Suppr超能文献

EYA4 通过抑制 NF-κB 依赖的 RAP1 反式激活来抑制肝癌的生长和侵袭。

EYA4 inhibits hepatocellular carcinoma growth and invasion by suppressing NF-κB-dependent RAP1 transactivation.

机构信息

Department of Pancreatobiliary Surgery, The First Affiliated Hospital, Sun Yat-sen University, No. 58, Zhongshan Er Road, Guangzhou, 510080, Guangdong, P. R. China.

出版信息

Cancer Commun (Lond). 2018 Apr 3;38(1):9. doi: 10.1186/s40880-018-0276-1.

Abstract

BACKGROUND

Our previous studies demonstrated that eyes absent homolog 4 (EYA4), a member of the eye development-related EYA family in Drosophila, is frequently methylated and silenced in hepatocellular carcinoma (HCC) specimens and associated with shorter survival. The current work aimed to explore the mechanisms through which EYA4 functions as a tumor suppressor in HCC.

METHODS

Stable EYA4-expressing plasmid (pEYA4) transfectants of the human HCC cell lines Huh-7 and PLC/PRF/5 (PLC) were established. Xenografts tumors were established via subcutaneous injection of the stable transfectants into BALB/c nude mice. Tissue samples were obtained from 75 pathologically diagnosed HCC patients. Quantitative real-time polymerase chain reaction, Western blotting and immunohistochemistry were performed to determine the expression of EYA4 in cell lines, xenografts and clinical specimens. The cell proliferation, colony formation, invasiveness and tumor formation of stable transfectants were studied. A gene expression microarray was utilized to screen genes regulated by EYA4 expression. The effect of EYA4 on nuclear factor-κB (NF-κB)/RAS-related protein 1 (RAP1) signaling was demonstrated through the co-transfection of pEYA4 and Flag-tagged RAS-related protein 1A gene-expressing plasmid (Flag-RAP1A), functional studies, chromatin immunoprecipitation, immunofluorescence staining and cellular ubiquitination assay.

RESULTS

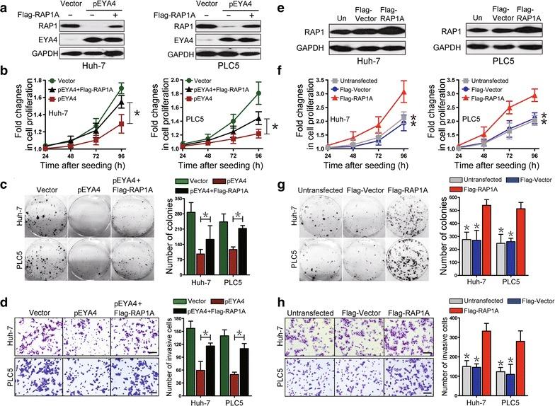
The restoration of EYA4 expression in HCC cell lines suppressed cell proliferation, inhibited clonogenic outgrowth, reduced cell invasion and restrained xenograft tumor growth, and Flag-RAP1A reversed the suppressive effects of pEYA4 in vitro. Activation of NF-κB with tumor necrosis factor-α (TNF-α) increased the binding of p65 to the RAP1A gene promoter and up-regulated RAP1 protein expression. The inhibition of NF-κB with BAY 11-7085 and p65 siRNA successfully blocked TNF-α-induced RAP1 up-regulation. EYA4 antagonized the TNF-α-induced phosphorylation and ubiquitination of inhibitor of NF-κBα (IκBα) as well as the nuclear translocation and transactivation of p65, resulting in repressed NF-κB activity and RAP1 expression. Blocking the serine/threonine phosphatase activity of EYA4 with calyculin A notably abrogated its suppressive effect on NF-κB activity. In addition, EYA4 expression was inversely correlated with IκBα/RAP1 activity in clinical HCC specimens.

CONCLUSION

Our findings provide a functional and mechanistic basis for identifying EYA4 as a bona fide tumor suppressor that disrupts aberrant activation of the NF-κB/RAP1 signaling pathway and thus orchestrates a physiological impediment to HCC growth and invasion.

摘要

背景

我们之前的研究表明,果蝇眼发育相关 EYA 家族的成员 EYA4 是一种在肝细胞癌(HCC)标本中经常被甲基化和沉默的基因,与较短的生存期有关。本研究旨在探讨 EYA4 作为 HCC 肿瘤抑制因子的作用机制。

方法

建立人 HCC 细胞系 Huh-7 和 PLC/PRF/5(PLC)中稳定表达 EYA4 的质粒(pEYA4)转染子。通过将稳定转染子皮下注射到 BALB/c 裸鼠中建立异种移植肿瘤。从 75 例病理诊断为 HCC 的患者中获得组织样本。采用实时定量聚合酶链反应、Western blot 和免疫组化法检测细胞系、异种移植和临床标本中 EYA4 的表达。研究稳定转染子的细胞增殖、集落形成、侵袭和肿瘤形成。利用基因表达微阵列筛选受 EYA4 表达调控的基因。通过共转染 pEYA4 和 Flag 标记的 RAS 相关蛋白 1A 基因表达质粒(Flag-RAP1A)、功能研究、染色质免疫沉淀、免疫荧光染色和细胞泛素化分析来证明 EYA4 对核因子-κB(NF-κB)/RAS 相关蛋白 1(RAP1)信号的影响。

结果

在 HCC 细胞系中恢复 EYA4 表达抑制细胞增殖、抑制克隆形成、减少细胞侵袭并抑制异种移植肿瘤生长,而 Flag-RAP1A 则在体外逆转了 pEYA4 的抑制作用。肿瘤坏死因子-α(TNF-α)激活 NF-κB 增加了 p65 与 RAP1A 基因启动子的结合,并上调了 RAP1 蛋白表达。用 BAY 11-7085 和 p65 siRNA 抑制 NF-κB 成功阻断了 TNF-α诱导的 RAP1 上调。EYA4 拮抗 TNF-α诱导的 IκBα 磷酸化和泛素化以及 p65 的核转位和转录激活,从而抑制 NF-κB 活性和 RAP1 表达。用 calyculin A 阻断 EYA4 的丝氨酸/苏氨酸磷酸酶活性显著削弱了其对 NF-κB 活性的抑制作用。此外,在临床 HCC 标本中,EYA4 的表达与 IκBα/RAP1 活性呈负相关。

结论

我们的研究结果为鉴定 EYA4 作为一种真正的肿瘤抑制因子提供了功能和机制基础,该因子破坏了 NF-κB/RAP1 信号通路的异常激活,从而协调了对 HCC 生长和侵袭的生理性抑制。

https://cdn.ncbi.nlm.nih.gov/pmc/blobs/3d5b/5993152/fa8329d2cd00/40880_2018_276_Fig1_HTML.jpg

文献AI研究员

20分钟写一篇综述,助力文献阅读效率提升50倍。

立即体验

用中文搜PubMed

大模型驱动的PubMed中文搜索引擎

马上搜索

文档翻译

学术文献翻译模型,支持多种主流文档格式。

立即体验