• 文献检索
  • 文档翻译
  • 深度研究
  • 学术资讯
  • Suppr Zotero 插件Zotero 插件
  • 邀请有礼
  • 套餐&价格
  • 历史记录
应用&插件
Suppr Zotero 插件Zotero 插件浏览器插件Mac 客户端Windows 客户端微信小程序
定价
高级版会员购买积分包购买API积分包
服务
文献检索文档翻译深度研究API 文档MCP 服务
关于我们
关于 Suppr公司介绍联系我们用户协议隐私条款
关注我们

Suppr 超能文献

核心技术专利:CN118964589B侵权必究
粤ICP备2023148730 号-1Suppr @ 2026

文献检索

告别复杂PubMed语法,用中文像聊天一样搜索,搜遍4000万医学文献。AI智能推荐,让科研检索更轻松。

立即免费搜索

文件翻译

保留排版,准确专业,支持PDF/Word/PPT等文件格式,支持 12+语言互译。

免费翻译文档

深度研究

AI帮你快速写综述,25分钟生成高质量综述,智能提取关键信息,辅助科研写作。

立即免费体验

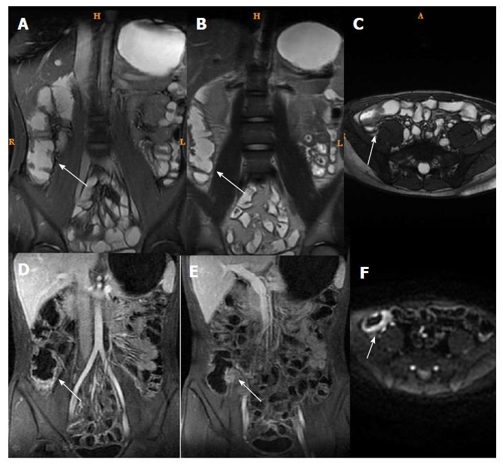
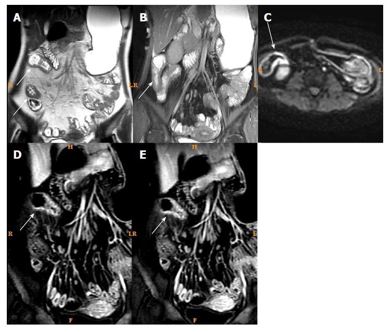
磁共振成像与克罗恩病内镜严重程度指数:相关性和一致性。

Magnetic resonance imaging and Crohn's disease endoscopic index of severity: Correlations and concordance.

机构信息

Department of Radiology, Ruijin Hospital, Shanghai Jiao Tong University School of Medicine, Shanghai 200025, China.

出版信息

World J Gastroenterol. 2018 Jun 7;24(21):2279-2290. doi: 10.3748/wjg.v24.i21.2279.

DOI:10.3748/wjg.v24.i21.2279
PMID:29881237
原文链接:https://pmc.ncbi.nlm.nih.gov/articles/PMC5989242/
Abstract

AIM

To examine the correlation between magnetic resonance imaging (MRI) and endoscopic index of severity (CDEIS) in patients with Crohn's disease (CD).

METHODS

This was a retrospective study of 104 patients with CD that were treated at the Ruijin Hospital between March 2015 and May 2016. Among them, 61 patients with active CD were evaluated before/after treatment. MRI and endoscopy were performed within 7 d. CDEIS was evaluated. MRI parameters included MaRIA scores, total relative contrast enhancement (tRCE), arterial RCE (aRCE), portal RCE (pRCE), delay phase RCE (dRCE), and apparent diffusion coefficient. The correlation and concordance between multiple MRI findings and CDEIS changes before and after CD treatment were examined.

RESULTS

Among the 104 patients, 61 patients were classified as active CD and 43 patients as inactive CD. Gender, age, disease duration, and disease location were not significantly different between the two groups (all > 0.05). CRP levels were higher in the active group than in the inactive group (25.12 ± 4.12 5.14 ± 0.98 mg/L, < 0.001). Before treatment, the correlations between CDEIS and MaRIAs in all patients were = 0.772 for tRCE, = 0.754 for aRCE, = 0.738 for pRCE, and = 0.712 for dRCE (all MaRIAs, < 0.001), followed by MRI single indexes. Among the active CD patients, 44 cases were remitted to inactive CD after treatment. The correlations between CDEIS and MaRIAs were = 0.712 for aRCE, = 0.705 for tRCE, = 0.685 for pRCE, and = 0.634 for dRCE (all MaRIAs, < 0.001).

CONCLUSION

Arterial MaRIA should be an indicator for CD follow-up and dynamic assessment. CD treatment assessment was not completely concordant between CDEIS and MRI.

摘要

目的

探讨磁共振成像(MRI)与克罗恩病(CD)内镜严重指数(CDEIS)之间的相关性。

方法

这是一项回顾性研究,纳入了 2015 年 3 月至 2016 年 5 月在瑞金医院接受治疗的 104 例 CD 患者。其中,61 例活动期 CD 患者在治疗前后进行了评估。MRI 和内镜检查均在 7 天内完成。评估 CDEIS。MRI 参数包括 MaRIA 评分、总相对对比增强(tRCE)、动脉 RCE(aRCE)、门脉 RCE(pRCE)、延迟相 RCE(dRCE)和表观扩散系数。检测治疗前后 CD 患者多种 MRI 指标与 CDEIS 变化的相关性和一致性。

结果

104 例患者中,61 例为活动期 CD,43 例为缓解期 CD。两组患者的性别、年龄、病程和病变部位差异均无统计学意义(均>0.05)。活动期 CD 患者的 CRP 水平高于缓解期 CD 患者(25.12±4.12比 5.14±0.98 mg/L,<0.001)。治疗前,所有患者的 CDEIS 与 MaRIAs 的相关性分别为 tRCE 的 r=0.772、aRCE 的 r=0.754、pRCE 的 r=0.738 和 dRCE 的 r=0.712(均<0.001),其次为 MRI 单一指标。在活动期 CD 患者中,44 例患者经治疗后缓解为缓解期 CD。治疗后 CDEIS 与 MaRIAs 的相关性分别为 aRCE 的 r=0.712、tRCE 的 r=0.705、pRCE 的 r=0.685 和 dRCE 的 r=0.634(均<0.001)。

结论

动脉 MaRIA 应作为 CD 随访和动态评估的指标。CDEIS 与 MRI 对 CD 治疗评估不完全一致。

https://cdn.ncbi.nlm.nih.gov/pmc/blobs/9408/5989242/6bf1acfe7eda/WJG-24-2279-g004.jpg
https://cdn.ncbi.nlm.nih.gov/pmc/blobs/9408/5989242/9924ae7cc95a/WJG-24-2279-g001.jpg
https://cdn.ncbi.nlm.nih.gov/pmc/blobs/9408/5989242/5bee328363c1/WJG-24-2279-g002.jpg
https://cdn.ncbi.nlm.nih.gov/pmc/blobs/9408/5989242/a6c3db0507c0/WJG-24-2279-g003.jpg
https://cdn.ncbi.nlm.nih.gov/pmc/blobs/9408/5989242/6bf1acfe7eda/WJG-24-2279-g004.jpg
https://cdn.ncbi.nlm.nih.gov/pmc/blobs/9408/5989242/9924ae7cc95a/WJG-24-2279-g001.jpg
https://cdn.ncbi.nlm.nih.gov/pmc/blobs/9408/5989242/5bee328363c1/WJG-24-2279-g002.jpg
https://cdn.ncbi.nlm.nih.gov/pmc/blobs/9408/5989242/a6c3db0507c0/WJG-24-2279-g003.jpg
https://cdn.ncbi.nlm.nih.gov/pmc/blobs/9408/5989242/6bf1acfe7eda/WJG-24-2279-g004.jpg

相似文献

1
Magnetic resonance imaging and Crohn's disease endoscopic index of severity: Correlations and concordance.磁共振成像与克罗恩病内镜严重程度指数:相关性和一致性。
World J Gastroenterol. 2018 Jun 7;24(21):2279-2290. doi: 10.3748/wjg.v24.i21.2279.
2
Accuracy of magnetic resonance enterography in assessing response to therapy and mucosal healing in patients with Crohn's disease.磁共振肠道成像评估克罗恩病患者治疗反应和黏膜愈合的准确性。
Gastroenterology. 2014 Feb;146(2):374-82.e1. doi: 10.1053/j.gastro.2013.10.055. Epub 2013 Oct 29.
3
Magnetic resonance imaging for evaluation of Crohn's disease: validation of parameters of severity and quantitative index of activity.磁共振成像评估克罗恩病:严重程度参数和活动定量指标的验证。
Inflamm Bowel Dis. 2011 Aug;17(8):1759-68. doi: 10.1002/ibd.21551. Epub 2010 Nov 8.
4
Development and Validation of a Simplified Magnetic Resonance Index of Activity for Crohn's Disease.简化的克罗恩病磁共振活动指数的制定与验证。
Gastroenterology. 2019 Aug;157(2):432-439.e1. doi: 10.1053/j.gastro.2019.03.051. Epub 2019 Apr 3.
5
Dynamic contrast-enhanced magnetic resonance imaging and diffusion-weighted imaging in the activity staging of terminal ileum Crohn's disease.动态对比增强磁共振成像和扩散加权成像在末端回肠克罗恩病活动分期中的应用
World J Gastroenterol. 2020 Oct 21;26(39):6057-6073. doi: 10.3748/wjg.v26.i39.6057.
6
Magnetic resonance enterography changes after antibody to tumor necrosis factor (anti-TNF) alpha therapy in Crohn's disease: correlation with SES-CD and clinical-biological markers.克罗恩病患者接受肿瘤坏死因子α抗体(抗TNF)治疗后磁共振小肠造影的变化:与SES-CD及临床生物学标志物的相关性
BMC Med Imaging. 2016 May 5;16(1):37. doi: 10.1186/s12880-016-0139-7.
7
Endoscopic evaluation of Crohn's disease activity: comparison of the CDEIS and the SES-CD.克罗恩病活动的内镜评估:CDEIS 与 SES-CD 的比较。
Inflamm Bowel Dis. 2010 Dec;16(12):2131-6. doi: 10.1002/ibd.21300.
8
Faecal calprotectin and magnetic resonance imaging in detecting Crohn's disease endoscopic postoperative recurrence.粪便钙卫蛋白和磁共振成像检测克罗恩病内镜术后复发。
World J Gastroenterol. 2018 Feb 7;24(5):641-650. doi: 10.3748/wjg.v24.i5.641.
9
MR Enterography Assessment of Bowel Inflammation Severity in Crohn Disease Using the MR Index of Activity Score: Modifying Roles of DWI and Effects of Contrast Phases.使用磁共振活动评分指数对克罗恩病肠道炎症严重程度进行磁共振肠造影评估:弥散加权成像的修正作用及对比剂分期的影响
AJR Am J Roentgenol. 2017 May;208(5):1022-1029. doi: 10.2214/AJR.16.17324. Epub 2017 Feb 22.
10
Magnetic resonance enterography, colonoscopy, and fecal calprotectin correlate in colonic Crohn's disease.磁共振肠造影、结肠镜检查和粪便钙卫蛋白在结肠克罗恩病中具有相关性。
BMC Gastroenterol. 2019 Dec 5;19(1):210. doi: 10.1186/s12876-019-1125-7.

引用本文的文献

1
Evaluating the diagnostic accuracy of magnetic resonance imaging in distinguishing strictures in Crohn's disease: a systematic review and meta-analysis.评价磁共振成像诊断克罗恩病狭窄的准确性:系统评价和荟萃分析。
Int J Colorectal Dis. 2023 Oct 26;38(1):258. doi: 10.1007/s00384-023-04544-0.
2
Correlation between magnetic resonance enterography and ileo-colonoscopy for assessment of disease activity in terminal ileal Crohn's disease.磁共振肠造影与回结肠镜检查评估末端回肠克罗恩病活动度的相关性。
Indian J Gastroenterol. 2022 Oct;41(5):465-474. doi: 10.1007/s12664-022-01242-7. Epub 2022 Nov 11.
3
Changes in the Management of Patients with Crohn's Disease Based on Magnetic Resonance Enterography Patterns.

本文引用的文献

1
Diffusion-weighted imaging in quiescent Crohn's disease: correlation with inflammatory biomarkers and video capsule endoscopy.静止期克罗恩病的扩散加权成像:与炎症生物标志物及视频胶囊内镜检查的相关性
Clin Radiol. 2017 Sep;72(9):798.e7-798.e13. doi: 10.1016/j.crad.2017.04.006. Epub 2017 May 13.
2
MR Enterography Assessment of Bowel Inflammation Severity in Crohn Disease Using the MR Index of Activity Score: Modifying Roles of DWI and Effects of Contrast Phases.使用磁共振活动评分指数对克罗恩病肠道炎症严重程度进行磁共振肠造影评估:弥散加权成像的修正作用及对比剂分期的影响
AJR Am J Roentgenol. 2017 May;208(5):1022-1029. doi: 10.2214/AJR.16.17324. Epub 2017 Feb 22.
3
基于磁共振肠造影模式的克罗恩病患者管理的变化
Gastroenterol Res Pract. 2019 Dec 17;2019:3467316. doi: 10.1155/2019/3467316. eCollection 2019.
Comparison of three magnetic resonance enterography indices for grading activity in Crohn's disease.
三种磁共振小肠造影指数在克罗恩病活动度分级中的比较
J Gastroenterol. 2017 May;52(5):585-593. doi: 10.1007/s00535-016-1253-6. Epub 2016 Sep 6.
4
Magnetic resonance enterography changes after antibody to tumor necrosis factor (anti-TNF) alpha therapy in Crohn's disease: correlation with SES-CD and clinical-biological markers.克罗恩病患者接受肿瘤坏死因子α抗体(抗TNF)治疗后磁共振小肠造影的变化:与SES-CD及临床生物学标志物的相关性
BMC Med Imaging. 2016 May 5;16(1):37. doi: 10.1186/s12880-016-0139-7.
5
Usefulness of diffusion tensor imaging for the differentiation between low-fat angiomyolipoma and clear cell carcinoma of the kidney.扩散张量成像在鉴别肾低脂血管平滑肌脂肪瘤与肾透明细胞癌中的应用价值。
Springerplus. 2016 Jan 4;5:12. doi: 10.1186/s40064-015-1627-x. eCollection 2016.
6
Changes in dynamic contrast-enhanced pharmacokinetic and diffusion-weighted imaging parameters reflect response to anti-TNF therapy in Crohn's disease.动态对比增强药代动力学和扩散加权成像参数的变化反映了克罗恩病患者对抗肿瘤坏死因子治疗的反应。
Br J Radiol. 2015;88(1055):20150547. doi: 10.1259/bjr.20150547. Epub 2015 Sep 24.
7
The influence of anti-TNF therapy on the magnetic resonance enterographic parameters of Crohn's disease activity.抗TNF治疗对克罗恩病活动度磁共振小肠造影参数的影响。
Abdom Imaging. 2015 Oct;40(7):2210-8. doi: 10.1007/s00261-015-0466-0.
8
Magnetic resonance enterographic predictors of one-year outcome in ileal and ileocolonic Crohn's disease treated with anti-tumor necrosis factor antibodies.抗肿瘤坏死因子抗体治疗的回肠及回结肠型克罗恩病一年预后的磁共振小肠造影预测因素
Sci Rep. 2015 May 20;5:10223. doi: 10.1038/srep10223.
9
Comparison of magnetic resonance and balloon enteroscopic examination of the small intestine in patients with Crohn's disease.磁共振与气囊小肠镜检查对克罗恩病患者小肠病变的对比研究。
Gastroenterology. 2014 Aug;147(2):334-342.e3. doi: 10.1053/j.gastro.2014.04.008. Epub 2014 Apr 13.
10
Imaging Crohn disease: MR enterography.克罗恩病的影像学检查:磁共振肠造影
J Comput Assist Tomogr. 2014 Mar-Apr;38(2):219-27. doi: 10.1097/RCT.0000000000000020.