Department of Wounds and Burns, The First Affiliated Hospital of Wenzhou Medical University, Wenzhou, Zhejiang 325000, P.R. China.
Department of Pathology, The First Affiliated Hospital of Wenzhou Medical University, Wenzhou, Zhejiang 325000, P.R. China.
Mol Med Rep. 2018 Sep;18(3):3203-3210. doi: 10.3892/mmr.2018.9328. Epub 2018 Jul 27.
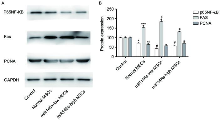
The aim of the present study was to investigate the effect of microRNA 146a (miR146a) on promoting the repair of corneal alkali burn with bone marrow mesenchymal stem cells (MSCs). A total of 24 Sprague‑Dawley female rats were divided into a normal group (Control), a normal MSC treatment group (Normal MSCs), an miR146a knockout MSC treatment group (miR146a‑low MSCs) and an miR146a high‑expression MSC treatment group (miR146a‑high MSCs) according to the random number table. Quantitative polymerase chain reaction was used to evaluate the expression levels of miR146a. MTT assay was performed to measure the cell viability of mesenchymal stem cells (MSCs) and apoptosis was measured by flow cytometry. The expression levels of p65 nuclear factor (NF)‑κB, proliferating cell nuclear antigen (PCNA) and Fas proteins were analyzed by western blotting. MSCs were tested for the secretion levels of vascular endothelial growth factor (VEGF), CD45, interferon (IFN)‑γ and interleukin (IL)‑10 by ELISA. The miR146a‑high MSCs improved cell viability of MSCs and inhibited apoptosis of MSCs following alkali burn. miR146a‑high MSCs decreased the expression levels of p65NF‑κB and PCNA, and enhanced the expression level of Fas. Furthermore, miR146a‑high MSCs improved the cornea opacity and enhanced the inhibition of neovascularization in the rats following alkali burn. miR146a‑high MSCs inhibit the expression of VEGF, CD45, IFN‑γ, while enhanced the expression of IL‑10. Therefore, miR146a promotes the repair of corneal alkali burn in rats treated with MSCs.
本研究旨在探讨微小 RNA 146a(miR146a)对促进骨髓间充质干细胞(MSCs)修复角膜碱烧伤的作用。将 24 只雌性 Sprague-Dawley 大鼠按随机数字表法分为正常组(Control)、正常 MSC 治疗组(Normal MSCs)、miR146a 敲低 MSC 治疗组(miR146a-low MSCs)和 miR146a 高表达 MSC 治疗组(miR146a-high MSCs)。采用实时定量聚合酶链反应(qRT-PCR)评估 miR146a 的表达水平。MTT 法检测骨髓间充质干细胞(MSCs)的细胞活力,流式细胞术检测细胞凋亡。Western blot 法检测核因子(NF)-κB p65、增殖细胞核抗原(PCNA)和 Fas 蛋白的表达水平。ELISA 法检测 MSCs 分泌的血管内皮生长因子(VEGF)、CD45、干扰素(IFN)-γ和白细胞介素(IL)-10 的水平。miR146a-high MSCs 可提高 MSC 的细胞活力,抑制 MSC 凋亡。miR146a-high MSCs 降低 p65NF-κB 和 PCNA 的表达水平,增强 Fas 的表达水平。此外,miR146a-high MSCs 改善了碱烧伤大鼠的角膜混浊程度,增强了对新生血管的抑制作用。miR146a-high MSCs 抑制 VEGF、CD45、IFN-γ的表达,增强 IL-10 的表达。因此,miR146a 促进了 MSC 治疗大鼠角膜碱烧伤的修复。