Suppr超能文献

Mucocele of the dorsal surface of the tongue: A case report.

作者信息

Titsinides Savvas, Kalyvas Demos, Tosios Konstantinos

机构信息

Department of Oral Medicine and Pathology, Dental School, University of Athens, Greece.

Department of Oral and Maxillofacial Surgery, Dental School, University of Athens, Greece.

出版信息

J Clin Exp Dent. 2018 May 1;10(5):e495-e498. doi: 10.4317/jced.54497. eCollection 2018 May.

Abstract

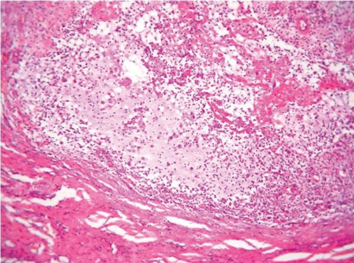
Mucoceles represent one of the most common lesions of the oral cavity, developing as a result of saliva accumulation. The most frequent affected area is the lower lip, followed by floor of mouth, ventral tongue and buccal mucosa. Despite numerous reports of mucoceles originating on the ventral surface of the tongue, only scarce cases of such a lesion identified on the dorsal tongue surface have been described. In this report a mucocele developed on the dorsal tongue of a 74-year-old woman is described. Additionally a review of previously published mucoceles of the dorsal surface of the tongue is provided and discussed. A 74-year-old female patient was referred for a painless swelling on the dorsal surface of the tongue of 1 month duration. Possible clinical diagnosis included granular cell tumor and lingual thyroid gland. Proper blood testing for TSH, T3 and T4 as well as ultrasonography were requested, found to be within normal limits. An excisional biopsy was performed and tumor was removed with no intra-operative complications. Histopathological examination was consistent with a mucocele, exhibiting an amorphous material surrounded by granular connective tissue without epithelial lining on the periphery. Patient was examined on regular follow-up basis, with no signs of recurrence for the last 1 year. Mucoceles of the dorsal tongue surface represent rare clinical entities, necessitating the need for further case reports to be published in order to widen our understanding of their clinical features. Mucocele, oral cavity, tongue, minor salivary glands, oral and maxilloafcial pathology.

摘要
https://cdn.ncbi.nlm.nih.gov/pmc/blobs/c2da/5971079/494ee67d9bc7/jced-10-e495-g001.jpg

相似文献

1
Mucocele of the dorsal surface of the tongue: A case report.
J Clin Exp Dent. 2018 May 1;10(5):e495-e498. doi: 10.4317/jced.54497. eCollection 2018 May.
2
Mucocele of the tongue: A case report and review of literature.
J Oral Maxillofac Pathol. 2021 Mar;25(Suppl 1):S37-S41. doi: 10.4103/jomfp.jomfp_396_20. Epub 2021 Mar 19.
3
Mucoceles of the anterior ventral surface of the tongue and the glands of Blandin-Nuhn: 5 cases.
J Stomatol Oral Maxillofac Surg. 2019 Dec;120(6):509-512. doi: 10.1016/j.jormas.2019.04.005. Epub 2019 Apr 11.
4
Blandin and Nuhn mucocele in a pediatric patient.
J Indian Soc Pedod Prev Dent. 2018 Jul-Sep;36(3):315-318. doi: 10.4103/JISPPD.JISPPD_10_18.
5
Tongue Mucoceles: a retrospective clinic-pathological evaluation of 240 cases.
BMC Oral Health. 2023 Nov 14;23(1):862. doi: 10.1186/s12903-023-03485-y.
6
[Congenital mucocele of the ventral face of the tongue].
Arch Pediatr. 2016 Mar;23(3):287-91. doi: 10.1016/j.arcped.2015.12.018. Epub 2016 Feb 2.
7
Superficial Mucocele of the Ventral Tongue: Presentation of a Rare Case and Literature Review.
J Oral Maxillofac Surg. 2016 Jun;74(6):1175-9. doi: 10.1016/j.joms.2015.11.025. Epub 2015 Nov 24.
8
Preliminary experience with promethazine hydrochloride injection in the sclerotherapy of oral mucocele.
Int J Oral Maxillofac Surg. 2021 Apr;50(4):516-521. doi: 10.1016/j.ijom.2020.06.021. Epub 2020 Jul 15.
9
Mucocele of the anterior lingual salivary glands: from extravasation to an alarming mass with a benign course.
Int J Pediatr Otorhinolaryngol. 2001 Nov 1;61(2):143-7. doi: 10.1016/s0165-5876(01)00544-4.
10
Mucocele in pediatric patients: analysis of 36 children.
Pediatr Dermatol. 2008 May-Jun;25(3):308-11. doi: 10.1111/j.1525-1470.2008.00672.x.

引用本文的文献

1
Mucocele of the tongue: A case report and review of literature.
J Oral Maxillofac Pathol. 2021 Mar;25(Suppl 1):S37-S41. doi: 10.4103/jomfp.jomfp_396_20. Epub 2021 Mar 19.

本文引用的文献

1
Mucocele in the Base of the Tongue Mimicking a Thyroglossal Duct Cyst: A Very Rare Location.
Iran J Radiol. 2016 Jan 26;13(1):e24827. doi: 10.5812/iranjradiol.24827. eCollection 2016 Jan.
2
Histopathological review of 667 cases of oral mucoceles with emphasis on uncommon histopathological variations.
Ann Diagn Pathol. 2016 Apr;21:44-6. doi: 10.1016/j.anndiagpath.2016.02.001. Epub 2016 Feb 9.
3
A congenital mucocele of the anterior dorsal tongue.
Int J Pediatr Otorhinolaryngol. 2014 Jul;78(7):1179-81. doi: 10.1016/j.ijporl.2014.04.012. Epub 2014 Apr 18.
4
A rare presentation of mucocele of the tongue.
J Craniofac Surg. 2010 Nov;21(6):2032. doi: 10.1097/SCS.0b013e3181f53a80.
5
Oral mucoceles: a clinicopathologic review of 1,824 cases, including unusual variants.
J Oral Maxillofac Surg. 2011 Apr;69(4):1086-93. doi: 10.1016/j.joms.2010.02.052. Epub 2010 Aug 12.
6
Clinical characteristics, treatment, and evolution of 89 mucoceles in children.
J Oral Maxillofac Surg. 2010 Oct;68(10):2468-71. doi: 10.1016/j.joms.2009.12.038. Epub 2010 Jul 1.
7
Mucocele of the glands of Blandin-Nuhn--clinical, pathological, and therapeutical aspects.
Oral Maxillofac Surg. 2011 Mar;15(1):11-3. doi: 10.1007/s10006-010-0221-1.
8
Mucoceles of the oral cavity: a large case series (1994-2008) and a literature review.
Med Oral Patol Oral Cir Bucal. 2010 Jul 1;15(4):e551-6. doi: 10.4317/medoral.15.e551.
9
Mucocele in posterior dorsal surface of tongue: an extremely rare location.
J Oral Maxillofac Surg. 2009 Jun;67(6):1307-10. doi: 10.1016/j.joms.2008.06.040.
10
Mucous cyst forming on the dorsal surface of the tongue: report of a case.
J Oral Maxillofac Surg. 1994 Jul;52(7):770-1; discussion 772. doi: 10.1016/0278-2391(94)90499-5.

文献AI研究员

20分钟写一篇综述,助力文献阅读效率提升50倍。

立即体验

用中文搜PubMed

大模型驱动的PubMed中文搜索引擎

马上搜索

文档翻译

学术文献翻译模型,支持多种主流文档格式。

立即体验