Suppr超能文献

使用术前表观扩散系数预测脑肿瘤分级。

Use of Preoperative Apparent Diffusion Coefficients to Predict Brain Tumor Grade.

作者信息

Darbar Aneela, Waqas Muhammad, Enam Syed Faaiz, Mahmood Shaikh D

机构信息

Surgery, The Aga Khan University.

Biomedical Engineering, Duke University.

出版信息

Cureus. 2018 Mar 7;10(3):e2284. doi: 10.7759/cureus.2284.

Abstract

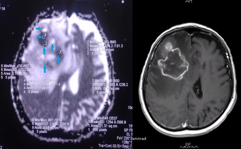
Introduction The apparent diffusion coefficient (ADC) sequence is based on the diffusion properties of water molecules within tissues and correlates with tissue cellularity. ADC may have a role in predicting tumor grade for gliomas, and may in turn assist in identifying tumor biopsy sites. The purpose of this investigation was to assess the competence of preoperative ADC values in predicting tumor grades. Methods This was a retrospective investigation. We calculated the ADC values in the areas of greatest restriction in solid tumor components, and we recorded the pattern of contrast enhancement. Pathology reports masked to the imaging results were reviewed independently. We calculated the differences in the mean values of different tumor grades and high-grade and low-grade gliomas. A receiver operator curve (ROC) analysis assessed the predictive potential of ADC values for low-grade gliomas. Results Forty-eight cases of glioma were included in our study. We noted a statistically significant difference in the lowest mean ADC values for the tumor regions of Grade IV lesions (333.83 ± 295.47) compared with Grade I lesions (653.20 ± 145.07). On ROC analysis, we noted an area under the curve (AUC) of 0.80 for the lowest ADC value in the whole tumor region, which was a predictor of low-grade glioma with 95 % confidence interval (CI) of 0.675-0.926. The sensitivity of the lowest ADC value was 84.5% for high-grade lesions. Conclusion Given our findings that the means of the lowest ADC value are significantly different between low and high-grade gliomas with an AUC of 0.80 for ADC as a predictor of low-grade lesions and a sensitivity of 84.5% for high-grade lesions, ADC values contain some predictive properties of tumor grading. ADC values may be a valuable parameter in the assessment and treatment of tumors.

摘要

引言 表观扩散系数(ADC)序列基于水分子在组织内的扩散特性,并与组织细胞密度相关。ADC在预测神经胶质瘤的肿瘤分级方面可能具有一定作用,进而有助于确定肿瘤活检部位。本研究的目的是评估术前ADC值预测肿瘤分级的能力。

方法 这是一项回顾性研究。我们计算了实体瘤成分中限制最明显区域的ADC值,并记录了对比增强模式。对与影像结果无关的病理报告进行独立审查。我们计算了不同肿瘤分级以及高级别和低级别神经胶质瘤的平均值差异。采用受试者工作特征曲线(ROC)分析评估ADC值对低级别神经胶质瘤的预测潜力。

结果 我们的研究纳入了48例神经胶质瘤病例。我们注意到,IV级病变肿瘤区域的最低平均ADC值(333.83±295.47)与I级病变(653.20±145.07)相比,存在统计学上的显著差异。在ROC分析中,我们发现整个肿瘤区域最低ADC值的曲线下面积(AUC)为0.80,这是低级别神经胶质瘤的一个预测指标,95%置信区间(CI)为0.675 - 0.926。最低ADC值对高级别病变的敏感性为84.5%。

结论 鉴于我们的研究结果表明,低级别和高级别神经胶质瘤之间最低ADC值的平均值存在显著差异,ADC作为低级别病变预测指标的AUC为0.80,对高级别病变的敏感性为84.5%,ADC值具有一些肿瘤分级的预测特性。ADC值可能是肿瘤评估和治疗中的一个有价值的参数。

https://cdn.ncbi.nlm.nih.gov/pmc/blobs/2ab7/5938001/648a30820c76/cureus-0010-00000002284-i01.jpg

文献AI研究员

20分钟写一篇综述,助力文献阅读效率提升50倍。

立即体验

用中文搜PubMed

大模型驱动的PubMed中文搜索引擎

马上搜索

文档翻译

学术文献翻译模型,支持多种主流文档格式。

立即体验