Suppr超能文献

FSD-C10 通过 Rho 相关卷曲螺旋激酶(ROCK)/丝裂原激活蛋白激酶(MAPK)信号通路抑制氧化型低密度脂蛋白(ox-LDL)诱导的人脑血管内皮细胞凋亡的治疗作用。

FSD-C10 Shows Therapeutic Effects in Suppressing oxidized low-density lipoprotein (ox-LDL)-Induced Human Brain Microvascular Endothelial Cells Apoptosis via Rho-Associated Coiled-Coil Kinase (ROCK)/Mitogen-Activated Protein Kinase (MAPK) Signaling.

机构信息

Department of Neurology, Yiwu Central Hospital, Yiwu, Zhejiang, China (mainland).

出版信息

Med Sci Monit. 2018 Aug 8;24:5509-5516. doi: 10.12659/MSM.911481.

Abstract

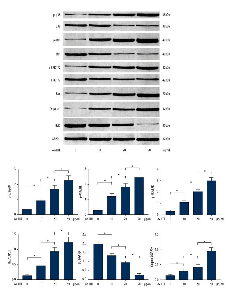
BACKGROUND ox-LDL-induced injury of brain microvascular endothelial cells (BMECs) is strongly associated with cerebral vascular diseases such as cerebral arterial atherosclerosis. ROCK inhibitor was proved to be anti-apoptotic and has been used in treating cerebral vascular diseases. Research on the neuroprotective effects of a novel ROCK inhibitor, FSD-C10, is still limited. The present study investigated the anti-apoptotic effect and underlying molecular mechanism of FSD-C10 in ox-LDL-mediated apoptosis of BMECs. MATERIAL AND METHODS ox-LDL and/or FSD-C10 were used to incubate immortalized human BMECs. MTT assay was used to assess cell viability. Cell apoptosis was evaluated by TUNEL assay. A colorimetric method was used to assess ROCK activity. Western blot analysis was used to examine the expression and phosphorylation levels of proteins. RESULTS ox-LDL incubation reduced the viability of BMECs by inducing cell apoptosis in a concentration-dependent manner. ROCK activity was also elevated by ox-LDL incubation in BMECs in a concentration-dependent manner. Expression level of Bcl2 was reduced while expression levels of Bax and active caspase3 were increased by ox-LDL treatment in a concentration-dependent manner. ox-LDL also increased the phosphorylation levels of p38, JNK, and ERK1/2 in a concentration-dependent manner. FSD-C10 treatment increased the cell viability by reducing apoptosis of BMECs exposed to ox-LDL. Moreover, FSD-C10 was found to suppress the phosphorylation levels of p38, JNK, and ERK1/2 and the expression levels of Bax and active caspase3 in ox-LDL treated BMECs. CONCLUSIONS FSD-C10 increases cell viability in ox-LDL-treated BMECs by reducing cell apoptosis. ROCK/MAPKs-mediated apoptosis appears to be the underlying molecular mechanism.

摘要

背景

氧化型低密度脂蛋白(ox-LDL)诱导的脑微血管内皮细胞(BMEC)损伤与脑动脉粥样硬化等脑血管疾病密切相关。ROCK 抑制剂已被证明具有抗凋亡作用,并已用于治疗脑血管疾病。然而,关于新型 ROCK 抑制剂 FSD-C10 的神经保护作用的研究仍然有限。本研究旨在探讨 FSD-C10 在 ox-LDL 介导的 BMEC 细胞凋亡中的抗凋亡作用及其潜在的分子机制。

材料与方法

用 ox-LDL 和/或 FSD-C10 孵育永生化人 BMEC。MTT 法评估细胞活力。TUNEL 法评估细胞凋亡。比色法评估 ROCK 活性。Western blot 分析检测蛋白的表达和磷酸化水平。

结果

ox-LDL 孵育以浓度依赖的方式降低 BMEC 活力,诱导细胞凋亡。ROCK 活性也随 ox-LDL 孵育浓度的增加而升高。ox-LDL 处理呈浓度依赖性降低 Bcl2 表达水平,增加 Bax 和活性 caspase3 表达水平。ox-LDL 还呈浓度依赖性增加 p38、JNK 和 ERK1/2 的磷酸化水平。FSD-C10 处理可降低 ox-LDL 暴露的 BMEC 凋亡,从而增加细胞活力。此外,FSD-C10 抑制 ox-LDL 处理的 BMEC 中 p38、JNK 和 ERK1/2 的磷酸化水平以及 Bax 和活性 caspase3 的表达水平。

结论

FSD-C10 通过减少细胞凋亡增加 ox-LDL 处理的 BMEC 活力。ROCK/MAPKs 介导的细胞凋亡可能是潜在的分子机制。

https://cdn.ncbi.nlm.nih.gov/pmc/blobs/f480/6097139/282df399b455/medscimonit-24-5509-g001.jpg

文献AI研究员

20分钟写一篇综述,助力文献阅读效率提升50倍。

立即体验

用中文搜PubMed

大模型驱动的PubMed中文搜索引擎

马上搜索

文档翻译

学术文献翻译模型,支持多种主流文档格式。

立即体验