Suppr超能文献

可卡因诱发双侧小脑后下动脉及海马梗死

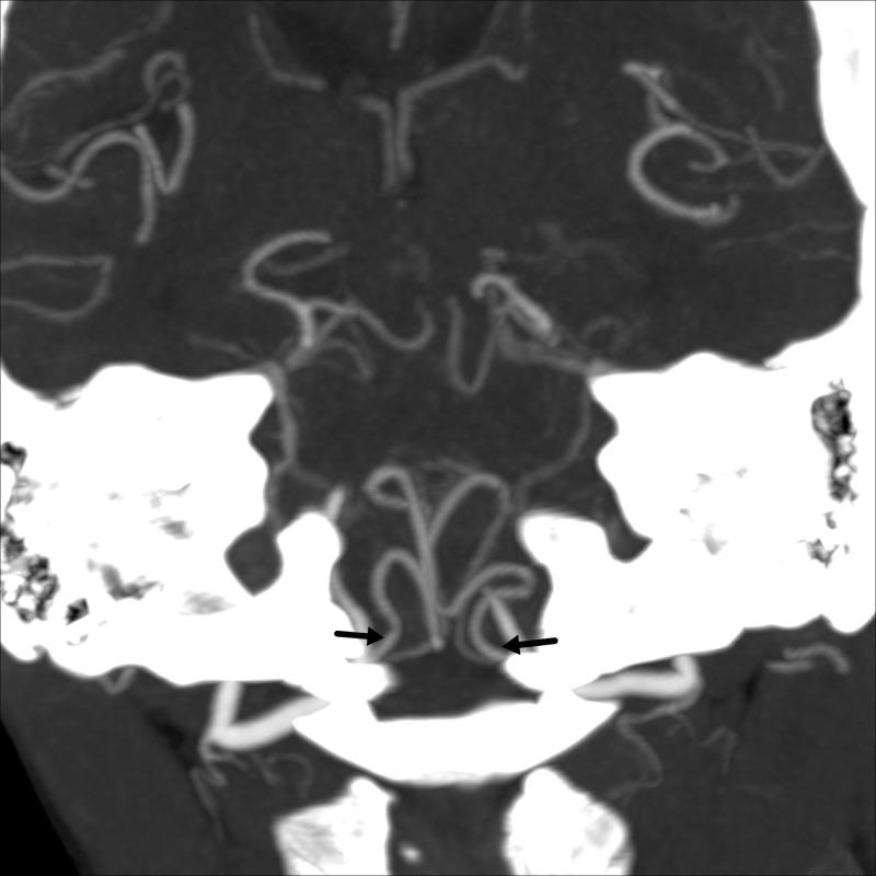
Cocaine Induced Bilateral Posterior Inferior Cerebellar Artery and Hippocampal Infarction.

作者信息

Mullaguri Naresh, Battineni Anusha, Narayan Aarti, Guddeti Raviteja

机构信息

Neurology, Cleveland Clinic Foundation, Cleveland, USA.

Division of Pulmonary and Critical Care Medicine, Mayo Clinic, Rochester, MN, USA.

出版信息

Cureus. 2018 May 4;10(5):e2576. doi: 10.7759/cureus.2576.

Abstract

Cocaine is one of the most commonly abused recreational drugs, second only to marijuana. It blocks the reuptake of neurotransmitters such as norepinephrine and dopamine, that leads to persistent post-synaptic stimulation responsible for its excitatory effects. Cocaine-related strokes, both ischemic and hemorrhagic, have been well described in the literature and cerebral vasospasm is hypothesized as one of the major mechanisms responsible for the presentation. Although cases of posterior circulation infarction were previously reported, we herein report a rare presentation of a cocaine-induced bilateral posterior inferior cerebellar artery and hippocampal infarction in a middle-aged female.

摘要

可卡因是最常被滥用的消遣性药物之一,仅次于大麻。它会阻止去甲肾上腺素和多巴胺等神经递质的再摄取,从而导致持续的突触后刺激,产生兴奋作用。文献中已对可卡因相关的缺血性和出血性中风进行了充分描述,脑血管痉挛被认为是导致这种症状的主要机制之一。尽管之前有后循环梗死病例的报道,但我们在此报告一例中年女性因可卡因诱发双侧小脑后下动脉和海马梗死的罕见病例。

https://cdn.ncbi.nlm.nih.gov/pmc/blobs/6155/6034759/cca7b0cf39a8/cureus-0010-00000002576-i01.jpg

文献AI研究员

20分钟写一篇综述,助力文献阅读效率提升50倍。

立即体验

用中文搜PubMed

大模型驱动的PubMed中文搜索引擎

马上搜索

文档翻译

学术文献翻译模型,支持多种主流文档格式。

立即体验