Suppr超能文献

肾静脉血栓形成作为一名成年患者非M3型急性髓系白血病的表现

Renal Vein Thrombosis as Presentation of Non-M3 Acute Myeloid Leukemia in an Adult Patient.

作者信息

Sureka S K, Yadav P, Kumar P, Srivastava A

机构信息

Department of Urology and Renal Transplant, SGPGIMS, Lucknow, Uttar Pradesh, India.

Department of Haematology, SGPGIMS, Lucknow, Uttar Pradesh, India.

出版信息

Indian J Nephrol. 2018 Mar-Apr;28(2):153-156. doi: 10.4103/ijn.IJN_54_17.

Abstract

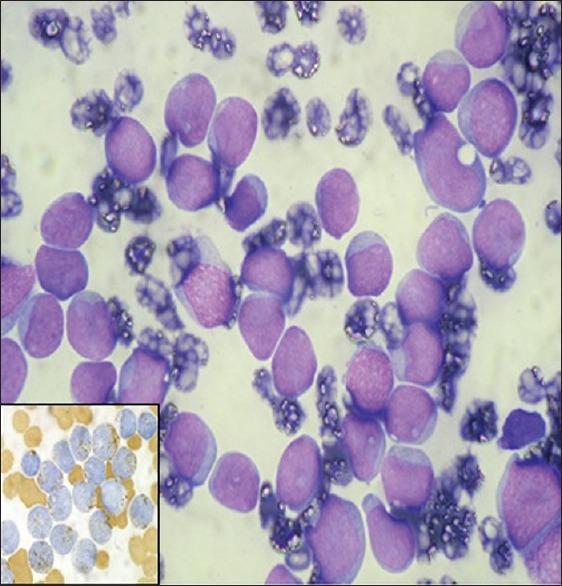
A 46-year-old male presented with left flank pain and was found to have left nephromegaly with renal vein and inferior vena cava (IVC) thrombus. On hematological evaluation, he had leukocytosis and thrombocytopenia. Further evaluation revealed acute myeloid leukemia (AML). Following initial cytoreductive therapy and supportive care for hyperleukocytosis, he underwent left simple nephrectomy with IVC thrombectomy. Postoperatively, he developed massive thrombosis of infrahepatic IVC with renal failure. Renal venous thrombosis as a rare presentation of AML in adults with leukemic hyperleukocytosis has not been reported. In the absence of clear guidelines, early diagnosis and management are desirable.

摘要

一名46岁男性因左侧腰痛就诊,检查发现左肾肿大并伴有肾静脉及下腔静脉血栓形成。血液学评估显示他存在白细胞增多和血小板减少。进一步检查发现急性髓系白血病(AML)。在接受初始细胞减灭治疗及针对白细胞增多的支持治疗后,他接受了左肾单纯切除术及下腔静脉血栓切除术。术后,他出现肝下下腔静脉大量血栓形成并伴有肾衰竭。肾静脉血栓形成作为成人白血病性白细胞增多症中AML的一种罕见表现尚未见报道。由于缺乏明确的指导方针,早期诊断和管理很有必要。

https://cdn.ncbi.nlm.nih.gov/pmc/blobs/2291/5952454/70fd58121c49/IJN-28-153-g001.jpg

文献检索

告别复杂PubMed语法,用中文像聊天一样搜索,搜遍4000万医学文献。AI智能推荐,让科研检索更轻松。

立即免费搜索

文件翻译

保留排版,准确专业,支持PDF/Word/PPT等文件格式,支持 12+语言互译。

免费翻译文档

深度研究

AI帮你快速写综述,25分钟生成高质量综述,智能提取关键信息,辅助科研写作。

立即免费体验