• 文献检索
  • 文档翻译
  • 深度研究
  • 学术资讯
  • Suppr Zotero 插件Zotero 插件
  • 邀请有礼
  • 套餐&价格
  • 历史记录
应用&插件
Suppr Zotero 插件Zotero 插件浏览器插件Mac 客户端Windows 客户端微信小程序
定价
高级版会员购买积分包购买API积分包
服务
文献检索文档翻译深度研究API 文档MCP 服务
关于我们
关于 Suppr公司介绍联系我们用户协议隐私条款
关注我们

Suppr 超能文献

核心技术专利:CN118964589B侵权必究
粤ICP备2023148730 号-1Suppr @ 2026

文献检索

告别复杂PubMed语法,用中文像聊天一样搜索,搜遍4000万医学文献。AI智能推荐,让科研检索更轻松。

立即免费搜索

文件翻译

保留排版,准确专业,支持PDF/Word/PPT等文件格式,支持 12+语言互译。

免费翻译文档

深度研究

AI帮你快速写综述,25分钟生成高质量综述,智能提取关键信息,辅助科研写作。

立即免费体验

急性脊柱侧弯作为肺炎的一种罕见表现:一例病例报告。

Acute scoliosis as an unusual presentation of pneumonia: A case report.

作者信息

Atwal Rajan, Stewart Charles

机构信息

Department of Paediatric Emergency, Chelsea and Westminster Hospital, Chelsea, London.

出版信息

Medicine (Baltimore). 2018 Jun;97(24):e10580. doi: 10.1097/MD.0000000000010580.

DOI:10.1097/MD.0000000000010580
PMID:29901573
原文链接:https://pmc.ncbi.nlm.nih.gov/articles/PMC6024161/
Abstract

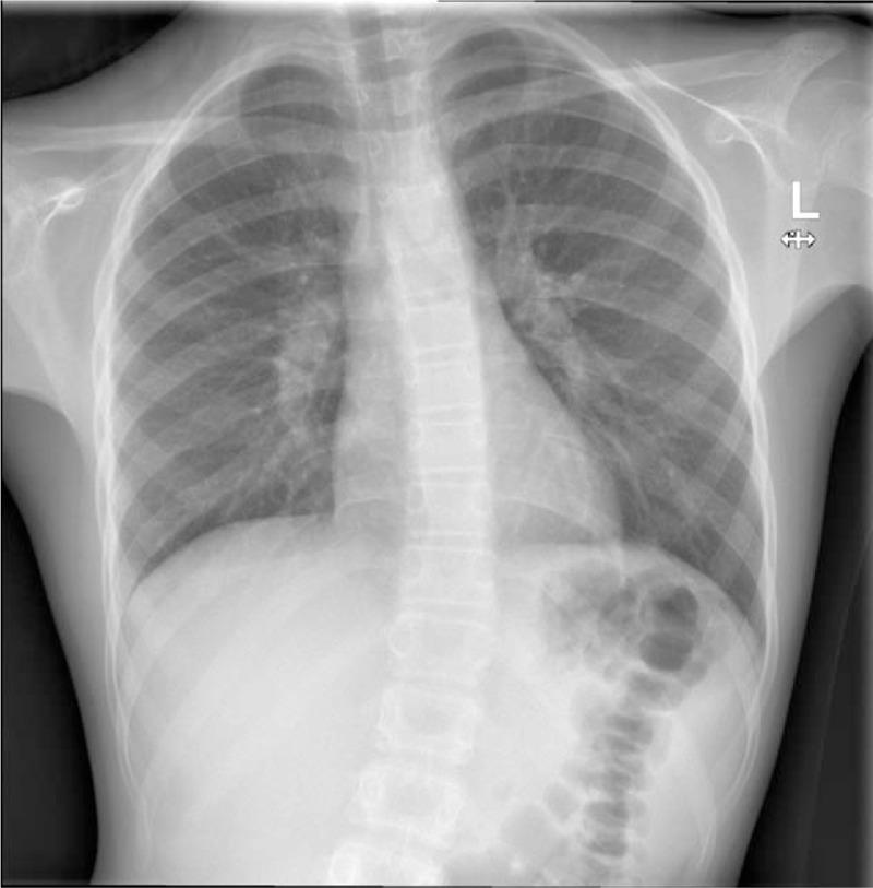
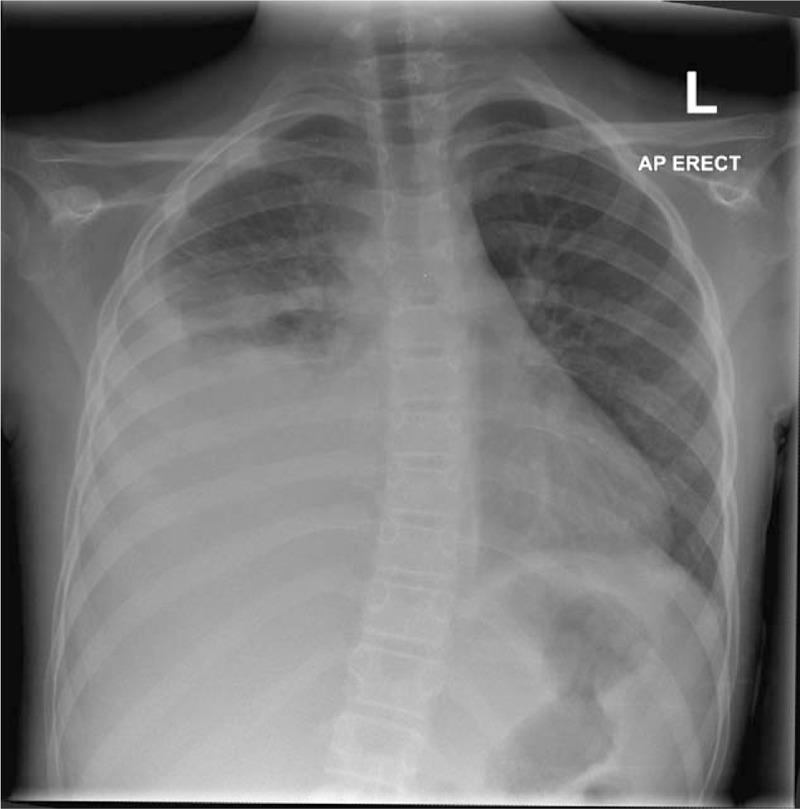
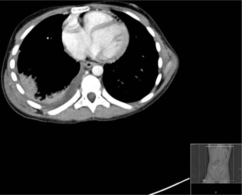
We describe the unique case of a child with pneumonia presenting with acute scoliosis and abdominal pain, without any typical features of the disease.A 10-year-old girl presented to the emergency department on 3 consecutive days with right-sided abdominal pain. There were no associated features, in particular, no fevers or respiratory symptoms. On the first 2 presentations, observation,examination, and blood test findings were unremarkable. Chest x-ray and abdominal ultrasound were also normal. On the third presentation a marked scoliosis was noted and abdominal examination revealed right-sided tenderness with rebound. The patient was admitted and a computed tomographic scan of the abdomen arranged. Unexpectedly, this revealed a right lower lobe pneumonia and associated pleural effusion. Despite treatment, the parapneumonic effusion enlarged rapidly and she developed respiratory distress, necessitating transfer to a tertiary centre.The diagnosis of pneumonia can be challenging because of a lack of respiratory signs, the masking of systemic features by antipyretic effects of first-line analgesics, and a high rate of false-negative chest radiographs. The development of acute scoliosis should lead the clinician to strongly consider pneumonia in such circumstances.

摘要

我们描述了一例独特的病例,一名患有肺炎的儿童出现急性脊柱侧弯和腹痛,无该疾病的任何典型特征。一名10岁女孩连续三天因右侧腹痛到急诊科就诊。无相关特征,特别是无发热或呼吸道症状。在前两次就诊时,观察、检查及血液检查结果均无异常。胸部X光和腹部超声也均正常。第三次就诊时发现明显的脊柱侧弯,腹部检查显示右侧有压痛及反跳痛。患者入院并安排了腹部计算机断层扫描。出乎意料的是,扫描显示右下叶肺炎及相关胸腔积液。尽管进行了治疗,肺炎旁积液仍迅速增大,她出现了呼吸窘迫,因此需要转至三级医疗中心。由于缺乏呼吸道体征、一线镇痛药的退热作用掩盖了全身特征以及胸部X光片假阴性率高,肺炎的诊断可能具有挑战性。在这种情况下,急性脊柱侧弯的出现应促使临床医生高度怀疑肺炎。

https://cdn.ncbi.nlm.nih.gov/pmc/blobs/7f02/6024161/e29870cc2b9d/medi-97-e10580-g005.jpg
https://cdn.ncbi.nlm.nih.gov/pmc/blobs/7f02/6024161/843ca5ff0b09/medi-97-e10580-g001.jpg
https://cdn.ncbi.nlm.nih.gov/pmc/blobs/7f02/6024161/6c9a039641e0/medi-97-e10580-g002.jpg
https://cdn.ncbi.nlm.nih.gov/pmc/blobs/7f02/6024161/b77909b69bae/medi-97-e10580-g003.jpg
https://cdn.ncbi.nlm.nih.gov/pmc/blobs/7f02/6024161/47802074a23e/medi-97-e10580-g004.jpg
https://cdn.ncbi.nlm.nih.gov/pmc/blobs/7f02/6024161/e29870cc2b9d/medi-97-e10580-g005.jpg
https://cdn.ncbi.nlm.nih.gov/pmc/blobs/7f02/6024161/843ca5ff0b09/medi-97-e10580-g001.jpg
https://cdn.ncbi.nlm.nih.gov/pmc/blobs/7f02/6024161/6c9a039641e0/medi-97-e10580-g002.jpg
https://cdn.ncbi.nlm.nih.gov/pmc/blobs/7f02/6024161/b77909b69bae/medi-97-e10580-g003.jpg
https://cdn.ncbi.nlm.nih.gov/pmc/blobs/7f02/6024161/47802074a23e/medi-97-e10580-g004.jpg
https://cdn.ncbi.nlm.nih.gov/pmc/blobs/7f02/6024161/e29870cc2b9d/medi-97-e10580-g005.jpg

相似文献

1
Acute scoliosis as an unusual presentation of pneumonia: A case report.急性脊柱侧弯作为肺炎的一种罕见表现:一例病例报告。
Medicine (Baltimore). 2018 Jun;97(24):e10580. doi: 10.1097/MD.0000000000010580.
2
Acute scoliosis in a 3-year-old boy.
BMJ Case Rep. 2012 May 8;2012:bcr0120125594. doi: 10.1136/bcr.01.2012.5594.
3
Unexpected Pneumonia Diagnosis From Pediatric Abdominal Pain: A Case Report.小儿腹痛引发的意外肺炎诊断:一例报告
J Pediatr Health Care. 2022 Mar-Apr;36(2):170-173. doi: 10.1016/j.pedhc.2021.10.005. Epub 2021 Dec 24.
4
Arm pain and fever as an unusual presentation of lobar pneumonia in a 3-year-old girl: case report.一名3岁女童以手臂疼痛和发热为不寻常表现的大叶性肺炎:病例报告
Pediatr Emerg Care. 2011 May;27(5):420-1. doi: 10.1097/PEC.0b013e318218754e.
5
Severe case of pneumonia with pleural effusion in an immunocompromised woman due to .一名免疫功能低下女性因……出现重症肺炎伴胸腔积液。 (原文此处due to后内容缺失)
BMJ Case Rep. 2019 Jan 31;12(1):e227603. doi: 10.1136/bcr-2018-227603.
6
Comparative analysis of chest tube thoracostomy and video-assisted thoracoscopic surgery in empyema and parapneumonic effusion associated with pneumonia in children.小儿脓胸及肺炎旁胸腔积液行胸腔闭式引流术与电视辅助胸腔镜手术的对比分析
Surg Infect (Larchmt). 2008 Jun;9(3):317-23. doi: 10.1089/sur.2007.025.
7
Primary presentation of chronic calcific pancreatitis with massive unilateral pleural effusion.慢性钙化性胰腺炎伴大量单侧胸腔积液的初次表现。
BMJ Case Rep. 2013 Oct 15;2013:bcr2013009198. doi: 10.1136/bcr-2013-009198.
8
Abdominal Pain as Extrapulmonary Presentation of Pneumonia in an Adult: A Case Report.
Acta Med Iran. 2017 Feb;55(2):131-133.
9
Parapneumonic effusions and empyema.肺炎旁胸腔积液和脓胸
Clin Chest Med. 1985 Mar;6(1):55-62.
10
Typical or atypical pneumonia and severe acute respiratory symptoms in PICU.儿科重症监护病房中的典型或非典型肺炎及严重急性呼吸道症状
Clin Respir J. 2015 Jul;9(3):366-71. doi: 10.1111/crj.12149. Epub 2014 Jun 9.

引用本文的文献

1
Previously undiagnosed scoliosis presenting as pleuritic chest pain in the emergency department - a case series and a validating retrospective audit.先前未诊断出的脊柱侧凸在急诊科表现为胸痛 - 病例系列和验证性回顾性审计。
BMC Emerg Med. 2021 May 17;21(1):62. doi: 10.1186/s12873-021-00455-x.

本文引用的文献

1
False-negative chest radiographs in emergency department diagnosis of pneumonia.急诊科肺炎诊断中胸部X线片的假阴性结果
R I Med J (2013). 2014 Aug 1;97(8):20-3.
2
Abdominal pain in children with pneumonia.肺炎患儿的腹痛
Nurs Times. 2012;108(14-15):21.
3
Acute scoliosis in a 3-year-old boy.
BMJ Case Rep. 2012 May 8;2012:bcr0120125594. doi: 10.1136/bcr.01.2012.5594.
4
Reading and interpretation of chest X-ray in adults with community-acquired pneumonia.成人社区获得性肺炎的胸部 X 线阅读与解读。
Braz J Infect Dis. 2011 Nov-Dec;15(6):540-6.
5
British Thoracic Society guidelines for the management of community acquired pneumonia in children: update 2011.英国胸科学会儿童社区获得性肺炎管理指南:2011 年更新版。
Thorax. 2011 Oct;66 Suppl 2:ii1-23. doi: 10.1136/thoraxjnl-2011-200598.
6
Introduction and methods: British Thoracic Society Pleural Disease Guideline 2010.引言与方法:英国胸科学会2010年胸膜疾病指南
Thorax. 2010 Aug;65 Suppl 2:ii1-3. doi: 10.1136/thx.2010.137042.
7
Imaging of parapneumonic pleural effusions and empyema in children.儿童肺炎旁胸腔积液和脓胸的影像学检查
Pediatr Radiol. 2009 Jun;39(6):527-37. doi: 10.1007/s00247-008-1133-1. Epub 2009 Feb 6.
8
Chest radiograph vs. computed tomography scan in the evaluation for pneumonia.胸部X光片与计算机断层扫描在肺炎评估中的比较
J Emerg Med. 2009 Apr;36(3):266-70. doi: 10.1016/j.jemermed.2007.11.042. Epub 2008 Jun 20.
9
Chronic recurrent multifocal osteomyelitis presenting as acute scoliosis: a case report and review of literature.以急性脊柱侧弯为表现的慢性复发性多灶性骨髓炎:一例报告并文献复习
Eur Spine J. 2008 Sep;17 Suppl 2(Suppl 2):S248-52. doi: 10.1007/s00586-007-0516-6. Epub 2007 Oct 3.
10
Incidence and outcome of scoliosis in children with pleural infection.胸膜感染患儿脊柱侧弯的发病率及转归
Pediatr Pulmonol. 2007 Mar;42(3):221-4. doi: 10.1002/ppul.20555.