施了左肾动脉动脉瘤血管内修复术。

https://cdn.ncbi.nlm.nih.gov/pmc/blobs/d4c7/5928001/1b57c5045b7f/gr1.jpg

文献AI研究员

20分钟写一篇综述,助力文献阅读效率提升50倍。

立即体验

用中文搜PubMed

大模型驱动的PubMed中文搜索引擎

马上搜索

文档翻译

学术文献翻译模型,支持多种主流文档格式。

立即体验