Suppr超能文献

孤立性席纹状胶原瘤的皮肤镜检查。

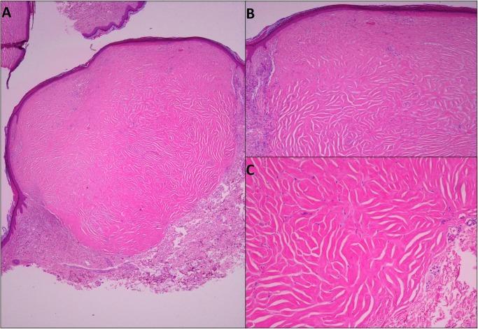
Dermoscopy of a solitary storiform collagenoma.

作者信息

Ebadian Mona, Citarella Luigi, Collins Damian, Diaz-Cano Salvador, Pozo-Garcia Lucia

机构信息

Lewisham and Greenwich NHS Trust, London, UK.

Kings College Hospital, London, UK.

出版信息

Dermatol Pract Concept. 2018 Apr 30;8(2):120-122. doi: 10.5826/dpc.0802a09. eCollection 2018 Apr.

Abstract

The dermoscopic features of solitary storiform collagenomas (sclerotic fibromas) have not been described previously, as these are rare cutaneous soft tissue tumors. The presence of multiple lesions is considered a marker of Cowden syndrome. They can also present as single firm cutaneous nodules. We present an unusual single nodule with distinct dermoscopic and histologic features.

摘要

孤立性束状胶原瘤(硬化性纤维瘤)的皮肤镜特征此前尚未见描述,因为这些是罕见的皮肤软组织肿瘤。多发损害的存在被认为是考登综合征的一个标志。它们也可表现为单个坚实的皮肤结节。我们报告一例具有独特皮肤镜和组织学特征的不寻常单发性结节。

https://cdn.ncbi.nlm.nih.gov/pmc/blobs/7765/5955078/bcc76952c08a/dp0802a09g001.jpg

文献AI研究员

20分钟写一篇综述,助力文献阅读效率提升50倍。

立即体验

用中文搜PubMed

大模型驱动的PubMed中文搜索引擎

马上搜索

文档翻译

学术文献翻译模型,支持多种主流文档格式。

立即体验