• 文献检索
  • 文档翻译
  • 深度研究
  • 学术资讯
  • Suppr Zotero 插件Zotero 插件
  • 邀请有礼
  • 套餐&价格
  • 历史记录
应用&插件
Suppr Zotero 插件Zotero 插件浏览器插件Mac 客户端Windows 客户端微信小程序
定价
高级版会员购买积分包购买API积分包
服务
文献检索文档翻译深度研究API 文档MCP 服务
关于我们
关于 Suppr公司介绍联系我们用户协议隐私条款
关注我们

Suppr 超能文献

核心技术专利:CN118964589B侵权必究
粤ICP备2023148730 号-1Suppr @ 2026

文献检索

告别复杂PubMed语法,用中文像聊天一样搜索,搜遍4000万医学文献。AI智能推荐,让科研检索更轻松。

立即免费搜索

文件翻译

保留排版,准确专业,支持PDF/Word/PPT等文件格式,支持 12+语言互译。

免费翻译文档

深度研究

AI帮你快速写综述,25分钟生成高质量综述,智能提取关键信息,辅助科研写作。

立即免费体验

[具体物质]对铜螯合剂诱导的多发性硬化症大鼠模型记忆衰退的改善作用。 (注:原文中“Ameliorative effects of on”这里“of”后面缺少具体物质,翻译时补充了“[具体物质]”以便完整表意 )

Ameliorative effects of on cuprizone-induced memory decline in rat model of multiple sclerosis.

作者信息

Omotoso Gabriel Olaiya, Gbadamosi Ismail Temitayo, Afolabi Theresa Titilayo, Abdulwahab Ahmad Bolakale, Akinlolu Adelaja Abdulazeez

机构信息

Department of Anatomy, Faculty of Basic Medical Sciences, College of Health Sciences, University of Ilorin, Ilorin, Nigeria.

出版信息

Anat Cell Biol. 2018 Jun;51(2):119-127. doi: 10.5115/acb.2018.51.2.119. Epub 2018 Jun 27.

DOI:10.5115/acb.2018.51.2.119
PMID:29984057
原文链接:https://pmc.ncbi.nlm.nih.gov/articles/PMC6026826/
Abstract

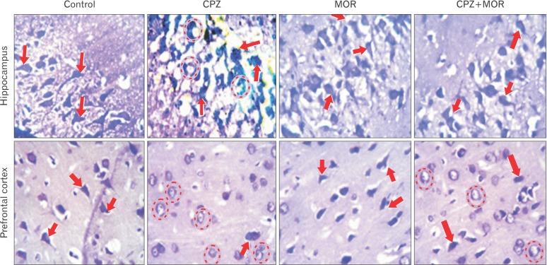
Cuprizone is a neurotoxin with copper-chelating ability used in animal model of multiple sclerosis in which oxidative stress has been documented as one of the cascade in the pathogenesis. is a phytomedicinal plant with antioxidant and neuroprotective properties. This study aimed at evaluating the ameliorative capability of in cuprizone-induced behavioral and histopathological alterations in the prefrontal cortex and hippocampus of Wistar rats. Four groups of rats were treated with normal saline, cuprizone, and a combination of and cuprizone, for five weeks. The rats were subjected to Morris water maze and Y-maze to assess long and short-term memory respectively. The animals were sacrificed, and brain tissues were removed for histochemical and enzyme lysate immunosorbent assay for catalase, superoxide dismutase, and nitric oxide. Cuprizone significantly induced oxidative and nitrosative stress coupled with memory decline and cortico-hippocampal neuronal deficits; however, administration of significantly reversed the neuropathological deficits induced by cuprizone.

摘要

曲吡酮是一种具有铜螯合能力的神经毒素,用于多发性硬化症动物模型,其中氧化应激已被证明是发病机制中的级联反应之一。[植物名称]是一种具有抗氧化和神经保护特性的植物药。本研究旨在评估[植物名称]对曲吡酮诱导的Wistar大鼠前额叶皮质和海马行为及组织病理学改变的改善能力。四组大鼠分别用生理盐水、曲吡酮、[植物名称]以及[植物名称]与曲吡酮的组合进行处理,持续五周。分别对大鼠进行莫里斯水迷宫和Y迷宫实验,以评估长期和短期记忆。处死动物后,取出脑组织进行组织化学分析以及过氧化氢酶、超氧化物歧化酶和一氧化氮的酶裂解物免疫吸附测定。曲吡酮显著诱导氧化和亚硝化应激,同时伴有记忆衰退和皮质-海马神经元缺陷;然而,给予[植物名称]可显著逆转曲吡酮诱导的神经病理学缺陷。

https://cdn.ncbi.nlm.nih.gov/pmc/blobs/26ab/6026826/f859dcab8555/acb-51-119-g003.jpg
https://cdn.ncbi.nlm.nih.gov/pmc/blobs/26ab/6026826/6634db7a43b1/acb-51-119-g001.jpg
https://cdn.ncbi.nlm.nih.gov/pmc/blobs/26ab/6026826/58284c629952/acb-51-119-g002.jpg
https://cdn.ncbi.nlm.nih.gov/pmc/blobs/26ab/6026826/f859dcab8555/acb-51-119-g003.jpg
https://cdn.ncbi.nlm.nih.gov/pmc/blobs/26ab/6026826/6634db7a43b1/acb-51-119-g001.jpg
https://cdn.ncbi.nlm.nih.gov/pmc/blobs/26ab/6026826/58284c629952/acb-51-119-g002.jpg
https://cdn.ncbi.nlm.nih.gov/pmc/blobs/26ab/6026826/f859dcab8555/acb-51-119-g003.jpg

相似文献

1
Ameliorative effects of on cuprizone-induced memory decline in rat model of multiple sclerosis.[具体物质]对铜螯合剂诱导的多发性硬化症大鼠模型记忆衰退的改善作用。 (注:原文中“Ameliorative effects of on”这里“of”后面缺少具体物质,翻译时补充了“[具体物质]”以便完整表意 )
Anat Cell Biol. 2018 Jun;51(2):119-127. doi: 10.5115/acb.2018.51.2.119. Epub 2018 Jun 27.
2
Neurotherapeutic and antioxidant response of D-ribose-L-Cysteine nutritional dietary supplements on Alzheimer-type hippocampal neurodegeneration induced by cuprizone in adult male wistar rat model.D-核糖-L-半胱氨酸营养膳食补充剂对成年雄性 Wistar 大鼠模型中海马神经退行性变的神经治疗和抗氧化反应,由铜绿假单胞菌诱导的阿尔茨海默病样。
Food Chem Toxicol. 2021 Jan;147:111862. doi: 10.1016/j.fct.2020.111862. Epub 2020 Nov 18.
3
Moringa oleifera Ameliorates Histomorphological Changes Associated with Cuprizone Neurotoxicity in the Hippocampal Cornu ammonis (CA) 3 Region.辣木改善与海马齿状回(CA)3区铜螯合剂神经毒性相关的组织形态学变化。
Niger J Physiol Sci. 2018 Jun 30;33(1):95-99.
4
leaves ethanolic extract counteracts cortical neurodegeneration induced by aluminum chloride in rats.树叶乙醇提取物可对抗氯化铝诱导的大鼠皮质神经变性。
Toxicol Res (Camb). 2024 Mar 5;13(2):tfae028. doi: 10.1093/toxres/tfae028. eCollection 2024 Apr.
5
Kolaviron protects the brain in cuprizone-induced model of experimental multiple sclerosis via enhancement of intrinsic antioxidant mechanisms: Possible therapeutic applications?可乐维隆通过增强内在抗氧化机制在铜离子螯合剂诱导的实验性多发性硬化模型中保护大脑:可能的治疗应用?
Pathophysiology. 2018 Dec;25(4):299-306. doi: 10.1016/j.pathophys.2018.04.004. Epub 2018 Apr 27.
6
Long-term consumption of -supplemented diet enhanced neurocognition, suppressed oxidative stress, acetylcholinesterase activity and neuronal degeneration in rat's hippocampus.长期摄入 - 补充饮食可增强大鼠海马体的神经认知功能,抑制氧化应激、乙酰胆碱酯酶活性和神经元退行性变。
Drug Metab Pers Ther. 2021 Mar 26;36(3):223-231. doi: 10.1515/dmpt-2020-0189.
7
Cuprizone toxicity and biflavonoid complex activity on hippocampal morphology and neurobehaviour.双醋铜中毒及双黄酮复合物对海马形态和神经行为的影响
Heliyon. 2019 Jul 18;5(7):e02102. doi: 10.1016/j.heliyon.2019.e02102. eCollection 2019 Jul.
8
Attenuation of lead-induced oxidative stress in rat brain, liver, kidney and blood of male Wistar rats by Moringa oleifera seed powder.辣木籽粉对雄性Wistar大鼠脑、肝、肾及血液中铅诱导的氧化应激的减轻作用。
J Environ Pathol Toxicol Oncol. 2014;33(4):323-37. doi: 10.1615/jenvironpatholtoxicoloncol.2014011656.
9
Antioxidant activities of Moringa oleifera leaf extract against pendimethalin-induced oxidative stress and genotoxicity in Nile tilapia, Oreochromis niloticus (L.).辣木叶片提取物对二甲戊灵诱导尼罗罗非鱼(Oreochromis niloticus (L.))氧化应激和遗传毒性的抗氧化活性。
Fish Physiol Biochem. 2019 Feb;45(1):71-82. doi: 10.1007/s10695-018-0535-8. Epub 2018 Jul 7.
10
Effects of Moringa oleifera on working memory: an experimental study with memory-impaired Wistar rats tested in radial arm maze.辣木对工作记忆的影响:一项在记忆受损的 Wistar 大鼠中进行的放射臂迷宫实验研究。
BMC Res Notes. 2022 Oct 3;15(1):314. doi: 10.1186/s13104-022-06219-5.

引用本文的文献

1
Neurotoxic effects of acyclovir: impacts on oxidative stress, inflammation, and neurotransmitter dynamics in male Wistar rats.阿昔洛韦的神经毒性作用:对雄性Wistar大鼠氧化应激、炎症和神经递质动力学的影响
Metab Brain Dis. 2025 Sep 2;40(7):255. doi: 10.1007/s11011-025-01694-8.
2
Protective effect of the Quercetin on experimental cuprizone-induced multiple sclerosis in male C57BL/6 mice.槲皮素对实验性铜离子螯合剂诱导的雄性C57BL/6小鼠多发性硬化症的保护作用。
Curr Res Physiol. 2025 May 23;8:100146. doi: 10.1016/j.crphys.2025.100146. eCollection 2025.
3
Potential therapeutic effects of ibudilast and retinoic acid against cuprizone-induced behavioral and biochemical changes in mouse brain.

本文引用的文献

1
Activation of the astrocytic Nrf2/ARE system ameliorates the formation of demyelinating lesions in a multiple sclerosis animal model.星形胶质细胞Nrf2/ARE系统的激活可改善多发性硬化症动物模型中脱髓鞘病变的形成。
Glia. 2016 Dec;64(12):2219-2230. doi: 10.1002/glia.23058. Epub 2016 Sep 19.
2
Natural Phytochemicals in the Treatment and Prevention of Dementia: An Overview.天然植物化学物质在痴呆症治疗与预防中的应用概述
Molecules. 2016 Apr 21;21(4):518. doi: 10.3390/molecules21040518.
3
Role of dimethyl fumarate in oxidative stress of multiple sclerosis: A review.
异丁司特和视黄酸对铜离子螯合剂诱导的小鼠脑行为和生化变化的潜在治疗作用。
Front Mol Neurosci. 2025 May 20;18:1567226. doi: 10.3389/fnmol.2025.1567226. eCollection 2025.
4
Neuroprotective effects of ghrelin in cuprizone-induced rat model of multiple sclerosis.胃饥饿素在铜离子螯合剂诱导的大鼠多发性硬化模型中的神经保护作用。
Metab Brain Dis. 2025 Apr 11;40(4):176. doi: 10.1007/s11011-025-01603-z.
5
Betaine alleviates deficits in motor behavior, neurotoxic effects, and neuroinflammatory responses in a rat model of demyelination.甜菜碱可减轻脱髓鞘大鼠模型中的运动行为缺陷、神经毒性作用和神经炎症反应。
Toxicol Rep. 2025 Feb 28;14:101974. doi: 10.1016/j.toxrep.2025.101974. eCollection 2025 Jun.
6
Co-administration of Naringin and NLRP3 Inhibitor Improves Myelin Repair and Mitigates Oxidative Stress in Cuprizone-Induced Demyelination Model.柚皮苷与NLRP3抑制剂联合给药可改善髓鞘修复并减轻铜离子螯合剂诱导的脱髓鞘模型中的氧化应激。
Curr Neuropharmacol. 2025;23(4):475-491. doi: 10.2174/1570159X23666241206102022.
7
Leaf Extract Improves Cognitive Function in Rat Offspring Born to Protein-Deficient Mothers.叶提取物可改善蛋白质缺乏型母亲所生大鼠后代的认知功能。
Biomedicines. 2025 Feb 3;13(2):346. doi: 10.3390/biomedicines13020346.
8
Berberine-loaded iron oxide nanoparticles alleviate cuprizone-induced astrocytic reactivity in a rat model of multiple sclerosis.负载黄连素的氧化铁纳米颗粒减轻了铜离子螯合剂诱导的多发性硬化大鼠模型中的星形胶质细胞反应性。
Biometals. 2025 Feb;38(1):203-229. doi: 10.1007/s10534-024-00648-4. Epub 2024 Nov 14.
9
The role of isothiocyanate-rich plants and supplements in neuropsychiatric disorders: a review and update.富含异硫氰酸盐的植物及补充剂在神经精神疾病中的作用:综述与更新
Front Nutr. 2024 Sep 30;11:1448130. doi: 10.3389/fnut.2024.1448130. eCollection 2024.
10
Comparative Neuroprotective Potential of Nanoformulated and Free Resveratrol Against Cuprizone-Induced Demyelination in Rats.纳米配方白藜芦醇和游离白藜芦醇对大鼠铜离子螯合剂诱导脱髓鞘的比较神经保护潜力
Mol Neurobiol. 2025 Mar;62(3):2710-2725. doi: 10.1007/s12035-024-04415-x. Epub 2024 Aug 17.
富马酸二甲酯在多发性硬化症氧化应激中的作用:综述
J Chromatogr B Analyt Technol Biomed Life Sci. 2016 Apr 15;1019:15-20. doi: 10.1016/j.jchromb.2016.02.010. Epub 2016 Feb 8.
4
Developmental cuprizone exposure impairs oligodendrocyte lineages differentially in cortical and white matter tissues and suppresses glutamatergic neurogenesis signals and synaptic plasticity in the hippocampal dentate gyrus of rats.发育过程中接触铜螯合剂对大鼠皮质和白质组织中的少突胶质细胞谱系有不同程度的损害,并抑制海马齿状回中的谷氨酸能神经发生信号和突触可塑性。
Toxicol Appl Pharmacol. 2016 Jan 1;290:10-20. doi: 10.1016/j.taap.2015.11.006. Epub 2015 Nov 11.
5
Cellular and molecular neuropathology of the cuprizone mouse model: clinical relevance for multiple sclerosis.铜灰模型的细胞与分子神经病理学:多发性硬化的临床相关性。
Neurosci Biobehav Rev. 2014 Nov;47:485-505. doi: 10.1016/j.neubiorev.2014.10.004.
6
Understanding disease processes in multiple sclerosis through magnetic resonance imaging studies in animal models.通过动物模型的磁共振成像研究来理解多发性硬化症的疾病进程。
Neuroimage Clin. 2014 Apr 24;4:743-56. doi: 10.1016/j.nicl.2014.04.011. eCollection 2014.
7
Glutathione in multiple sclerosis: more than just an antioxidant?多发性硬化症中的谷胱甘肽:不仅仅是一种抗氧化剂?
Mult Scler. 2014 Oct;20(11):1425-31. doi: 10.1177/1352458514533400. Epub 2014 May 19.
8
Protective effects of melatonin against mitochondrial injury in a mouse model of multiple sclerosis.褪黑素对多发性硬化症小鼠模型线粒体损伤的保护作用。
Exp Brain Res. 2014 Sep;232(9):2835-46. doi: 10.1007/s00221-014-3946-5. Epub 2014 May 6.
9
Pathology and disease mechanisms in different stages of multiple sclerosis.多发性硬化不同阶段的病理学及疾病机制
J Neurol Sci. 2013 Oct 15;333(1-2):1-4. doi: 10.1016/j.jns.2013.05.010. Epub 2013 Jun 2.
10
Coagulant and antibacterial activities of the water-soluble seed lectin from Moringa oleifera.辣木种子水溶凝集素的凝血和抗菌活性。
Lett Appl Microbiol. 2011 Aug;53(2):186-92. doi: 10.1111/j.1472-765X.2011.03089.x. Epub 2011 Jun 10.