• 文献检索
  • 文档翻译
  • 深度研究
  • 学术资讯
  • Suppr Zotero 插件Zotero 插件
  • 邀请有礼
  • 套餐&价格
  • 历史记录
应用&插件
Suppr Zotero 插件Zotero 插件浏览器插件Mac 客户端Windows 客户端微信小程序
定价
高级版会员购买积分包购买API积分包
服务
文献检索文档翻译深度研究API 文档MCP 服务
关于我们
关于 Suppr公司介绍联系我们用户协议隐私条款
关注我们

Suppr 超能文献

核心技术专利:CN118964589B侵权必究
粤ICP备2023148730 号-1Suppr @ 2026

文献检索

告别复杂PubMed语法,用中文像聊天一样搜索,搜遍4000万医学文献。AI智能推荐,让科研检索更轻松。

立即免费搜索

文件翻译

保留排版,准确专业,支持PDF/Word/PPT等文件格式,支持 12+语言互译。

免费翻译文档

深度研究

AI帮你快速写综述,25分钟生成高质量综述,智能提取关键信息,辅助科研写作。

立即免费体验

双重IGF-1R/IR酪氨酸激酶抑制剂KW-2450与拉帕替尼及来曲唑联合应用的临床前及I期临床研究

Preclinical and phase I clinical studies of KW-2450, a dual IGF-1R/IR tyrosine kinase inhibitor, in combination with lapatinib and letrozole.

作者信息

Umehara Hiroshi, Maekawa Yoshimi, Koizumi Fumito, Shimizu Makiko, Ota Toshio, Fouad Tamer M, Willey Jie, Kaito Hidekuni, Shiraishi Norihiko, Nakashima Daisuke, Akinaga Shiro, Ueno Naoto T

机构信息

Fuji Research Park, R&D Division, Kyowa Hakko Kirin Co., Ltd, Shizuoka, Japan.

Section of Translational Breast Cancer Research, Department of Breast Medical Oncology, The University of Texas MD Anderson Cancer Center, Houston, TX, USA.

出版信息

Ther Adv Med Oncol. 2018 Jul 30;10:1758835918786858. doi: 10.1177/1758835918786858. eCollection 2018.

DOI:10.1177/1758835918786858
PMID:30083253
原文链接:https://pmc.ncbi.nlm.nih.gov/articles/PMC6066809/
Abstract

BACKGROUND

KW-2450 is an oral dual insulin-like growth factor-1 receptor/insulin receptor tyrosine kinase inhibitor. We investigated the and preclinical activity of KW-2450 plus lapatinib and letrozole and conducted a phase I trial of the triple-drug combination in one male and 10 postmenopausal female patients with advanced/metastatic hormone receptor-positive, human epidermal growth factor receptor 2 (HER2)-positive breast cancer.

METHODS

A series of and animal studies was undertaken of KW-2450 in combination with lapatinib and hormonal agents. The phase I trial was conducted to establish the safety, tolerability, and recommended phase II dose (RP2D) of KW-2450 administered in combination with lapatinib and letrozole.

RESULTS

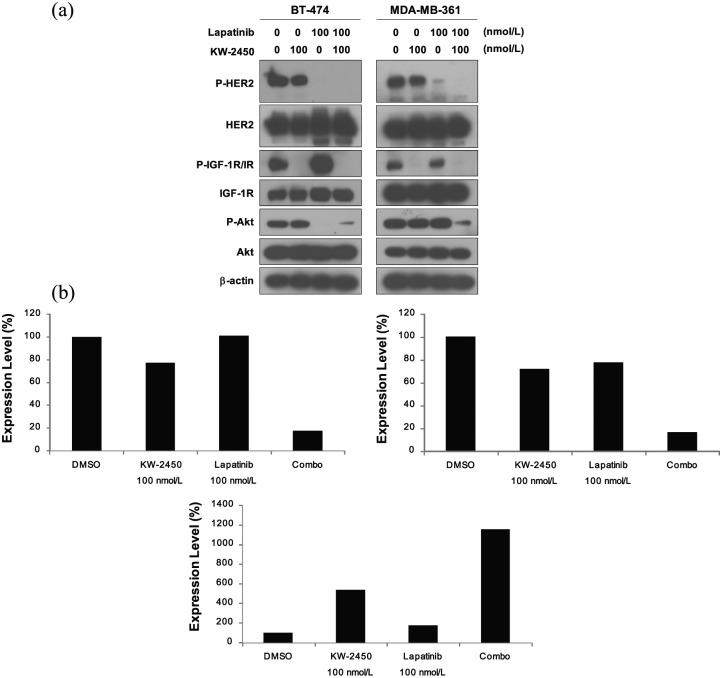
Preclinical studies showed KW-2450 and lapatinib act synergistically to induce apoptosis and inhibit growth of HER2-positive MDA-MB-361 and BT-474 breast cancer cell lines. This combined effect was confirmed using the MDA-MB-361 xenograft model. KW-2450 showed synergistic growth inhibition with letrozole and 4-hydroxytamoxifen in ER-positive MCF-7 breast cancer cells and MCF-7-Ac1 aromatase-transfected MCF-7 cells. In the phase I study, dose-limiting toxicity (DLT; grade 3 rash and grade 3 hyperglycemia, respectively) occurred in two of three patients at the dose of KW-2450 25 mg/day plus lapatinib 1500 mg/day and letrozole 2.5 mg/day. The RP2D of the triple-drug combination was established as KW-2450 25 mg/day, lapatinib 1250 mg/day, and letrozole 2.5 mg/day with no DLT at this dose level.

CONCLUSIONS

The proposed phase II study of the RP2D for the triple-drug combination did not progress because of anticipated difficulty in patient enrollment and further clinical development of KW-2450 was terminated.

摘要

背景

KW-2450是一种口服双胰岛素样生长因子-1受体/胰岛素受体酪氨酸激酶抑制剂。我们研究了KW-2450联合拉帕替尼和来曲唑的临床前活性,并在1例男性和10例绝经后女性晚期/转移性激素受体阳性、人表皮生长因子受体2(HER2)阳性乳腺癌患者中进行了三药联合的I期试验。

方法

开展了一系列关于KW-2450与拉帕替尼及激素药物联合应用的临床前动物研究。进行I期试验以确定KW-2450与拉帕替尼和来曲唑联合给药的安全性、耐受性及推荐的II期剂量(RP2D)。

结果

临床前研究表明,KW-2450和拉帕替尼协同作用可诱导HER2阳性的MDA-MB-361和BT-474乳腺癌细胞系凋亡并抑制其生长。使用MDA-MB-361异种移植模型在体内证实了这种联合效应。KW-2450在雌激素受体(ER)阳性的MCF-7乳腺癌细胞和MCF-7-Ac1芳香化酶转染的MCF-7细胞中与来曲唑和4-羟基他莫昔芬协同抑制生长。在I期研究中,在KW-2450 25 mg/天联合拉帕替尼1500 mg/天和来曲唑2.5 mg/天的剂量水平下,3例患者中有2例出现剂量限制性毒性(DLT,分别为3级皮疹和3级高血糖)。三药联合的RP2D确定为KW-2450 25 mg/天、拉帕替尼1250 mg/天和来曲唑2.5 mg/天,在此剂量水平未出现DLT。

结论

由于预计患者入组困难,拟进行的三药联合RP2D的II期研究未开展,KW-2450的进一步临床开发也已终止。

https://cdn.ncbi.nlm.nih.gov/pmc/blobs/7c61/6066809/e21ab9c64d8f/10.1177_1758835918786858-fig3.jpg
https://cdn.ncbi.nlm.nih.gov/pmc/blobs/7c61/6066809/699b0e0936fe/10.1177_1758835918786858-fig1.jpg
https://cdn.ncbi.nlm.nih.gov/pmc/blobs/7c61/6066809/ee1f091b1e97/10.1177_1758835918786858-fig2.jpg
https://cdn.ncbi.nlm.nih.gov/pmc/blobs/7c61/6066809/e21ab9c64d8f/10.1177_1758835918786858-fig3.jpg
https://cdn.ncbi.nlm.nih.gov/pmc/blobs/7c61/6066809/699b0e0936fe/10.1177_1758835918786858-fig1.jpg
https://cdn.ncbi.nlm.nih.gov/pmc/blobs/7c61/6066809/ee1f091b1e97/10.1177_1758835918786858-fig2.jpg
https://cdn.ncbi.nlm.nih.gov/pmc/blobs/7c61/6066809/e21ab9c64d8f/10.1177_1758835918786858-fig3.jpg

相似文献

1
Preclinical and phase I clinical studies of KW-2450, a dual IGF-1R/IR tyrosine kinase inhibitor, in combination with lapatinib and letrozole.双重IGF-1R/IR酪氨酸激酶抑制剂KW-2450与拉帕替尼及来曲唑联合应用的临床前及I期临床研究
Ther Adv Med Oncol. 2018 Jul 30;10:1758835918786858. doi: 10.1177/1758835918786858. eCollection 2018.
2
Preclinical and first-in-human phase I studies of KW-2450, an oral tyrosine kinase inhibitor with insulin-like growth factor receptor-1/insulin receptor selectivity.KW-2450(一种对胰岛素样生长因子受体-1/胰岛素受体具有选择性的口服酪氨酸激酶抑制剂)的临床前研究及首次人体I期研究。
Cancer Sci. 2016 Apr;107(4):499-506. doi: 10.1111/cas.12906. Epub 2016 Mar 28.
3
Lapatinib combined with letrozole versus letrozole and placebo as first-line therapy for postmenopausal hormone receptor-positive metastatic breast cancer.来曲唑联合拉帕替尼对比来曲唑联合安慰剂作为绝经后激素受体阳性转移性乳腺癌的一线治疗。
J Clin Oncol. 2009 Nov 20;27(33):5538-46. doi: 10.1200/JCO.2009.23.3734. Epub 2009 Sep 28.
4
The aromatase inhibitor letrozole and inhibitors of insulin-like growth factor I receptor synergistically induce apoptosis in in vitro models of estrogen-dependent breast cancer.芳香化酶抑制剂来曲唑与胰岛素样生长因子I受体抑制剂在雌激素依赖性乳腺癌体外模型中协同诱导细胞凋亡。
Breast Cancer Res. 2008;10(4):R56. doi: 10.1186/bcr2113. Epub 2008 Jul 8.
5
Bosutinib in combination with the aromatase inhibitor letrozole: a phase II trial in postmenopausal women evaluating first-line endocrine therapy in locally advanced or metastatic hormone receptor-positive/HER2-negative breast cancer.博舒替尼联合芳香化酶抑制剂来曲唑:一项针对绝经后女性的II期试验,评估局部晚期或转移性激素受体阳性/人表皮生长因子受体2阴性乳腺癌的一线内分泌治疗。
Oncologist. 2014 Apr;19(4):348-9. doi: 10.1634/theoncologist.2014-0021. Epub 2014 Mar 27.
6
Lapatinib: in postmenopausal women with hormone receptor-positive, HER2-positive metastatic breast cancer.拉帕替尼:用于治疗激素受体阳性、HER2 阳性转移性乳腺癌的绝经后妇女。
Drugs. 2010 Jul 30;70(11):1411-22. doi: 10.2165/11204550-000000000-00000.
7
Lapatinib and trastuzumab in combination with an aromatase inhibitor for the first-line treatment of metastatic hormone receptor-positive breast cancer which over-expresses human epidermal growth factor 2 (HER2): a systematic review and economic analysis.来曲唑联合拉帕替尼和曲妥珠单抗一线治疗人表皮生长因子受体 2(HER2)过表达的转移性激素受体阳性乳腺癌的系统评价和经济分析。
Health Technol Assess. 2011;15(42):1-93, iii-iv. doi: 10.3310/hta15420.
8
Lapatinib: a dual inhibitor of human epidermal growth factor receptor tyrosine kinases.拉帕替尼:一种人表皮生长因子受体酪氨酸激酶的双重抑制剂。
Clin Ther. 2008 Aug;30(8):1426-47. doi: 10.1016/j.clinthera.2008.08.008.
9
Phase II study assessing lapatinib added to letrozole in patients with progressive disease under aromatase inhibitor in metastatic breast cancer-Study BES 06.评估在转移性乳腺癌中接受芳香化酶抑制剂治疗疾病进展的患者中加用拉帕替尼对比安慰剂联合来曲唑的 II 期研究——BES 06 研究。
Target Oncol. 2013 Jun;8(2):137-43. doi: 10.1007/s11523-013-0279-4. Epub 2013 Apr 23.
10
Double-blind, placebo-controlled, multicenter, randomized, phase IIb neoadjuvant study of letrozole-lapatinib in postmenopausal hormone receptor-positive, human epidermal growth factor receptor 2-negative, operable breast cancer.来曲唑联合拉帕替尼治疗绝经后激素受体阳性、人表皮生长因子受体 2 阴性、可手术治疗的乳腺癌的双盲、安慰剂对照、多中心、随机、Ⅱb 期的临床研究。
J Clin Oncol. 2014 Apr 1;32(10):1050-7. doi: 10.1200/JCO.2013.51.4737. Epub 2014 Mar 3.

引用本文的文献

1
The Insulin Receptor: An Important Target for the Development of Novel Medicines and Pesticides.胰岛素受体:新型药物和农药开发的重要靶标。
Int J Mol Sci. 2022 Jul 14;23(14):7793. doi: 10.3390/ijms23147793.
2
The IGF-II-Insulin Receptor Isoform-A Autocrine Signal in Cancer: .癌症中的IGF-II-胰岛素受体亚型-A自分泌信号:
Cancers (Basel). 2020 Feb 5;12(2):366. doi: 10.3390/cancers12020366.

本文引用的文献

1
Preclinical and first-in-human phase I studies of KW-2450, an oral tyrosine kinase inhibitor with insulin-like growth factor receptor-1/insulin receptor selectivity.KW-2450(一种对胰岛素样生长因子受体-1/胰岛素受体具有选择性的口服酪氨酸激酶抑制剂)的临床前研究及首次人体I期研究。
Cancer Sci. 2016 Apr;107(4):499-506. doi: 10.1111/cas.12906. Epub 2016 Mar 28.
2
Cancer statistics, 2016.癌症统计数据,2016 年。
CA Cancer J Clin. 2016 Jan-Feb;66(1):7-30. doi: 10.3322/caac.21332. Epub 2016 Jan 7.
3
Everolimus in postmenopausal hormone-receptor-positive advanced breast cancer.
依维莫司用于绝经后激素受体阳性的晚期乳腺癌。
N Engl J Med. 2012 Feb 9;366(6):520-9. doi: 10.1056/NEJMoa1109653. Epub 2011 Dec 7.
4
Role of lapatinib in the first-line treatment of patients with metastatic breast cancer.拉帕替尼在转移性乳腺癌一线治疗中的作用。
Cancer Manag Res. 2010 Jan 7;2:13-25.
5
Lapatinib plus letrozole as first-line therapy for HER-2+ hormone receptor-positive metastatic breast cancer.拉帕替尼联合来曲唑作为一线治疗 HER-2+激素受体阳性转移性乳腺癌。
Oncologist. 2010;15(2):122-9. doi: 10.1634/theoncologist.2009-0240. Epub 2010 Feb 15.
6
Estrogen utilization of IGF-1-R and EGF-R to signal in breast cancer cells.雌激素利用 IGF-1-R 和 EGF-R 在乳腺癌细胞中发出信号。
J Steroid Biochem Mol Biol. 2010 Feb 28;118(4-5):219-30. doi: 10.1016/j.jsbmb.2009.09.018. Epub 2009 Oct 6.
7
Lapatinib combined with letrozole versus letrozole and placebo as first-line therapy for postmenopausal hormone receptor-positive metastatic breast cancer.来曲唑联合拉帕替尼对比来曲唑联合安慰剂作为绝经后激素受体阳性转移性乳腺癌的一线治疗。
J Clin Oncol. 2009 Nov 20;27(33):5538-46. doi: 10.1200/JCO.2009.23.3734. Epub 2009 Sep 28.
8
Recent advances in systemic therapy: Advances in systemic therapy for HER2-positive metastatic breast cancer.近期全身治疗的进展:HER2 阳性转移性乳腺癌的全身治疗进展。
Breast Cancer Res. 2009;11(4):207. doi: 10.1186/bcr2324. Epub 2009 Jul 15.
9
The aromatase inhibitor letrozole and inhibitors of insulin-like growth factor I receptor synergistically induce apoptosis in in vitro models of estrogen-dependent breast cancer.芳香化酶抑制剂来曲唑与胰岛素样生长因子I受体抑制剂在雌激素依赖性乳腺癌体外模型中协同诱导细胞凋亡。
Breast Cancer Res. 2008;10(4):R56. doi: 10.1186/bcr2113. Epub 2008 Jul 8.
10
The discovery and mechanism of action of letrozole.来曲唑的发现及其作用机制。
Breast Cancer Res Treat. 2007;105 Suppl 1(Suppl 1):7-17. doi: 10.1007/s10549-007-9696-3. Epub 2007 Oct 3.