• 文献检索
  • 文档翻译
  • 深度研究
  • 学术资讯
  • Suppr Zotero 插件Zotero 插件
  • 邀请有礼
  • 套餐&价格
  • 历史记录
应用&插件
Suppr Zotero 插件Zotero 插件浏览器插件Mac 客户端Windows 客户端微信小程序
定价
高级版会员购买积分包购买API积分包
服务
文献检索文档翻译深度研究API 文档MCP 服务
关于我们
关于 Suppr公司介绍联系我们用户协议隐私条款
关注我们

Suppr 超能文献

核心技术专利:CN118964589B侵权必究
粤ICP备2023148730 号-1Suppr @ 2026

文献检索

告别复杂PubMed语法,用中文像聊天一样搜索,搜遍4000万医学文献。AI智能推荐,让科研检索更轻松。

立即免费搜索

文件翻译

保留排版,准确专业,支持PDF/Word/PPT等文件格式,支持 12+语言互译。

免费翻译文档

深度研究

AI帮你快速写综述,25分钟生成高质量综述,智能提取关键信息,辅助科研写作。

立即免费体验

自噬小泡与包含柯克斯体的空泡之间的相互作用需要 CLTC(网格蛋白重链)。

Interaction between autophagic vesicles and the Coxiella-containing vacuole requires CLTC (clathrin heavy chain).

机构信息

a Department of Microbiology and Immunology , University of Melbourne at the Peter Doherty Institute for Infection and Immunity , Melbourne , Victoria , Australia.

出版信息

Autophagy. 2018;14(10):1710-1725. doi: 10.1080/15548627.2018.1483806. Epub 2018 Jul 29.

DOI:10.1080/15548627.2018.1483806
PMID:29973118
原文链接:https://pmc.ncbi.nlm.nih.gov/articles/PMC6135622/
Abstract

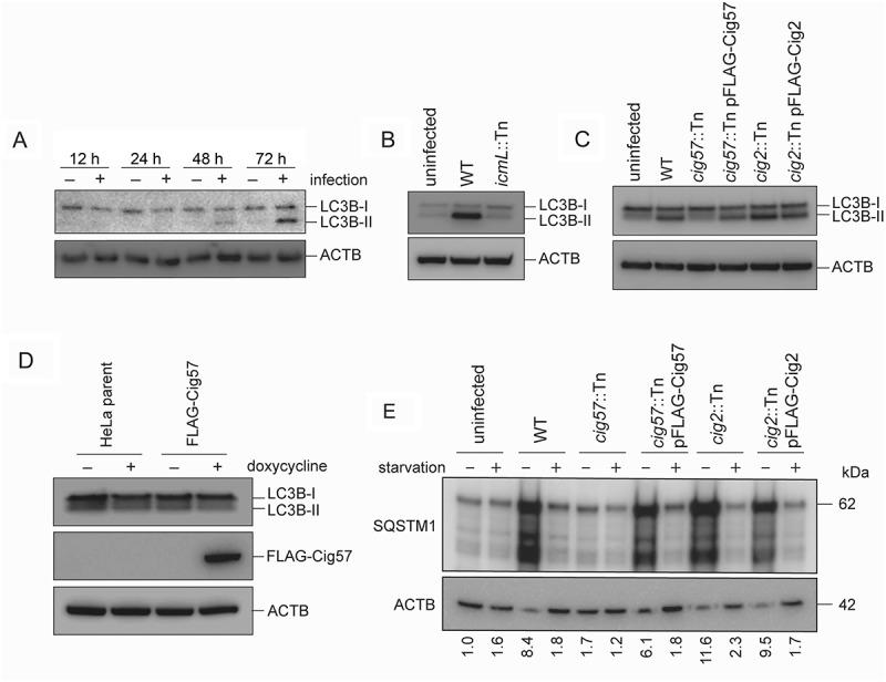
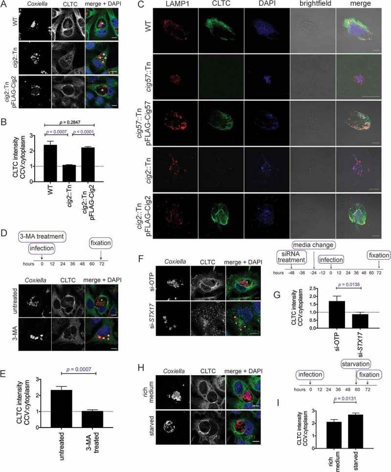
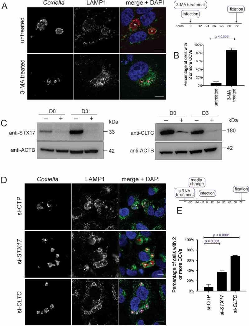
Coxiella burnetii is an intracellular bacterial pathogen which causes Q fever, a human infection with the ability to cause chronic disease with potentially life-threatening outcomes. In humans, Coxiella infects alveolar macrophages where it replicates to high numbers in a unique, pathogen-directed lysosome-derived vacuole. This compartment, termed the Coxiella-containing vacuole (CCV), has a low internal pH and contains markers both of lysosomes and autophagosomes. The CCV membrane is also enriched with CLTC (clathrin heavy chain) and this contributes to the success of the CCV. Here, we describe a role for CLTC, a scaffolding protein of clathrin-coated vesicles, in facilitating the fusion of autophagosomes with the CCV. During gene silencing of CLTC, CCVs are unable to fuse with each other, a phenotype also seen when silencing genes involved in macroautophagy/autophagy. MAP1LC3B/LC3B, which is normally observed inside the CCV, is excluded from CCVs in the absence of CLTC. Additionally, this study demonstrates that autophagosome fusion contributes to CCV size as cell starvation and subsequent autophagy induction leads to further CCV expansion. This is CLTC dependent, as the absence of CLTC renders autophagosomes no longer able to contribute to the expansion of the CCV. This investigation provides a functional link between CLTC and autophagy in the context of Coxiella infection and highlights the CCV as an important tool to explore the interactions between these vesicular trafficking pathways.

摘要

贝氏考克斯体是一种细胞内细菌病原体,可引起 Q 热,这是一种人类感染,有导致慢性疾病的能力,并有潜在的致命后果。在人类中,考克斯体感染肺泡巨噬细胞,在那里它在一个独特的、病原体定向的溶酶体衍生的空泡中大量复制。这个隔间被称为考克斯体包含的空泡(CCV),其内部 pH 值较低,并且包含溶酶体和自噬体的标志物。CCV 膜还富含 CLTC(网格蛋白重链),这有助于 CCV 的成功。在这里,我们描述了 CLTC 的作用,CLTC 是网格蛋白包被小泡的支架蛋白,它促进了自噬体与 CCV 的融合。在 CLTC 基因沉默期间,CCV 无法彼此融合,这种表型在沉默参与巨自噬/自噬的基因时也可见。MAP1LC3B/LC3B,通常在 CCV 内观察到,在没有 CLTC 的情况下从 CCV 中排除。此外,这项研究表明自噬体融合有助于 CCV 的大小,因为细胞饥饿和随后的自噬诱导导致 CCV 的进一步扩张。这是 CLTC 依赖的,因为缺乏 CLTC 使自噬体不再能够为 CCV 的扩张做出贡献。这项研究在考克斯体感染的背景下提供了 CLTC 和自噬之间的功能联系,并强调了 CCV 是探索这些囊泡运输途径之间相互作用的重要工具。

https://cdn.ncbi.nlm.nih.gov/pmc/blobs/4630/6135622/06e665767665/kaup-14-10-1483806-g008.jpg
https://cdn.ncbi.nlm.nih.gov/pmc/blobs/4630/6135622/69eddca5cf96/kaup-14-10-1483806-g001.jpg
https://cdn.ncbi.nlm.nih.gov/pmc/blobs/4630/6135622/107cc73ce7ff/kaup-14-10-1483806-g002.jpg
https://cdn.ncbi.nlm.nih.gov/pmc/blobs/4630/6135622/18aa4f5676eb/kaup-14-10-1483806-g003.jpg
https://cdn.ncbi.nlm.nih.gov/pmc/blobs/4630/6135622/8665ded3e397/kaup-14-10-1483806-g004.jpg
https://cdn.ncbi.nlm.nih.gov/pmc/blobs/4630/6135622/527ee3d7552b/kaup-14-10-1483806-g005.jpg
https://cdn.ncbi.nlm.nih.gov/pmc/blobs/4630/6135622/86147f9aedb6/kaup-14-10-1483806-g006.jpg
https://cdn.ncbi.nlm.nih.gov/pmc/blobs/4630/6135622/4290f9297874/kaup-14-10-1483806-g007.jpg
https://cdn.ncbi.nlm.nih.gov/pmc/blobs/4630/6135622/06e665767665/kaup-14-10-1483806-g008.jpg
https://cdn.ncbi.nlm.nih.gov/pmc/blobs/4630/6135622/69eddca5cf96/kaup-14-10-1483806-g001.jpg
https://cdn.ncbi.nlm.nih.gov/pmc/blobs/4630/6135622/107cc73ce7ff/kaup-14-10-1483806-g002.jpg
https://cdn.ncbi.nlm.nih.gov/pmc/blobs/4630/6135622/18aa4f5676eb/kaup-14-10-1483806-g003.jpg
https://cdn.ncbi.nlm.nih.gov/pmc/blobs/4630/6135622/8665ded3e397/kaup-14-10-1483806-g004.jpg
https://cdn.ncbi.nlm.nih.gov/pmc/blobs/4630/6135622/527ee3d7552b/kaup-14-10-1483806-g005.jpg
https://cdn.ncbi.nlm.nih.gov/pmc/blobs/4630/6135622/86147f9aedb6/kaup-14-10-1483806-g006.jpg
https://cdn.ncbi.nlm.nih.gov/pmc/blobs/4630/6135622/4290f9297874/kaup-14-10-1483806-g007.jpg
https://cdn.ncbi.nlm.nih.gov/pmc/blobs/4630/6135622/06e665767665/kaup-14-10-1483806-g008.jpg

相似文献

1
Interaction between autophagic vesicles and the Coxiella-containing vacuole requires CLTC (clathrin heavy chain).自噬小泡与包含柯克斯体的空泡之间的相互作用需要 CLTC(网格蛋白重链)。
Autophagy. 2018;14(10):1710-1725. doi: 10.1080/15548627.2018.1483806. Epub 2018 Jul 29.
2
Effector Protein Cig2 Decreases Host Tolerance of Infection by Directing Constitutive Fusion of Autophagosomes with the Coxiella-Containing Vacuole.效应蛋白Cig2通过引导自噬体与含柯克斯体空泡的组成型融合降低宿主对感染的耐受性。
mBio. 2016 Jul 19;7(4):e01127-16. doi: 10.1128/mBio.01127-16.
3
The Effector Cig57 Hijacks FCHO-Mediated Vesicular Trafficking to Facilitate Intracellular Replication of Coxiella burnetii.效应蛋白Cig57劫持FCHO介导的囊泡运输以促进伯纳特立克次体的细胞内复制。
PLoS Pathog. 2016 Dec 21;12(12):e1006101. doi: 10.1371/journal.ppat.1006101. eCollection 2016 Dec.
4
effector protein CvpF subverts RAB26-dependent autophagy to promote vacuole biogenesis and virulence.效应蛋白 CvpF 颠覆 RAB26 依赖性自噬以促进液泡发生和毒力。
Autophagy. 2021 Mar;17(3):706-722. doi: 10.1080/15548627.2020.1728098. Epub 2020 Mar 1.
5
Noncanonical Inhibition of mTORC1 by Coxiella burnetii Promotes Replication within a Phagolysosome-Like Vacuole.考克斯氏体对 mTORC1 的非规范抑制作用促进了在类似吞噬溶酶体的空泡内的复制。
mBio. 2019 Feb 5;10(1):e02816-18. doi: 10.1128/mBio.02816-18.
6
Coxiella burnetii Sterol-Modifying Protein Stmp1 Regulates Cholesterol in the Intracellular Niche.贝纳柯克斯体甾醇修饰蛋白 Stmp1 调控细胞内龛位中的胆固醇。
mBio. 2022 Feb 22;13(1):e0307321. doi: 10.1128/mbio.03073-21. Epub 2022 Jan 25.
7
inhibits nuclear translocation of TFEB, the master transcription factor for lysosomal biogenesis.抑制 TFEB 的核易位,TFEB 是溶酶体生物发生的主转录因子。
J Bacteriol. 2024 Aug 22;206(8):e0015024. doi: 10.1128/jb.00150-24. Epub 2024 Jul 26.
8
Dot/Icm-Translocated Proteins Important for Biogenesis of the Coxiella burnetii-Containing Vacuole Identified by Screening of an Effector Mutant Sublibrary.通过筛选效应子突变亚文库鉴定与含柯克斯体空泡生物发生相关的Dot/Icm 易位蛋白。
Infect Immun. 2018 Mar 22;86(4). doi: 10.1128/IAI.00758-17. Print 2018 Apr.
9
-containing vacuoles interact with host recycling endosomal proteins Rab11a and Rab35 for vacuolar expansion and bacterial growth.-含有空泡的 vacuoles 与宿主再循环内体蛋白 Rab11a 和 Rab35 相互作用,导致空泡扩张和细菌生长。
Front Cell Infect Microbiol. 2024 May 22;14:1394019. doi: 10.3389/fcimb.2024.1394019. eCollection 2024.
10
Replication of Coxiella burnetii in a Lysosome-Like Vacuole Does Not Require Lysosomal Hydrolases.贝氏柯克斯体在类溶酶体小泡中的复制并不需要溶酶体水解酶。
Infect Immun. 2019 Oct 18;87(11). doi: 10.1128/IAI.00493-19. Print 2019 Nov.

引用本文的文献

1
The battle between bacterial infection and autophagy in aquatic animals.水生动物中细菌感染与自噬之间的斗争。
Front Immunol. 2025 Jun 23;16:1614182. doi: 10.3389/fimmu.2025.1614182. eCollection 2025.
2
Small Extracellular Vesicles Orchestrate Cisplatin-Induced Ototoxicity: Potential Biomarker and Targets Discovery.小细胞外囊泡介导顺铂诱导的耳毒性:潜在生物标志物和靶点的发现
Adv Sci (Weinh). 2025 Aug;12(30):e02627. doi: 10.1002/advs.202502627. Epub 2025 May 24.
3
LC-MS-based quantitation of proteomic changes induced by Norcantharidin in MTB-Treated macrophages.

本文引用的文献

1
CHC22 and CHC17 clathrins have distinct biochemical properties and display differential regulation and function.CHC22 和 CHC17 网格蛋白具有不同的生化特性,并表现出不同的调节和功能。
J Biol Chem. 2017 Dec 22;292(51):20834-20844. doi: 10.1074/jbc.M117.816256. Epub 2017 Nov 2.
2
Regulation of autophagic lysosome reformation by kinesin 1, clathrin and phosphatidylinositol-4,5-bisphosphate.驱动蛋白1、网格蛋白和磷脂酰肌醇-4,5-二磷酸对自噬性溶酶体再形成的调控
Autophagy. 2018;14(1):1-2. doi: 10.1080/15548627.2017.1386821. Epub 2017 Dec 21.
3
Legionella effector Lpg1137 shuts down ER-mitochondria communication through cleavage of syntaxin 17.
基于液相色谱-质谱联用技术对去甲斑蝥素在MTB处理的巨噬细胞中诱导的蛋白质组变化进行定量分析。
Proteome Sci. 2024 Dec 4;22(1):13. doi: 10.1186/s12953-024-00235-y.
4
CRISPR-Cas9-based approaches for genetic analysis and epistatic interaction studies in .基于CRISPR-Cas9的用于基因分析和上位性相互作用研究的方法 。 你提供的原文似乎不完整,最后的“in.”后面缺少具体内容。
mSphere. 2024 Dec 19;9(12):e0052324. doi: 10.1128/msphere.00523-24. Epub 2024 Nov 19.
5
A conserved interaction between the effector Sca4 and host clathrin suggests additional contributions for Sca4 during rickettsial infection.效应蛋白Sca4与宿主网格蛋白之间的保守相互作用表明,Sca4在立克次氏体感染过程中还有其他作用。
Infect Immun. 2024 Dec 10;92(12):e0026724. doi: 10.1128/iai.00267-24. Epub 2024 Nov 13.
6
Coxiella burnetii protein CBU2016 supports CCV expansion.考克斯体蛋白 CBU2016 支持 CCV 扩张。
Pathog Dis. 2024 Feb 7;82. doi: 10.1093/femspd/ftae018.
7
effector CvpE maintains biogenesis of -containing vacuoles by suppressing lysosome tubulation through binding PI(3)P and perturbing PIKfyve activity on lysosomes.效应子 CvpE 通过结合 PI(3)P 和干扰溶酶体上 PIKfyve 的活性来抑制溶酶体小管化,从而维持含有 vacuoles 的生物发生。
Virulence. 2024 Dec;15(1):2350893. doi: 10.1080/21505594.2024.2350893. Epub 2024 May 9.
8
Complex Subunit and Glycoconjugate Vaccines and Their Potential to Elicit Cross-Protection to Complex.复合亚单位疫苗和糖缀合物疫苗及其引发对复合物交叉保护的潜力。
Vaccines (Basel). 2024 Mar 15;12(3):313. doi: 10.3390/vaccines12030313.
9
Pathogenesis: Emphasizing the Role of the Autophagic Pathway.发病机制:强调自噬途径的作用。
Arch Razi Inst. 2023 Jun 30;78(3):785-796. doi: 10.22092/ARI.2023.361161.2636. eCollection 2023 Jun.
10
The intricate dance: host autophagy and infection.复杂的相互作用:宿主自噬与感染
Front Microbiol. 2023 Sep 22;14:1281303. doi: 10.3389/fmicb.2023.1281303. eCollection 2023.
军团菌效应蛋白 Lpg1137 通过切割突触融合蛋白 17 来阻断内质网-线粒体通讯。
Nat Commun. 2017 May 15;8:15406. doi: 10.1038/ncomms15406.
4
The SCID Mouse Model for Identifying Virulence Determinants in .用于鉴定……中致病决定因素的重症联合免疫缺陷小鼠模型
Front Cell Infect Microbiol. 2017 Feb 3;7:25. doi: 10.3389/fcimb.2017.00025. eCollection 2017.
5
The Effector Cig57 Hijacks FCHO-Mediated Vesicular Trafficking to Facilitate Intracellular Replication of Coxiella burnetii.效应蛋白Cig57劫持FCHO介导的囊泡运输以促进伯纳特立克次体的细胞内复制。
PLoS Pathog. 2016 Dec 21;12(12):e1006101. doi: 10.1371/journal.ppat.1006101. eCollection 2016 Dec.
6
Effector Protein Cig2 Decreases Host Tolerance of Infection by Directing Constitutive Fusion of Autophagosomes with the Coxiella-Containing Vacuole.效应蛋白Cig2通过引导自噬体与含柯克斯体空泡的组成型融合降低宿主对感染的耐受性。
mBio. 2016 Jul 19;7(4):e01127-16. doi: 10.1128/mBio.01127-16.
7
Autophagosome-lysosome fusion triggers a lysosomal response mediated by TLR9 and controlled by OCRL.自噬体-溶酶体融合引发由TLR9介导并受OCRL调控的溶酶体反应。
Nat Cell Biol. 2016 Aug;18(8):839-850. doi: 10.1038/ncb3386. Epub 2016 Jul 11.
8
Murine Alveolar Macrophages Are Highly Susceptible to Replication of Coxiella burnetii Phase II In Vitro.小鼠肺泡巨噬细胞在体外对贝氏柯克斯体Ⅱ相的复制高度敏感。
Infect Immun. 2016 Aug 19;84(9):2439-48. doi: 10.1128/IAI.00411-16. Print 2016 Sep.
9
Coxiella burnetii effector CvpB modulates phosphoinositide metabolism for optimal vacuole development.伯氏考克斯氏体效应蛋白CvpB调节磷酸肌醇代谢以实现最佳液泡发育。
Proc Natl Acad Sci U S A. 2016 Jun 7;113(23):E3260-9. doi: 10.1073/pnas.1522811113. Epub 2016 May 25.
10
Legionella pneumophila S1P-lyase targets host sphingolipid metabolism and restrains autophagy.嗜肺军团菌S1P裂解酶靶向宿主鞘脂代谢并抑制自噬。
Proc Natl Acad Sci U S A. 2016 Feb 16;113(7):1901-6. doi: 10.1073/pnas.1522067113. Epub 2016 Feb 1.