• 文献检索
  • 文档翻译
  • 深度研究
  • 学术资讯
  • Suppr Zotero 插件Zotero 插件
  • 邀请有礼
  • 套餐&价格
  • 历史记录
应用&插件
Suppr Zotero 插件Zotero 插件浏览器插件Mac 客户端Windows 客户端微信小程序
定价
高级版会员购买积分包购买API积分包
服务
文献检索文档翻译深度研究API 文档MCP 服务
关于我们
关于 Suppr公司介绍联系我们用户协议隐私条款
关注我们

Suppr 超能文献

核心技术专利:CN118964589B侵权必究
粤ICP备2023148730 号-1Suppr @ 2026

文献检索

告别复杂PubMed语法,用中文像聊天一样搜索,搜遍4000万医学文献。AI智能推荐,让科研检索更轻松。

立即免费搜索

文件翻译

保留排版,准确专业,支持PDF/Word/PPT等文件格式,支持 12+语言互译。

免费翻译文档

深度研究

AI帮你快速写综述,25分钟生成高质量综述,智能提取关键信息,辅助科研写作。

立即免费体验

巨大型颈纵隔淋巴管瘤的治疗:病例系列

Treatment of giant cervico-mediastinal lymphatic malformations: a case series.

作者信息

Nam So-Hyun, Kwon Kyoung-Ah

机构信息

Division of Pediatric Surgery, Department of Surgery, Dong-A University College of Medicine, Dong-A Medical Center, 26 Daesingongwon-Ro, Seo-Gu, Busan, 49201, South Korea.

Department of Pediatrics, Dong-A University College of Medicine, Dong-A Medical Center, Busan, South Korea.

出版信息

J Med Case Rep. 2018 Jun 15;12(1):167. doi: 10.1186/s13256-018-1705-0.

DOI:10.1186/s13256-018-1705-0
PMID:29903033
原文链接:https://pmc.ncbi.nlm.nih.gov/articles/PMC6002986/
Abstract

BACKGROUND

Lymphatic malformations are histologically benign vascular structures that vary in anatomic lesion and size. Extensive head and neck lymphatic malformations may be life-threatening. In the present study, we described three difficult-to-treat infants with giant cervico-mediastinal lymphatic malformations accompanied by severe respiratory distress.

CASE PRESENTATIONS

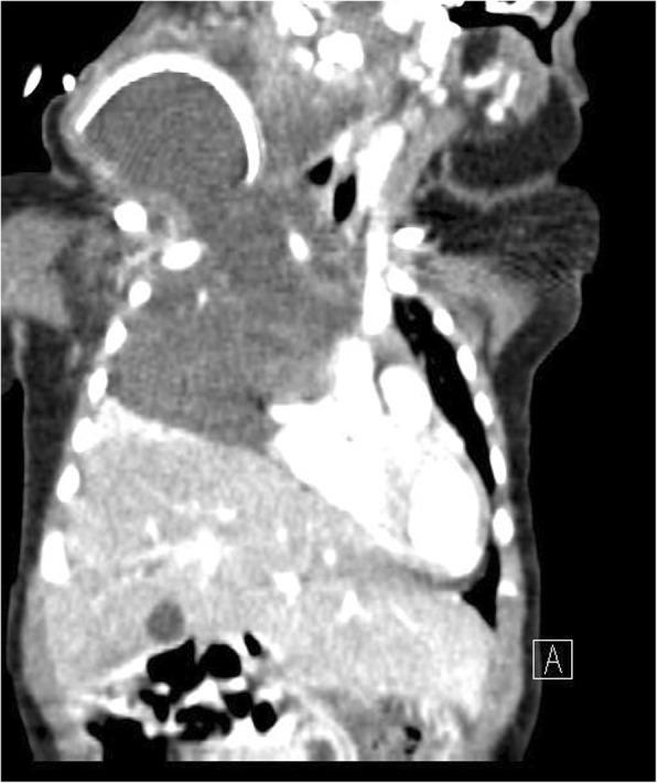
Case 1. A Korean girl born at a gestational age of 37 weeks and weighing 2920 g had a large cervical mass compressing the trachea. Despite initial OK-432 sclerotherapy, the mass extended over the contralateral retropharyngeal space and mediastinum. Although the cervical mass was completely excised, our patient was not weaned off the ventilator. The mediastinal lymphatic malformation was excised, and our patient underwent continued intensive respiratory care with nasal continuous positive airway pressure for 6 months. She is now 5 years old and doing well without any sequelae. Case 2. A 5-month-old Korean boy showed respiratory difficulty with feeding intolerance after partial excision of a neck lymphatic malformation. We found that the remnant cervical mass had grown into the retropharyngeal space and mediastinum. After a second operation for the cervico-mediastinal mass, he experienced severe respiratory difficulty requiring ventilator care for 6 months. However, he died from central-line fungal sepsis. Case 3. A 30-day-old Korean girl was referred for remnant lymphatic malformation after partial excision. The cervical mass extended to the mediastinum and occupied half of the thoracic cavity, encasing all of the major vessels. After surgical excision, she underwent ventilator care and pleurodesis three times with doxycycline for recurrent pleural effusion. At the age of 26 months, she was weaned off supplementary oxygen and she showed normal development without any sequelae.

CONCLUSIONS

Despite difficulties in the treatment process, combinations of delicate surgical treatment, appropriate adjuvant sclerotherapy, and intensive respiratory supportive care could result in a good outcome. However, complications due to long-term intensive care could still be considered.

摘要

背景

淋巴管畸形是组织学上良性的血管结构,其解剖病变和大小各不相同。广泛的头颈部淋巴管畸形可能危及生命。在本研究中,我们描述了三名患有巨大颈纵隔淋巴管畸形并伴有严重呼吸窘迫的难治性婴儿。

病例报告

病例1。一名孕37周出生、体重2920克的韩国女孩,颈部有一个巨大肿块压迫气管。尽管最初进行了OK-432硬化治疗,但肿块扩展到对侧咽后间隙和纵隔。尽管颈部肿块被完全切除,但我们的患者仍未脱机。纵隔淋巴管畸形被切除,我们的患者接受了持续6个月的鼻持续气道正压通气强化呼吸护理。她现在5岁,情况良好,没有任何后遗症。病例2。一名5个月大的韩国男孩在颈部淋巴管畸形部分切除后出现呼吸困难和喂养不耐受。我们发现残留的颈部肿块已长入咽后间隙和纵隔。在对颈纵隔肿块进行第二次手术后,他出现了严重的呼吸困难,需要呼吸机护理6个月。然而,他死于中心静脉导管相关真菌败血症。病例3。一名30天大的韩国女孩因部分切除后残留淋巴管畸形前来就诊。颈部肿块延伸至纵隔,占据胸腔的一半,包绕所有主要血管。手术切除后,她因复发性胸腔积液接受了三次呼吸机护理和强力霉素胸膜固定术。在26个月大时,她停用了补充氧气,发育正常,没有任何后遗症。

结论

尽管治疗过程存在困难,但精细的手术治疗、适当的辅助硬化治疗和强化的呼吸支持护理相结合可能会取得良好的效果。然而,仍需考虑长期强化护理引起的并发症。

https://cdn.ncbi.nlm.nih.gov/pmc/blobs/280d/6002986/33e119430455/13256_2018_1705_Fig4_HTML.jpg
https://cdn.ncbi.nlm.nih.gov/pmc/blobs/280d/6002986/03c3fb548f60/13256_2018_1705_Fig1_HTML.jpg
https://cdn.ncbi.nlm.nih.gov/pmc/blobs/280d/6002986/e9972ad7ad11/13256_2018_1705_Fig2_HTML.jpg
https://cdn.ncbi.nlm.nih.gov/pmc/blobs/280d/6002986/75d613933b15/13256_2018_1705_Fig3_HTML.jpg
https://cdn.ncbi.nlm.nih.gov/pmc/blobs/280d/6002986/33e119430455/13256_2018_1705_Fig4_HTML.jpg
https://cdn.ncbi.nlm.nih.gov/pmc/blobs/280d/6002986/03c3fb548f60/13256_2018_1705_Fig1_HTML.jpg
https://cdn.ncbi.nlm.nih.gov/pmc/blobs/280d/6002986/e9972ad7ad11/13256_2018_1705_Fig2_HTML.jpg
https://cdn.ncbi.nlm.nih.gov/pmc/blobs/280d/6002986/75d613933b15/13256_2018_1705_Fig3_HTML.jpg
https://cdn.ncbi.nlm.nih.gov/pmc/blobs/280d/6002986/33e119430455/13256_2018_1705_Fig4_HTML.jpg

相似文献

1
Treatment of giant cervico-mediastinal lymphatic malformations: a case series.巨大型颈纵隔淋巴管瘤的治疗:病例系列
J Med Case Rep. 2018 Jun 15;12(1):167. doi: 10.1186/s13256-018-1705-0.
2
Surgical excision is the treatment of choice for cervical lymphatic malformations with mediastinal expansion.手术切除是治疗伴有纵隔扩展的颈部淋巴管畸形的首选方法。
J Pediatr Surg. 2018 Sep;53(9):1820-1824. doi: 10.1016/j.jpedsurg.2017.10.048. Epub 2017 Oct 16.
3
Transoral Sclerotherapy for Deep Space Cervical Lymphatic Malformations in Children With Acute Airway Compromise.经口硬化治疗用于急性气道受压儿童的深部颈部淋巴管畸形
Ann Otol Rhinol Laryngol. 2015 Oct;124(10):824-8. doi: 10.1177/0003489415585868. Epub 2015 May 5.
4
Multistage Sclerotherapy for Extensive Lymphatic Malformations With Airway Involvement in Infant: A Protocol to Prevent Tracheotomy.婴儿广泛性淋巴管畸形伴气道受累的多阶段硬化治疗:预防气管切开术的方案
J Oral Maxillofac Surg. 2017 Sep;75(9):1882-1890. doi: 10.1016/j.joms.2017.03.006. Epub 2017 Mar 18.
5
Management of the low-flow head and neck vascular malformations in children: the sclerotherapy protocol.儿童低流量头颈部血管畸形的治疗:硬化治疗方案
Eur J Pediatr Surg. 2014 Feb;24(1):97-101. doi: 10.1055/s-0033-1354585. Epub 2013 Sep 5.
6
Percutaneous sclerotherapy in neonatal and infant head and neck lymphatic malformations: a single center experience.经皮硬化治疗新生儿和婴儿头颈部淋巴管畸形:单中心经验。
J Pediatr Surg. 2011 Nov;46(11):2083-95. doi: 10.1016/j.jpedsurg.2011.07.004.
7
Percutaneous Drainage and Povidone-Iodine Sclerotherapy of Cervical Lymphatic Malformation.经皮引流及聚维酮碘硬化治疗颈部淋巴管畸形
Yonsei Med J. 2017 Nov;58(6):1249-1251. doi: 10.3349/ymj.2017.58.6.1249.
8
Postoperative adjuvant OK-432 sclerotherapy for treatment of cervicofacial lymphatic malformations: an outcomes comparison.术后辅助使用溶链菌制剂硬化治疗颈面部淋巴管畸形:疗效比较
Int J Pediatr Otorhinolaryngol. 2015 Apr;79(4):570-5. doi: 10.1016/j.ijporl.2015.01.030. Epub 2015 Feb 7.
9
Multimodality treatment of pediatric lymphatic malformations of the head and neck using surgery and sclerotherapy.采用手术和硬化治疗法对头颈部小儿淋巴管瘤进行多模态治疗。
Arch Otolaryngol Head Neck Surg. 2010 Mar;136(3):270-6. doi: 10.1001/archoto.2010.6.
10
Airway response to sirolimus therapy for the treatment of complex pediatric lymphatic malformations.西罗莫司治疗小儿复杂性淋巴管瘤的气道反应
Int J Pediatr Otorhinolaryngol. 2015 Dec;79(12):2466-9. doi: 10.1016/j.ijporl.2015.10.031. Epub 2015 Oct 30.

引用本文的文献

1
A refractory right cervical mediastinal lymphangioma with medication and insertion of a Denver shunt.一例采用药物治疗及置入丹佛分流管的难治性右颈纵隔淋巴管瘤
J Surg Case Rep. 2024 Dec 19;2024(12):rjae799. doi: 10.1093/jscr/rjae799. eCollection 2024 Dec.
2
Bronchogenic cyst of the posterior neck mimicking lymphatic malformation.模仿淋巴管畸形的后颈部支气管源性囊肿。
Clin Case Rep. 2022 Mar 6;10(3):e05210. doi: 10.1002/ccr3.5210. eCollection 2022 Mar.

本文引用的文献

1
Postoperative adjuvant OK-432 sclerotherapy for treatment of cervicofacial lymphatic malformations: an outcomes comparison.术后辅助使用溶链菌制剂硬化治疗颈面部淋巴管畸形:疗效比较
Int J Pediatr Otorhinolaryngol. 2015 Apr;79(4):570-5. doi: 10.1016/j.ijporl.2015.01.030. Epub 2015 Feb 7.
2
Lymphatic malformations: diagnosis and management.淋巴管畸形:诊断与管理
Semin Pediatr Surg. 2014 Aug;23(4):178-85. doi: 10.1053/j.sempedsurg.2014.07.002. Epub 2014 Jul 15.
3
Current knowledge and management of vascular anomalies, II: malformations.
血管异常的当前知识与管理,II:畸形
Arch Facial Plast Surg. 2011 Nov-Dec;13(6):425-33. doi: 10.1001/archfacial.2011.795.
4
Traumatic hemorrhage and rapid expansion of a cervical lymphatic malformation.创伤性出血与颈部淋巴管畸形的快速扩展
Ear Nose Throat J. 2011 Jan;90(1):20-2. doi: 10.1177/014556131109000106.
5
Management of lymphatic malformations.淋巴管畸形的处理。
Clin Plast Surg. 2011 Jan;38(1):75-82. doi: 10.1016/j.cps.2010.08.006.
6
Facial nerve mapping and monitoring in lymphatic malformation surgery.淋巴管畸形手术中的面神经定位与监测
Int J Pediatr Otorhinolaryngol. 2009 Oct;73(10):1348-52. doi: 10.1016/j.ijporl.2009.06.008. Epub 2009 Jul 9.
7
Facial nerve anatomy, dissection and preservation in lymphatic malformation management.淋巴管畸形治疗中面神经的解剖、显露与保护
Int J Pediatr Otorhinolaryngol. 2008 Jun;72(6):759-66. doi: 10.1016/j.ijporl.2008.01.034. Epub 2008 Apr 2.
8
Surgery of lymphatic malformations in oral and cervicofacial regions in children.儿童口腔颌面部淋巴管畸形的外科治疗
Oral Surg Oral Med Oral Pathol Oral Radiol Endod. 2007 Sep;104(3):338-44. doi: 10.1016/j.tripleo.2006.12.025. Epub 2007 Apr 11.
9
Treatment of lymphangioma in children: our experience of 128 cases.儿童淋巴管瘤的治疗:我们128例的经验
J Pediatr Surg. 2007 Feb;42(2):386-9. doi: 10.1016/j.jpedsurg.2006.10.012.
10
Cervicofacial vascular anomalies. II. Vascular malformations.颈面部血管异常。II. 血管畸形。
Semin Pediatr Surg. 2006 May;15(2):133-9. doi: 10.1053/j.sempedsurg.2006.02.011.