Suppr超能文献

局部晚期非小细胞肺癌的自发消退:一例报告

Spontaneous regression of locally advanced nonsmall cell lung cancer: A case report.

作者信息

Ooi Kiat Huat, Cheo Timothy, Soon Gwyneth Shook Ting, Leong Cheng Nang

机构信息

Department of Radiation Oncology Department of Pathology, National University Health System, Singapore.

出版信息

Medicine (Baltimore). 2018 Aug;97(31):e11291. doi: 10.1097/MD.0000000000011291.

Abstract

RATIONALE

Spontaneous regression of non-small cell lung cancer is exceptionally rare.

PATIENT CONCERNS

Treatment-related toxicity.

DIAGNOSES

We report a case of a patient diagnosed with locally advanced non-small cell lung cancer.

INTERVENTIONS

The patient declined potentially curative treatment, and did not receive any anti-cancer treatment.

OUTCOMES

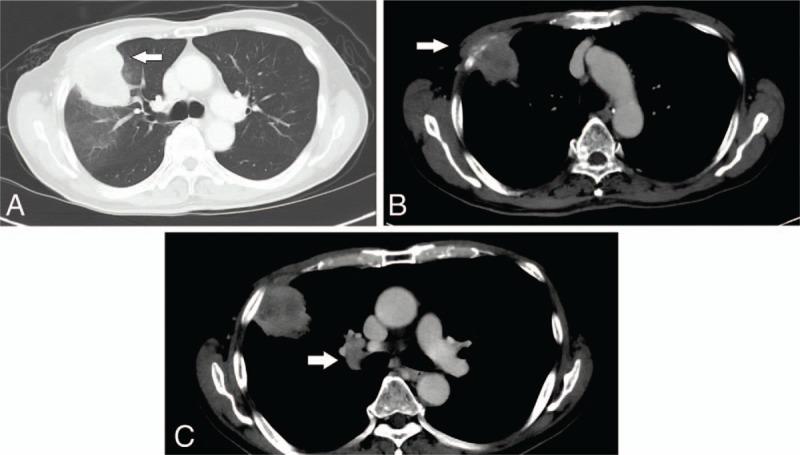
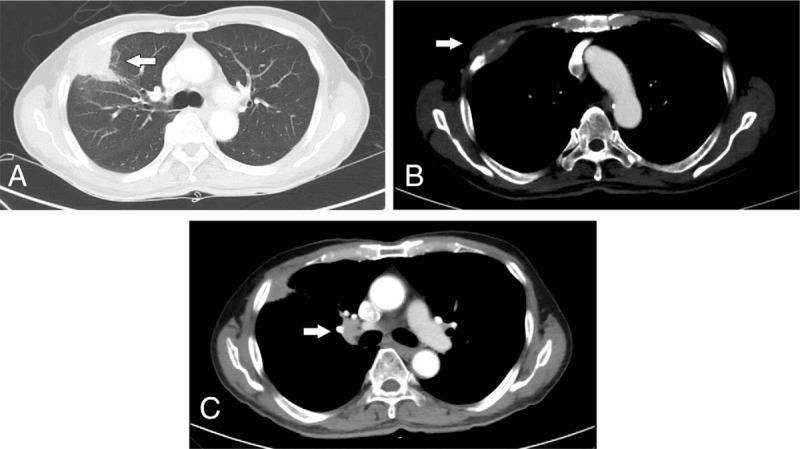
He has survived more than two years since his initial diagnosis, maintaining his good performance status. Serial imaging with computed tomography scans showed tumour regression and near-complete resolution of his disease.

LESSONS

Spontaneous regression of non-small cell lung cancer, by virtue of its scarcity, has not been well-studied and is poorly understood. Further studies are required, in order to clarify the mechanisms by which spontaneous regression occurs, and possibly identify new targets for cancer treatment.

摘要

理论依据

非小细胞肺癌的自发消退极为罕见。

患者关注点

治疗相关毒性。

诊断

我们报告一例被诊断为局部晚期非小细胞肺癌的患者。

干预措施

患者拒绝了可能治愈性的治疗,未接受任何抗癌治疗。

结果

自初次诊断以来,他已存活两年多,保持了良好的身体状况。计算机断层扫描的系列成像显示肿瘤消退且疾病几乎完全缓解。

经验教训

由于非小细胞肺癌自发消退罕见,尚未得到充分研究且了解甚少。需要进一步研究以阐明自发消退发生的机制,并可能确定癌症治疗的新靶点。

https://cdn.ncbi.nlm.nih.gov/pmc/blobs/83df/6081199/eb17d923b713/medi-97-e11291-g001.jpg

文献AI研究员

20分钟写一篇综述,助力文献阅读效率提升50倍。

立即体验

用中文搜PubMed

大模型驱动的PubMed中文搜索引擎

马上搜索

文档翻译

学术文献翻译模型,支持多种主流文档格式。

立即体验