Suppr超能文献

尿道马松血管瘤:一例报告

Masson's Hemangioma of the Urethra: A Case Report.

作者信息

Abdal Khadijeh, Hafezi Ahmadi Mohammadreza

机构信息

Department of Oral and Maxillofacial Pathology, Faculty of Dentistry, Ilam University of Medical Sciences, Ilam, Iran.

Department of Pathology, Ilam University of Medical Sciences, Ilam, Iran.

出版信息

Iran J Med Sci. 2018 May;43(3):336-339.

Abstract

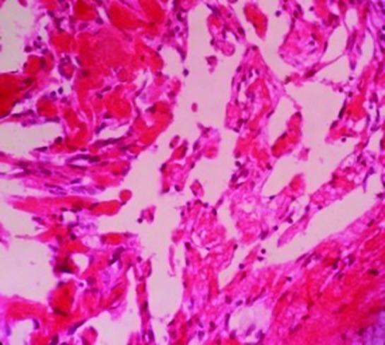
Intravascular papillary endothelial hyperplasia (IPEH) is an uncommon benign vascular disease characterized by endothelial cell proliferation and papillary formation within the lumen of blood vessels arising from an organizing thrombus. The occurrence of this uncommon lesion is about 2% of all vascular tumors. IPEH mostly occurs in the 5th decade of life, and there is no gender or age predilection. Nevertheless, some studies have suggested that IPEH is more common in women than in men. The clinical features are mostly asymptomatic, and the lesion is typically characterized as a small, firm, slightly elevated mass with red to blue discoloration of the overlying skin. The main diagnosis of the lesion is based on histological examination. The most common locations of IPEH are head and neck, fingers, and trunk. The occurrence of IPEH in the urethra is extremely rare, with only a few cases having been reported in the literature. We describe a 70-year-old woman with a complaint of dysuria and urethral bleeding of 3 days' duration. Clinically, the lesion was a palpable firm mass in the urethra. Urethrocystoscopy illustrated a dark mass, a few millimeters in size, with bleeding. Histologic findings revealed dilated blood vessels with multiple papillary projections into the lumen. Thus, based on these findings, a final diagnosis of Masson's tumor was confirmed. According to clinical and radiographic findings, this lesion is similar to malignant lesions and its accurate diagnosis is based on microscopic findings. Therefore, awareness of the microscopic characteristics of this tumor is very important for clinicians to rule out the presence of malignant vascular lesions and to avoid unnecessarily aggressive therapy.

摘要

血管内乳头状内皮增生(IPEH)是一种罕见的良性血管疾病,其特征是由机化血栓形成的血管腔内内皮细胞增生和乳头形成。这种罕见病变的发生率约占所有血管肿瘤的2%。IPEH大多发生在50岁左右,无性别或年龄倾向。然而,一些研究表明,IPEH在女性中比在男性中更常见。临床特征大多无症状,病变通常表现为一个小的、坚实的、轻度隆起的肿块,其上覆皮肤有红至蓝色变色。病变的主要诊断基于组织学检查。IPEH最常见的部位是头颈部、手指和躯干。IPEH发生于尿道极为罕见,文献中仅报道过少数病例。我们描述了一名70岁女性,主诉持续3天的排尿困难和尿道出血。临床上,病变是尿道内一个可触及的坚实肿块。尿道膀胱镜检查显示一个几毫米大小的深色肿块,伴有出血。组织学检查结果显示血管扩张,有多个乳头状突起伸入管腔。因此,基于这些发现,确诊为马松瘤。根据临床和影像学检查结果,该病变类似于恶性病变,其准确诊断基于显微镜检查结果。因此,了解这种肿瘤的微观特征对于临床医生排除恶性血管病变的存在以及避免不必要的积极治疗非常重要。

https://cdn.ncbi.nlm.nih.gov/pmc/blobs/6361/5993900/2c0eccc336b0/IJMS-43-336-g001.jpg

文献检索

告别复杂PubMed语法,用中文像聊天一样搜索,搜遍4000万医学文献。AI智能推荐,让科研检索更轻松。

立即免费搜索

文件翻译

保留排版,准确专业,支持PDF/Word/PPT等文件格式,支持 12+语言互译。

免费翻译文档

深度研究

AI帮你快速写综述,25分钟生成高质量综述,智能提取关键信息,辅助科研写作。

立即免费体验