Suppr超能文献

无内分泌紊乱患者的巨大肾上腺髓脂肪瘤:一例报告及文献复习

Giant Adrenal Myelolipoma in a Patient without Endocrine Disorder: A Case Report and a Review of the Literature.

作者信息

Nakayama Yoshifumi, Matayoshi Nobutaka, Akiyama Masaki, Sawatsubashi Yusuke, Nagata Jun, Hisaoka Masanori, Hirata Keiji

机构信息

Department of Surgery 1, University of Occupational and Environmental Health, 1-1 Iseigaoka, Yahata-nishi-ku, Kitakyushu 807-8555, Japan.

Department of Gastroenterological and General Surgery, Wakamatsu Hospital of University of Occupational and Environmental Health, 1-17-1 Hamamachi, Wakamatsu-ku, Kitakyushu 808-0024, Japan.

出版信息

Case Rep Surg. 2018 Jun 11;2018:4854368. doi: 10.1155/2018/4854368. eCollection 2018.

Abstract

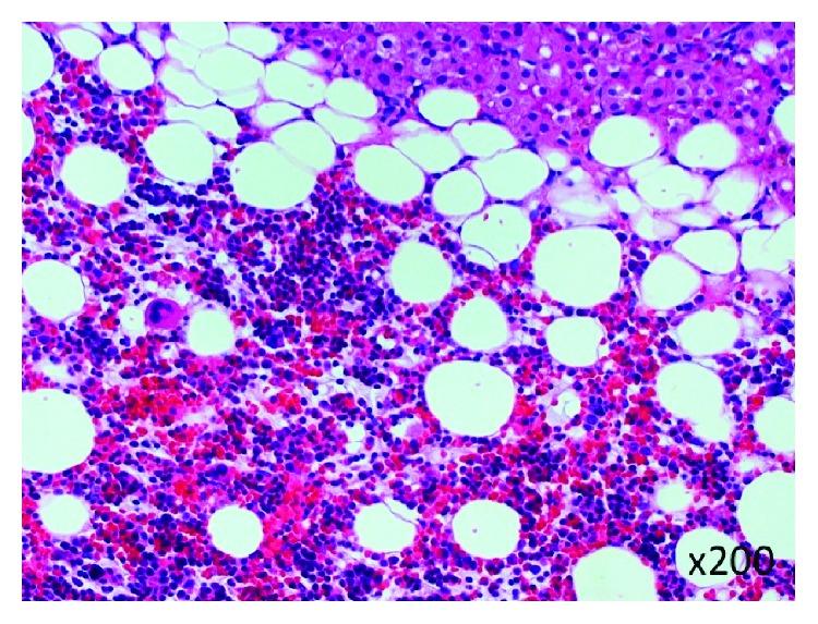
We herein present a surgically treated case of huge adrenal myelolipoma. A 62-year-old woman presented to our surgical outpatient clinic with a retroperitoneal tumor. A clinical examination revealed an elastic soft, smooth-surfaced, painless, child-head-sized tumor with poor mobility, which was located in the left upper abdomen. Computed tomography (CT) and magnetic resonance imaging (MRI) of the abdomen revealed an uneven tumor surrounding the stomach, spleen, pancreas, and left kidney, which was 20 × 18 × 10 cm in size. The retroperitoneal tumor was resected. The tumor was attached to the surrounding organs, including the pancreas, spleen, and left kidney, but had not directly invaded these organs. The tumor was yellow and elastic soft and covered with a thin film. The origin of the tumor was suggested to be the left adrenal gland. The weight of the excised tumor was 1500 g. The histopathological diagnosis was adrenal myelolipoma. The patient had an uneventful recovery and was discharged from the hospital on the thirteenth day after the operation. She has been followed up in our outpatient clinic.

摘要

我们在此报告一例经手术治疗的巨大肾上腺髓质脂肪瘤病例。一名62岁女性因腹膜后肿瘤前来我院外科门诊就诊。临床检查发现左上腹有一个弹性柔软、表面光滑、无痛、儿童头大小、活动度差的肿瘤。腹部计算机断层扫描(CT)和磁共振成像(MRI)显示一个大小为20×18×10 cm、围绕胃、脾、胰腺和左肾的不均匀肿瘤。该腹膜后肿瘤被切除。肿瘤与包括胰腺、脾脏和左肾在内的周围器官相连,但未直接侵犯这些器官。肿瘤呈黄色,弹性柔软,表面覆盖一层薄膜。肿瘤起源提示为左肾上腺。切除肿瘤重量为1500 g。组织病理学诊断为肾上腺髓质脂肪瘤。患者恢复顺利,术后第13天出院。她一直在我院门诊接受随访。

https://cdn.ncbi.nlm.nih.gov/pmc/blobs/8c70/6016169/790ca2d1a3df/CRIS2018-4854368.003.jpg

文献AI研究员

20分钟写一篇综述,助力文献阅读效率提升50倍。

立即体验

用中文搜PubMed

大模型驱动的PubMed中文搜索引擎

马上搜索

文档翻译

学术文献翻译模型,支持多种主流文档格式。

立即体验