Suppr超能文献

神经退行性变作为2例F组着色性干皮病成年患者的首发症状。

Neurodegeneration as the presenting symptom in 2 adults with xeroderma pigmentosum complementation group F.

作者信息

Shanbhag Niraj M, Geschwind Michael D, DiGiovanna John J, Groden Catherine, Godfrey Rena, Yousefzadeh Matthew J, Wade Erin A, Niedernhofer Laura J, Malicdan May Christine V, Kraemer Kenneth H, Gahl William A, Toro Camilo

机构信息

Department of Neurology (N.M.S., M.D.G.), University of California San Francisco, CA; Laboratory of Cancer Biology and Genetics (J.J.D., K.H.K.), Center for Cancer Research, National Cancer Institute, National Institutes of Health; NIH Undiagnosed Diseases Program (C.G., R.G., M.C.V.M., W.A.G., C.T.), National Human Genome Research Institute, National Institutes of Health, Bethesda, MD; and Department of Molecular Medicine (M.J.Y., E.A.W., L.J.N.), Center on Aging, The Scripps Research Institute, Jupiter, FL.

出版信息

Neurol Genet. 2018 Jun 8;4(3):e240. doi: 10.1212/NXG.0000000000000240. eCollection 2018 Jun.

Abstract

OBJECTIVE

To describe the features of 2 unrelated adults with xeroderma pigmentosum complementation group F (XP-F) ascertained in a neurology care setting.

METHODS

We report the clinical, imaging, molecular, and nucleotide excision repair (NER) capacity of 2 middle-aged women with progressive neurodegeneration ultimately diagnosed with XP-F.

RESULTS

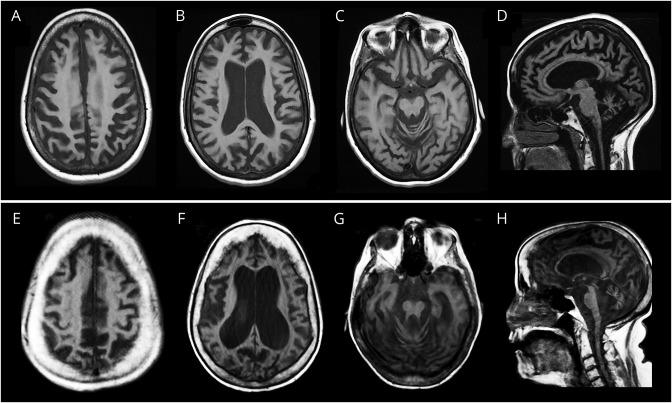
Both patients presented with adult-onset progressive neurologic deterioration involving chorea, ataxia, hearing loss, cognitive deficits, profound brain atrophy, and a history of skin photosensitivity, skin freckling, and/or skin neoplasms. We identified compound heterozygous pathogenic mutations in and confirmed deficient NER capacity in skin fibroblasts from both patients.

CONCLUSIONS

These cases illustrate the role of NER dysfunction in neurodegeneration and how adult-onset neurodegeneration could be the major symptom bringing XP-F patients to clinical attention. XP-F should be considered by neurologists in the differential diagnosis of patients with adult-onset progressive neurodegeneration accompanied by global brain atrophy and a history of heightened sun sensitivity, excessive freckling, and skin malignancies.

摘要

目的

描述在神经科护理环境中确诊的2例非亲缘关系的着色性干皮病F互补组(XP-F)成年患者的特征。

方法

我们报告了2例最终诊断为XP-F的进行性神经退行性变中年女性的临床、影像学、分子和核苷酸切除修复(NER)能力。

结果

2例患者均表现为成人期起病的进行性神经功能恶化,包括舞蹈症、共济失调、听力丧失、认知缺陷、严重脑萎缩,并有皮肤光敏性、皮肤雀斑和/或皮肤肿瘤病史。我们在[具体基因]中鉴定出复合杂合致病性突变,并证实2例患者皮肤成纤维细胞的NER能力均不足。

结论

这些病例说明了NER功能障碍在神经退行性变中的作用,以及成人期起病的神经退行性变如何可能是使XP-F患者引起临床关注的主要症状。神经科医生在对伴有全脑萎缩以及有日光敏感性增强、雀斑过多和皮肤恶性肿瘤病史的成人期起病进行性神经退行性变患者进行鉴别诊断时,应考虑XP-F。

https://cdn.ncbi.nlm.nih.gov/pmc/blobs/3d42/5994703/964d1120b13d/NG2017007278FF1.jpg

文献检索

告别复杂PubMed语法,用中文像聊天一样搜索,搜遍4000万医学文献。AI智能推荐,让科研检索更轻松。

立即免费搜索

文件翻译

保留排版,准确专业,支持PDF/Word/PPT等文件格式,支持 12+语言互译。

免费翻译文档

深度研究

AI帮你快速写综述,25分钟生成高质量综述,智能提取关键信息,辅助科研写作。

立即免费体验