Suppr超能文献

跨物种研究:将果实钙吸收能力与果实生长及果柄解剖结构相联系

Linking Fruit Ca Uptake Capacity to Fruit Growth and Pedicel Anatomy, a Cross-Species Study.

作者信息

Song Wenpei, Yi Junwen, Kurniadinata Odit F, Wang Huicong, Huang Xuming

机构信息

College of Horticulture, South China Agricultural University, Guangzhou, China.

Department of Agronomy and Horticulture, Faculty of Agriculture, Bogor Agricultural University, Bogor, Indonesia.

出版信息

Front Plant Sci. 2018 May 9;9:575. doi: 10.3389/fpls.2018.00575. eCollection 2018.

Abstract

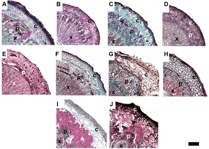
Calcium (Ca) in flesh fruits is important for quality formation and maintenance. Most studies on fruit Ca focus on one species. This study attempted to understand some universal relations to fruit Ca uptake across species. Calcium contents in fruit tissues were analyzed in different fruits, including three cultivars of litchi, two cultivars each of grape and citrus, and one cultivar each of loquat, apple, pear, Indian jujube, and longan. Ca distribution was revealed with electron probe and xylem functionality visualized by dye tracing. Fruit Ca uptake rate and activity were calculated and correlated with fruit growth and pedicel anatomy. The results showed that fruit Ca uptake rate was the highest in pomes (loquat, apple, and pear), followed by Indian jujube drupe, arillate fruits (litchis and longan) and citrus, while grape berries were the lowest. Fruit Ca uptake rate showed a strong positive correlation to growth rate. However, Ca uptake activity, reflecting Ca uptake rate relative to growth, was the highest in arillate fruits and loquat and lowest in grape berries, and had a poor correlation with fruit growth rate. In all fruits, Ca concentration in the pedicel was higher than in the fruit, and they displayed a good positive correlation. In the pedicel, Ca was most abundant in the phloem. Dye tracing showed that xylem function loss occurred with maturation in all species/varieties. Apple had the poorest xylem functionality with the least development of secondary xylem, but its Ca uptake rate was among the highest. Vessel density, size and area in the pedicel showed no correlation with fruit Ca uptake rate. It is concluded that: (1) fruit growth may be a key determinant of Ca uptake; (2) the universal pattern of Ca being higher in the pedicel than in the fruit indicates existence of a pedicel-fruit "bottleneck" effect in Ca transport across species; (3) xylem functionality loss with fruit maturation is also a universal event; (4) in the pedicel, Ca is more distributed in the phloem; (5) vessel morphology in the pedicel is not rate-limiting for fruit Ca uptake; (6) phloem pathway might contribute to fruit Ca uptake.

摘要

肉质果实中的钙(Ca)对于品质的形成和维持至关重要。大多数关于果实钙的研究都集中在单一物种上。本研究试图了解不同物种间果实钙吸收的一些普遍关系。分析了不同果实(包括三个荔枝品种、葡萄和柑橘各两个品种,以及枇杷、苹果、梨、印度枣和龙眼各一个品种)果实组织中的钙含量。通过电子探针揭示钙的分布,并通过染料追踪观察木质部功能。计算果实钙吸收速率和活性,并将其与果实生长和果柄解剖结构相关联。结果表明,梨果(枇杷、苹果和梨)的果实钙吸收速率最高,其次是印度枣核果、假种皮果实(荔枝和龙眼)和柑橘,而葡萄浆果的钙吸收速率最低。果实钙吸收速率与生长速率呈强烈正相关。然而,反映相对于生长的钙吸收速率的钙吸收活性,在假种皮果实和枇杷中最高,在葡萄浆果中最低,且与果实生长速率的相关性较差。在所有果实中,果柄中的钙浓度高于果实中的钙浓度,且二者呈良好的正相关。在果柄中,韧皮部的钙含量最为丰富。染料追踪显示,所有物种/品种的木质部功能在成熟时都会丧失。苹果的木质部功能最差,次生木质部发育最少,但其钙吸收速率却位居前列。果柄中的导管密度、大小和面积与果实钙吸收速率无关。研究得出以下结论:(1)果实生长可能是钙吸收的关键决定因素;(2)果柄中钙含量高于果实这一普遍模式表明,在不同物种间的钙运输过程中存在果柄-果实“瓶颈”效应;(3)随着果实成熟木质部功能丧失也是一个普遍现象;(4)在果柄中,钙更多地分布在韧皮部;(5)果柄中的导管形态对果实钙吸收不是限速因素;(6)韧皮部途径可能有助于果实钙吸收。

https://cdn.ncbi.nlm.nih.gov/pmc/blobs/3081/5954447/712e78e33c67/fpls-09-00575-g001.jpg

文献检索

告别复杂PubMed语法,用中文像聊天一样搜索,搜遍4000万医学文献。AI智能推荐,让科研检索更轻松。

立即免费搜索

文件翻译

保留排版,准确专业,支持PDF/Word/PPT等文件格式,支持 12+语言互译。

免费翻译文档

深度研究

AI帮你快速写综述,25分钟生成高质量综述,智能提取关键信息,辅助科研写作。

立即免费体验