• 文献检索
  • 文档翻译
  • 深度研究
  • 学术资讯
  • Suppr Zotero 插件Zotero 插件
  • 邀请有礼
  • 套餐&价格
  • 历史记录
应用&插件
Suppr Zotero 插件Zotero 插件浏览器插件Mac 客户端Windows 客户端微信小程序
定价
高级版会员购买积分包购买API积分包
服务
文献检索文档翻译深度研究API 文档MCP 服务
关于我们
关于 Suppr公司介绍联系我们用户协议隐私条款
关注我们

Suppr 超能文献

核心技术专利:CN118964589B侵权必究
粤ICP备2023148730 号-1Suppr @ 2026

文献检索

告别复杂PubMed语法,用中文像聊天一样搜索,搜遍4000万医学文献。AI智能推荐,让科研检索更轻松。

立即免费搜索

文件翻译

保留排版,准确专业,支持PDF/Word/PPT等文件格式,支持 12+语言互译。

免费翻译文档

深度研究

AI帮你快速写综述,25分钟生成高质量综述,智能提取关键信息,辅助科研写作。

立即免费体验

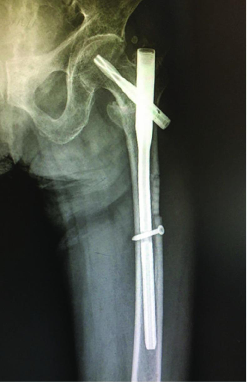
PFNA植入术中取出卡在股骨干的折断扩孔钻:1例报告

Removal of broken reamer stuck into femoral shaft in implanting PFNA: a case report.

作者信息

Jiang Gang-Qiang, Zhang Ya-Di, Zhuang Yun-Qiang

机构信息

Department of Orthopedics, Ningbo NO. 6 Hospital, NO. 1059 ZhongShan Road, 315040 Ningbo, PR China.

出版信息

SICOT J. 2018;4:31. doi: 10.1051/sicotj/2018024. Epub 2018 Jul 13.

DOI:10.1051/sicotj/2018024
PMID:30004864
原文链接:https://pmc.ncbi.nlm.nih.gov/articles/PMC6044857/
Abstract

Femoral intertrochanteric fracture is very common in elderly population. The usual treatment for these patients is intra-extramedullary fixation. In normal situations, expand medullary cavity is needed, in order to implant various intramedullary implants. On rare occasion, which will in turn lead to the reamer is stuck into the medullary cavity of femoral shaft. Open or closed technique for moving of the broken nails had been reported before. We firstly report a novel technique by using handy tool which included in orthopaedic instrument set to remove the broken reamer stuck into femoral cavity when implanting a PFNA.

摘要

股骨转子间骨折在老年人群中非常常见。这些患者的常规治疗方法是髓内固定。在正常情况下,需要扩髓腔以便植入各种髓内植入物。在极少数情况下,这会导致扩孔钻卡在股骨干髓腔内。之前已有关于取出折断钉子的开放或闭合技术的报道。我们首次报告了一种新技术,即在植入股骨近端防旋髓内钉(PFNA)时,使用骨科器械套装中包含的便捷工具取出卡在股骨髓腔内的折断扩孔钻。

https://cdn.ncbi.nlm.nih.gov/pmc/blobs/a5e9/6044857/17e6b18b38a2/sicotj-4-31-fig4.jpg
https://cdn.ncbi.nlm.nih.gov/pmc/blobs/a5e9/6044857/248663e72635/sicotj-4-31-fig1.jpg
https://cdn.ncbi.nlm.nih.gov/pmc/blobs/a5e9/6044857/4651036a1e89/sicotj-4-31-fig2.jpg
https://cdn.ncbi.nlm.nih.gov/pmc/blobs/a5e9/6044857/959f2090290d/sicotj-4-31-fig3.jpg
https://cdn.ncbi.nlm.nih.gov/pmc/blobs/a5e9/6044857/17e6b18b38a2/sicotj-4-31-fig4.jpg
https://cdn.ncbi.nlm.nih.gov/pmc/blobs/a5e9/6044857/248663e72635/sicotj-4-31-fig1.jpg
https://cdn.ncbi.nlm.nih.gov/pmc/blobs/a5e9/6044857/4651036a1e89/sicotj-4-31-fig2.jpg
https://cdn.ncbi.nlm.nih.gov/pmc/blobs/a5e9/6044857/959f2090290d/sicotj-4-31-fig3.jpg
https://cdn.ncbi.nlm.nih.gov/pmc/blobs/a5e9/6044857/17e6b18b38a2/sicotj-4-31-fig4.jpg

相似文献

1
Removal of broken reamer stuck into femoral shaft in implanting PFNA: a case report.PFNA植入术中取出卡在股骨干的折断扩孔钻:1例报告
SICOT J. 2018;4:31. doi: 10.1051/sicotj/2018024. Epub 2018 Jul 13.
2
A technique for extraction of the distal segment of a broken femoral nail using a flexible reamer.一种使用柔性扩孔钻取出折断股骨钉远端部分的技术。
Injury. 2017 Aug;48(8):1858-1860. doi: 10.1016/j.injury.2017.06.010. Epub 2017 Jun 16.
3
Removal of the broken femoral nail with T-reamer technique: A three-case report.采用T型扩孔钻技术取出折断的股骨钉:三例报告
J Clin Orthop Trauma. 2016 Oct-Dec;7(Suppl 1):22-26. doi: 10.1016/j.jcot.2016.10.009. Epub 2016 Nov 3.
4
[Biomechanical study of the lateral wall of the femur in the treatment of femoral intertrochanteric fracture with intramedullary or extramedullary fixation].股骨粗隆间骨折髓内或髓外固定治疗中股骨外侧壁的生物力学研究
Zhongguo Gu Shang. 2017 Mar 25;30(3):247-251. doi: 10.3969/j.issn.1003-0034.2017.03.012.
5
Retrieval of broken intra-medullary guide wire in femoral shaft fracture: A case report and surgical technique.股骨干骨折中折断的髓内导丝取出术:1例报告及手术技术
Trauma Case Rep. 2023 Jun 4;46:100865. doi: 10.1016/j.tcr.2023.100865. eCollection 2023 Aug.
6
[Comparison of proximal femoral nail antirotation and reconstruction nail for ipsilateral fractures of hip and femoral shaft].股骨近端防旋髓内钉与重建钉治疗同侧髋部与股骨干骨折的比较
Zhongguo Xiu Fu Chong Jian Wai Ke Za Zhi. 2012 Aug;26(8):905-9.
7
[Comparison of proximal femoral nail antirotation-II and proximal femoral nail antirotation in fixation of femoral intertrochanteric fracture].股骨近端抗旋髓内钉-II与股骨近端抗旋髓内钉治疗股骨转子间骨折的比较
Zhonghua Yi Xue Za Zhi. 2015 Aug 4;95(29):2346-50.
8
Prospective randomized study comparing two cephalomedullary nails for elderly intertrochanteric fractures: Zimmer natural nail versus proximal femoral nail antirotation II.比较两种用于老年股骨转子间骨折的髓内钉的前瞻性随机研究:捷迈自然钉与股骨近端抗旋髓内钉II型
Injury. 2017 Jul;48(7):1550-1557. doi: 10.1016/j.injury.2017.04.011. Epub 2017 Apr 13.
9
Proximal femoral nails antirotation, Gamma nails, and dynamic hip screws for fixation of intertrochanteric fractures of femur: A meta-analysis.股骨近端抗旋髓内钉、Gamma钉和动力髋螺钉治疗股骨转子间骨折的Meta分析
Orthop Traumatol Surg Res. 2014 Dec;100(8):859-66. doi: 10.1016/j.otsr.2014.07.023. Epub 2014 Nov 6.
10
[Clinical observation of proximal femoral anti-rotation nail for the treatment of femoral intertrochanteric fracture].股骨近端抗旋髓内钉治疗股骨粗隆间骨折的临床观察
Zhongguo Gu Shang. 2017 Oct 25;30(10):915-919. doi: 10.3969/j.issn.1003-0034.2017.10.008.

引用本文的文献

1
'Extended tibia osteotomy': a technical tip for removal of incarcerated reamer with broken guide wire bead during tibia nailing and literature review.“胫骨延长截骨术”:一种在胫骨钉固定术时取出带断导丝珠的嵌顿扩孔器的技术技巧,并进行文献复习。
BMJ Case Rep. 2022 Mar 8;15(3):e247812. doi: 10.1136/bcr-2021-247812.
2
Ball tipped guide wire for broken nail removal: a case report.用于取出折断钉子的球头导丝:一例病例报告。
SICOT J. 2021;7:10. doi: 10.1051/sicotj/2021010. Epub 2021 Mar 8.

本文引用的文献

1
Minimally invasive retrieval of incarcerated flexible intramedullary reamer.嵌顿性弹性髓内扩孔钻的微创取出术
Eur J Orthop Surg Traumatol. 2012 Nov;22 Suppl 1:113-5. doi: 10.1007/s00590-012-0995-y. Epub 2012 Apr 24.
2
A simple method for removal of the distal segment of a broken femoral intramedullary nail: a case report.一种取出股骨骨折髓内钉远端折断部分的简易方法:病例报告
Malays Orthop J. 2012 Nov;6(3):66-8. doi: 10.5704/MOJ.1207.011.
3
Anterograde removal of broken femoral nails without opening the nonunion site: a new technique.
经皮不切开骨不连部位取出断钉:一种新方法。
Clinics (Sao Paulo). 2010 Mar;65(3):279-83. doi: 10.1590/S1807-59322010000300007.
4
A technique for the removal of the distal part of a broken intramedullary nail.一种去除折断的髓内钉远端部分的技术。
Ann R Coll Surg Engl. 2009 Mar;91(2):169-70. doi: 10.1308/rcsann.2009.91.2.169.
5
Removal of a broken intramedullary nail with a narrow hollow.取出一根带有狭窄髓腔的折断髓内钉。
J Orthop Trauma. 2006 Jul;20(7):492-4. doi: 10.1097/00005131-200608000-00007.
6
Extraction of broken intramedullary nails--an improvement in technique.折断髓内钉的取出——技术改进
Injury. 1995 May;26(4):286. doi: 10.1016/0020-1383(95)90020-x.
7
Broken intramedullary nails.髓内钉断裂
J Bone Joint Surg Am. 1988 Dec;70(10):1463-71.