• 文献检索
  • 文档翻译
  • 深度研究
  • 学术资讯
  • Suppr Zotero 插件Zotero 插件
  • 邀请有礼
  • 套餐&价格
  • 历史记录
应用&插件
Suppr Zotero 插件Zotero 插件浏览器插件Mac 客户端Windows 客户端微信小程序
定价
高级版会员购买积分包购买API积分包
服务
文献检索文档翻译深度研究API 文档MCP 服务
关于我们
关于 Suppr公司介绍联系我们用户协议隐私条款
关注我们

Suppr 超能文献

核心技术专利:CN118964589B侵权必究
粤ICP备2023148730 号-1Suppr @ 2026

文献检索

告别复杂PubMed语法,用中文像聊天一样搜索,搜遍4000万医学文献。AI智能推荐,让科研检索更轻松。

立即免费搜索

文件翻译

保留排版,准确专业,支持PDF/Word/PPT等文件格式,支持 12+语言互译。

免费翻译文档

深度研究

AI帮你快速写综述,25分钟生成高质量综述,智能提取关键信息,辅助科研写作。

立即免费体验

E2F1/SP3/STAT6 轴是 IL-4 诱导结直肠癌细胞上皮-间充质转化所必需的。

E2F1/SP3/STAT6 axis is required for IL-4-induced epithelial-mesenchymal transition of colorectal cancer cells.

机构信息

Department of Gastroenterology, Sanmen People's Hospital of Zhejiang, Sanmen, Zheijiang 317100, P.R. China.

Xuzhou Key Laboratory of Ophthalmology, The First People's Hospital of Xuzhou, Xuzhou, Jiangsu 221002, P.R. China.

出版信息

Int J Oncol. 2018 Aug;53(2):567-578. doi: 10.3892/ijo.2018.4429. Epub 2018 Jun 5.

DOI:10.3892/ijo.2018.4429
PMID:29901191
原文链接:https://pmc.ncbi.nlm.nih.gov/articles/PMC6017240/
Abstract

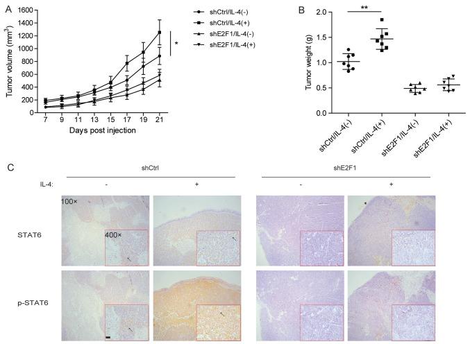
Colorectal cancer (CRC) is a type of cancer with a mortality rate among the highest worldwide owing to its high rate of metastasis. Therefore, inflammation-associated metastasis in the development of CRC is currently a topic of considerable interest. In the present study, the pro-inflammatory cytokine interleukin-4 (IL-4) was identified to promote the epithelial-mesenchymal transition (EMT) of CRC cells. However, the enhancing effect of IL-4 was more evident in HCT116 cells compared with in RKO cells. Accordingly, an increased expression level of STAT6 was observed in HCT116 cells compared with RKO cells. Further investigations identified that E2F1 was required for maintaining the level of signal transducer and activator of transcription 6 (STAT6) in HCT116 cells. Mechanistically, E2F1 induced specificity protein 3 (SP3) directly by binding to the promoter of the STAT6 gene and activating its transcription in CRC cells. As a result, phosphorylation-activated STAT6 increased the expression of several EMT drivers, including zinc finger E-box-binding homeobox (Zeb)1 and Zeb2, which serve a critical function in IL-4-induced EMT. Rescue experiments further confirmed that IL-4-induced EMT relied on an intact E2F1/SP3/STAT6 axis in CRC cells. Finally, analysis of clinical CRC specimens revealed a positive correlation between E2F1, SP3 and STAT6. The ectopically expressed E2F1/SP3/STAT6 axis indicated a poor prognosis in patients with CRC. In conclusion, the E2F1/SP3/STAT6 pathway was identified to be essential for IL-4 signaling-induced EMT and aggressiveness of CRC cells.

摘要

结直肠癌(CRC)是一种死亡率极高的癌症,其转移率很高,是导致死亡率高的主要原因。因此,炎症相关的转移在 CRC 的发展过程中是一个备受关注的话题。在本研究中,发现促炎细胞因子白细胞介素 4(IL-4)可促进 CRC 细胞的上皮间质转化(EMT)。然而,与 RKO 细胞相比,IL-4 在 HCT116 细胞中的增强作用更为明显。因此,与 RKO 细胞相比,在 HCT116 细胞中观察到 STAT6 的表达水平增加。进一步的研究表明,E2F1 是维持 HCT116 细胞中信号转导和转录激活因子 6(STAT6)水平所必需的。在机制上,E2F1 通过结合 STAT6 基因的启动子直接诱导特异性蛋白 3(SP3),并在 CRC 细胞中激活其转录。结果,磷酸化激活的 STAT6 增加了几个 EMT 驱动子的表达,包括锌指 E 盒结合同源框 1(Zeb1)和 Zeb2,它们在 IL-4 诱导的 EMT 中起着关键作用。挽救实验进一步证实,IL-4 诱导的 EMT 依赖于 CRC 细胞中完整的 E2F1/SP3/STAT6 轴。最后,对临床 CRC 标本的分析显示,E2F1、SP3 和 STAT6 之间呈正相关。E2F1/SP3/STAT6 轴的异位表达预示着 CRC 患者预后不良。总之,E2F1/SP3/STAT6 通路对于 IL-4 信号诱导的 EMT 和 CRC 细胞的侵袭性是必不可少的。

https://cdn.ncbi.nlm.nih.gov/pmc/blobs/cbb3/6017240/14d30799153a/IJO-53-02-0567-g07.jpg
https://cdn.ncbi.nlm.nih.gov/pmc/blobs/cbb3/6017240/25c83b33e794/IJO-53-02-0567-g00.jpg
https://cdn.ncbi.nlm.nih.gov/pmc/blobs/cbb3/6017240/e0f4f6f9d225/IJO-53-02-0567-g01.jpg
https://cdn.ncbi.nlm.nih.gov/pmc/blobs/cbb3/6017240/1f2af9a03396/IJO-53-02-0567-g02.jpg
https://cdn.ncbi.nlm.nih.gov/pmc/blobs/cbb3/6017240/c79c0c019dc3/IJO-53-02-0567-g03.jpg
https://cdn.ncbi.nlm.nih.gov/pmc/blobs/cbb3/6017240/8c93c011b731/IJO-53-02-0567-g04.jpg
https://cdn.ncbi.nlm.nih.gov/pmc/blobs/cbb3/6017240/7d97c86a3499/IJO-53-02-0567-g05.jpg
https://cdn.ncbi.nlm.nih.gov/pmc/blobs/cbb3/6017240/751a8df67f5b/IJO-53-02-0567-g06.jpg
https://cdn.ncbi.nlm.nih.gov/pmc/blobs/cbb3/6017240/14d30799153a/IJO-53-02-0567-g07.jpg
https://cdn.ncbi.nlm.nih.gov/pmc/blobs/cbb3/6017240/25c83b33e794/IJO-53-02-0567-g00.jpg
https://cdn.ncbi.nlm.nih.gov/pmc/blobs/cbb3/6017240/e0f4f6f9d225/IJO-53-02-0567-g01.jpg
https://cdn.ncbi.nlm.nih.gov/pmc/blobs/cbb3/6017240/1f2af9a03396/IJO-53-02-0567-g02.jpg
https://cdn.ncbi.nlm.nih.gov/pmc/blobs/cbb3/6017240/c79c0c019dc3/IJO-53-02-0567-g03.jpg
https://cdn.ncbi.nlm.nih.gov/pmc/blobs/cbb3/6017240/8c93c011b731/IJO-53-02-0567-g04.jpg
https://cdn.ncbi.nlm.nih.gov/pmc/blobs/cbb3/6017240/7d97c86a3499/IJO-53-02-0567-g05.jpg
https://cdn.ncbi.nlm.nih.gov/pmc/blobs/cbb3/6017240/751a8df67f5b/IJO-53-02-0567-g06.jpg
https://cdn.ncbi.nlm.nih.gov/pmc/blobs/cbb3/6017240/14d30799153a/IJO-53-02-0567-g07.jpg

相似文献

1
E2F1/SP3/STAT6 axis is required for IL-4-induced epithelial-mesenchymal transition of colorectal cancer cells.E2F1/SP3/STAT6 轴是 IL-4 诱导结直肠癌细胞上皮-间充质转化所必需的。
Int J Oncol. 2018 Aug;53(2):567-578. doi: 10.3892/ijo.2018.4429. Epub 2018 Jun 5.
2
IL-13/STAT6 signaling plays a critical role in the epithelial-mesenchymal transition of colorectal cancer cells.白细胞介素-13/信号转导及转录激活蛋白6信号通路在结肠癌细胞的上皮-间质转化中起关键作用。
Oncotarget. 2016 Sep 20;7(38):61183-61198. doi: 10.18632/oncotarget.11282.
3
Propofol prevents IL-13-induced epithelial-mesenchymal transition in human colorectal cancer cells.异丙酚可预防白细胞介素-13 诱导的人结直肠癌细胞上皮-间充质转化。
Cell Biol Int. 2018 Aug;42(8):985-993. doi: 10.1002/cbin.10964. Epub 2018 Apr 16.
4
Aberrantly expressed Fra-1 by IL-6/STAT3 transactivation promotes colorectal cancer aggressiveness through epithelial-mesenchymal transition.白细胞介素-6/信号转导与转录激活因子3反式激活异常表达的Fra-1通过上皮-间质转化促进结直肠癌侵袭性。
Carcinogenesis. 2015 Apr;36(4):459-68. doi: 10.1093/carcin/bgv017. Epub 2015 Mar 6.
5
NFYB-induced high expression of E2F1 contributes to oxaliplatin resistance in colorectal cancer via the enhancement of CHK1 signaling.NFYB 诱导的 E2F1 高表达通过增强 CHK1 信号促进结直肠癌对奥沙利铂的耐药性。
Cancer Lett. 2018 Feb 28;415:58-72. doi: 10.1016/j.canlet.2017.11.040. Epub 2017 Dec 22.
6
IWR-1 inhibits epithelial-mesenchymal transition of colorectal cancer cells through suppressing Wnt/β-catenin signaling as well as survivin expression.IWR-1通过抑制Wnt/β-连环蛋白信号通路以及survivin表达来抑制结肠癌细胞的上皮-间质转化。
Oncotarget. 2015 Sep 29;6(29):27146-59. doi: 10.18632/oncotarget.4354.
7
E2F1 modulates RCCD1 expression to participate in the initiation and progression of EMT in colorectal cancer.E2F1 调节 RCCD1 的表达,参与结直肠癌 EMT 的发生和发展。
Pathol Res Pract. 2024 Aug;260:155429. doi: 10.1016/j.prp.2024.155429. Epub 2024 Jul 14.
8
PDGF-D promotes cell growth, aggressiveness, angiogenesis and EMT transformation of colorectal cancer by activation of Notch1/Twist1 pathway.血小板源性生长因子-D通过激活Notch1/Twist1信号通路促进结直肠癌的细胞生长、侵袭性、血管生成和上皮-间质转化。
Oncotarget. 2017 Feb 7;8(6):9961-9973. doi: 10.18632/oncotarget.14283.
9
Transcription factor E2F1 promotes EMT by regulating ZEB2 in small cell lung cancer.转录因子 E2F1 通过调节小细胞肺癌中的 ZEB2 促进 EMT。
BMC Cancer. 2017 Nov 7;17(1):719. doi: 10.1186/s12885-017-3701-y.
10
Long non-coding RNA RP11-468E2.5 curtails colorectal cancer cell proliferation and stimulates apoptosis via the JAK/STAT signaling pathway by targeting STAT5 and STAT6.长非编码 RNA RP11-468E2.5 通过靶向 STAT5 和 STAT6 抑制 JAK/STAT 信号通路从而抑制结直肠癌细胞增殖并促进其凋亡。
J Exp Clin Cancer Res. 2019 Nov 12;38(1):465. doi: 10.1186/s13046-019-1428-0.

引用本文的文献

1
Dual roles and therapeutic targeting of tumor-associated macrophages in tumor microenvironments.肿瘤微环境中肿瘤相关巨噬细胞的双重作用及治疗靶点
Signal Transduct Target Ther. 2025 Aug 25;10(1):268. doi: 10.1038/s41392-025-02325-5.
2
Modeling the dynamics of EMT reveals genes associated with pan-cancer intermediate states and plasticity.上皮-间质转化动力学建模揭示了与泛癌中间状态和可塑性相关的基因。
NPJ Syst Biol Appl. 2025 Apr 10;11(1):31. doi: 10.1038/s41540-025-00512-2.
3
A Tc1- and Th1-T-lymphocyte-rich tumor microenvironment is a hallmark of MSI colorectal cancer.

本文引用的文献

1
Colon Cancer: Inflammation-Associated Cancer.结肠癌:炎症相关癌症。
Surg Oncol Clin N Am. 2018 Apr;27(2):269-287. doi: 10.1016/j.soc.2017.11.003. Epub 2017 Dec 15.
2
NFYB-induced high expression of E2F1 contributes to oxaliplatin resistance in colorectal cancer via the enhancement of CHK1 signaling.NFYB 诱导的 E2F1 高表达通过增强 CHK1 信号促进结直肠癌对奥沙利铂的耐药性。
Cancer Lett. 2018 Feb 28;415:58-72. doi: 10.1016/j.canlet.2017.11.040. Epub 2017 Dec 22.
3
Interleukin-4 and interleukin-13 increase NADPH oxidase 1-related proliferation of human colon cancer cells.
富含Tc1和Th1 T淋巴细胞的肿瘤微环境是微卫星不稳定结直肠癌的一个标志。
J Pathol. 2025 Jun;266(2):192-203. doi: 10.1002/path.6415. Epub 2025 Apr 3.
4
Role of amino acid metabolism in tumor immune microenvironment of colorectal cancer.氨基酸代谢在结直肠癌肿瘤免疫微环境中的作用
Am J Cancer Res. 2025 Jan 15;15(1):233-247. doi: 10.62347/ZSOO2247. eCollection 2025.
5
Identification of a distinctive immunogenomic gene signature in stage-matched colorectal cancer.在分期匹配的结直肠癌中鉴定独特的免疫基因组基因特征
J Cancer Res Clin Oncol. 2024 Dec 14;151(1):9. doi: 10.1007/s00432-024-06034-4.
6
CD4 T cells in antitumor immunity.抗肿瘤免疫中的CD4 T细胞。
Trends Cancer. 2024 Oct;10(10):969-985. doi: 10.1016/j.trecan.2024.07.009. Epub 2024 Sep 5.
7
Integrated machine learning algorithms reveal a bone metastasis-related signature of circulating tumor cells in prostate cancer.集成机器学习算法揭示了前列腺癌循环肿瘤细胞中与骨转移相关的特征。
Sci Data. 2024 Jun 27;11(1):701. doi: 10.1038/s41597-024-03551-2.
8
Chemokines and Cytokines in Immunotherapy of Melanoma and Other Tumors: From Biomarkers to Therapeutic Targets.趋化因子和细胞因子在黑色素瘤和其他肿瘤的免疫治疗中的作用:从生物标志物到治疗靶点。
Int J Mol Sci. 2024 Jun 13;25(12):6532. doi: 10.3390/ijms25126532.
9
Immunocytes interact directly with cancer cells in the tumor microenvironment: one coin with two sides and future perspectives.免疫细胞在肿瘤微环境中与癌细胞直接相互作用:一枚硬币的两面及其未来展望。
Front Immunol. 2024 May 22;15:1388176. doi: 10.3389/fimmu.2024.1388176. eCollection 2024.
10
DNA methylation regulator-based molecular subtyping and tumor microenvironment characterization in hepatocellular carcinoma.基于 DNA 甲基化调控因子的肝癌分子亚型分类和肿瘤微环境特征分析。
Front Immunol. 2024 Apr 26;15:1333923. doi: 10.3389/fimmu.2024.1333923. eCollection 2024.
白细胞介素-4和白细胞介素-13可增强人结肠癌细胞中与NADPH氧化酶1相关的增殖作用。
Oncotarget. 2017 Jun 13;8(24):38113-38135. doi: 10.18632/oncotarget.17494.
4
Lack of STAT6 Attenuates Inflammation and Drives Protection against Early Steps of Colitis-Associated Colon Cancer.STAT6 缺失可减轻炎症并有助于预防结肠炎相关结肠癌的早期步骤。
Cancer Immunol Res. 2017 May;5(5):385-396. doi: 10.1158/2326-6066.CIR-16-0168. Epub 2017 Apr 6.
5
IL-13/STAT6 signaling plays a critical role in the epithelial-mesenchymal transition of colorectal cancer cells.白细胞介素-13/信号转导及转录激活蛋白6信号通路在结肠癌细胞的上皮-间质转化中起关键作用。
Oncotarget. 2016 Sep 20;7(38):61183-61198. doi: 10.18632/oncotarget.11282.
6
Specificity protein (Sp) transcription factors Sp1, Sp3 and Sp4 are non-oncogene addiction genes in cancer cells.特异性蛋白(Sp)转录因子Sp1、Sp3和Sp4是癌细胞中的非癌基因成瘾性基因。
Oncotarget. 2016 Apr 19;7(16):22245-56. doi: 10.18632/oncotarget.7925.
7
Integrin-linked kinase as a novel molecular switch of the IL-6-NF-κB signaling loop in breast cancer.整合素连接激酶作为乳腺癌中白细胞介素-6-核因子κB信号环的新型分子开关
Carcinogenesis. 2016 Apr;37(4):430-442. doi: 10.1093/carcin/bgw020. Epub 2016 Feb 19.
8
Targeting IL4/IL4R for the treatment of epithelial cancer metastasis.靶向IL4/IL4R用于治疗上皮癌转移。
Clin Exp Metastasis. 2015 Dec;32(8):847-56. doi: 10.1007/s10585-015-9747-9. Epub 2015 Sep 18.
9
Tumor-Elicited Inflammation and Colorectal Cancer.肿瘤诱发的炎症与结直肠癌。
Adv Cancer Res. 2015;128:173-96. doi: 10.1016/bs.acr.2015.04.014. Epub 2015 May 28.
10
E2F1 promote the aggressiveness of human colorectal cancer by activating the ribonucleotide reductase small subunit M2.E2F1通过激活核糖核苷酸还原酶小亚基M2促进人类结直肠癌的侵袭性。
Biochem Biophys Res Commun. 2015 Aug 21;464(2):407-15. doi: 10.1016/j.bbrc.2015.06.103. Epub 2015 Jun 18.